Continuous and bimonthly publication
ISSN (on-line): 1806-3756

Licença Creative Commons
14953
Views
Back to summary
Open Access Peer-Reviewed
Case Report

Condroma pulmonar isolado: caso incompleto da tríade de Carney?

Isolated pulmonary chondroma: a case of incomplete Carney triad?

Raul Lopes Ruiz Júnior, Júlio Defaveri, Antonio José Maria Cataneo, Rogério Cardoso da Silva, Sérgio Marrone Ribeiro, Cristiano Ventorim de Barros

ABSTRACT

A 45-year-old man presented with recurrent pulmonary infection for four years, cough, bloody sputum, yellowish excretion and nonpleuritic chest pain. Tomography of the chest revealed a calcified nodule occluding the right lower lobe bronchus. A right lower and middle lobectomy was performed, and the histopathological examination of the bronchi revealed chondroma, a rare pulmonary tumor usually associated with the Carney triad (pulmonary chondroma, gastric leiomyosarcoma and extra-adrenal paraganglioma), being the less common of the three components. In the present case, the other two components of the triad were not observed. Since these components may appear years later, long-term follow-up care is necessary.

Keywords: Chondroma; Lung neoplasms/radiography; Lung neoplasms/surgery; Leiomyosarcoma;

RESUMO

Um homem, de 45 anos, com infecções pulmonares de repetição havia quatro anos apresentou-se com tosse, secreção amarelada, escarros hemópticos e dor torácica não pleural. A tomografia revelou nódulo calcificado ocluindo brônquio lobar inferior direito. Realizada bilobectomia inferior e média, o exame histopatológico revelou condroma endobrônquico, bem circunscrito. O condroma pulmonar é um tumor raro, em geral associado à tríade de Carney (condroma, leiomiossarcoma gástrico e paraganglioma extra-adrenal), sendo o menos freqüente dos três componentes. No presente caso, os outros dois componentes não foram observados. Podem, entretanto, se manifestar tardiamente, sendo, assim, necessário seguimento clínico em longo prazo do paciente.

Palavras-chave: Condroma; Neoplasias pulmonares/radiografia; Neoplasias pulmonares/cirurgia; Leiomiossarcoma;

INTRODUÇÃO

O condroma pulmonar é uma neoplasia rara.(1-6) Na maioria dos casos foi observado em mulheres, fazendo parte da tríade de Carney, a qual é composta pelo condroma pulmonar, leiomiossarcoma gástrico e paraganglioma extra-adrenal funcionante.(1) Essa tríade foi descrita por Carney, que relatou quatro casos acometendo mulheres jovens, e sugeriu que o aparecimento associado desses tumores raros não seria fortuito, podendo constituir uma síndrome. Dois anos depois, confirmou essa hipótese ao verificar que quinze pacientes com menos de 35 anos apresentavam um dos três tumores da tríade, devendo ser examinados periodicamente, no intuito de se diagnosticar os outros dois componentes.(2) Hoje, sabe-se por relatos na literatura mundial que a maioria dos casos apresenta apenas dois dos três componentes da tríade.(3)

Neste artigo relatamos o interessante caso de um homem apresentando condroma pulmonar, aparentemente como único componente da tríade.
Este estudo foi aprovado pelo Comitê de Ética em Pesquisa da Faculdade de Medicina de Botucatu da Universidade Estadual Paulista.

RELATO DO CASO

Paciente do sexo masculino com 45 anos apresentando tosse com secreção amarelada acompanhada de estrias de sangue. Relatava dor torácica de moderada intensidade, contínua, em agulhada, não se intensificando com a tosse ou decúbito, localizada em região posterior do hemitórax direito. Antecedentes de infecções pulmonares de repetição há 4 anos. Negava diabetes, hipertensão arterial ou cardiopatia. Tabagista de 30 anos maços, etilista social. Negava emagrecimento.

As radiografias do tórax nas incidências póstero-anterior e perfil evidenciaram sinais de redução volumétrica do lobo inferior direito, com borramento do contorno cardíaco desse lado (Figura 1).





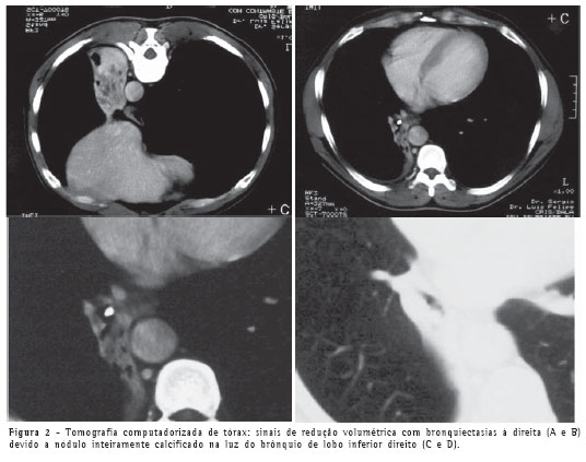
A tomografia computadorizada de tórax confirmou a atelectasia e mostrou pequena lesão calcificada em luz de brônquio no lobo inferior direito (Figura 2), além de bronquiectasias com provável impactação mucóide no lobo pulmonar colapsado.





A broncoscopia revelou lesão vascularizada, obstruindo totalmente a luz do brônquio do lobo inferior direito (Figura 3A), próxima à emergência do brônquio de lobo médio. Não foi realizada biópsia endobrônquica devido ao risco de sangramento, já que se inferiu o diagnóstico provável de tumor carcinóide.





Devido à suspeita diagnóstica de lesão maligna, o paciente foi então submetido a bilobectomia inferior e média. Teve boa evolução, sem intercorrências no pós-operatório.

O resultado anatomopatológico revelou tratar-se de um tumor nodular de 1,5 X 1,0 X 0,8 cm, obstruindo totalmente a luz do brônquio e facilmente destacável (Figura 3B); a histologia revelou condroma típico com calcificação central, recoberto, na face luminal, por mucosa brônquica com metaplasia pavimentosa do epitélio. Com a ciência de sua possível associação com a tríade de Carney, foram realizados posteriormente exames radiológicos contrastados do esôfago, estômago e duodeno; endoscopia digestiva alta; ultrasonografia abdominal; e tomografias computadorizadas de tórax, abdome e cervical. Não foi diagnosticada nenhuma outra lesão.

Foi realizada a pesquisa para paragangliomas extra-adrenais através da cintilografia com a metaiodobenzilguanidina (131I MIBG),(7) a qual não evidenciou nenhuma outra lesão.

DISCUSSÃO

A associação entre condroma pulmonar, leiomiossarcoma gástrico e paraganglioma extra-adrenal constitui a tríade de Carney devido a algumas peculiaridades: multicentricidade de tumores entre diferentes órgãos/tecidos, o que não é comum, exceto em metástases; a multicentricidade ocorre entre três órgãos/tecidos bem definidos: estômago, pulmão e sistema nervoso; ocorrência predominante em mulheres jovens.(3)

A tríade incompleta, composta pelos componentes pulmonar e gástrico foi a associação mais freqüente encontrada por Carney em sua última revisão.(3) Nesse trabalho observou que dos 79 pacientes, 42 apresentavam esta combinação (53%) e 17 os três componentes (22%).(3) A tríade completa, com o diagnóstico dos três componentes simultaneamente, é mais rara ainda.(6) A presença do condroma pulmonar isolado é rara, estando ele quase sempre associado a um ou aos dois outros componentes.(3) No Brasil existe o relato de caso de uma mulher que apresentou a tríade de Carney incompleta, constituída por leiomiossarcoma gástrico e condroma pulmonar.(6)

Na literatura mundial os relatos apresentam, mais freqüentemente, o componente gástrico. Este é de ocorrência precoce, apresenta sintomas locais, e emite metástases abdominais por via linfática e hematogênica, apesar de ter lenta progressão.(3)

O condroma pulmonar é uma neoplasia mesenquimal benigna de crescimento lento, que apre-senta ausência de sintomas ou efeitos deletérios ao paciente e tem propensão ao desenvolvimento de outros tumores,(3) razão pela qual os pacientes acometidos devem ser acompanhados clínica e radiologicamente ao longo do tempo. Na maioria das vezes o diagnóstico deste componente ocorre durante a investigação pré-operatória destes pacientes. Depois de confirmado o diagnóstico anatomopatológico, o monitoramento radiológico é suficiente. O tratamento cirúrgico faz-se necessário caso haja comprome-timento da função pulmonar ou outra intercorrência decorrente da presença do tumor.(3)

Radiologicamente, o condroma pulmonar pode se manifestar como tumor único, como múltiplas lesões unilaterais ou ter ocorrência bilateral. Não existe predileção por lobo ou pulmão. Em metade dos relatos da literatura, apresentava calcificações no momento do diagnóstico.(3)

Quando confrontado com a estatística de Carney,(3) o presente caso é bastante incomum. Primeiramente, porque o paciente é do sexo mas-culino, com idade acima dos 35 anos. Em segundo lugar, a localização do tumor era central e isolada e, em terceiro, havia a presença de sintomatologia. Em sua última revisão Carney descreveu apenas um paciente acima de 35 anos e a grande maioria era do sexo feminino (67 mulheres em 79 casos descritos). Quanto à sintomatologia, todos eram assintomáticos, com exceção de um deles.(3) Neste nosso relato, o componente pulmonar manifestou-se como lesão endobrônquica obstrutiva, levando a sinais e sintomas de doença pulmonar supurativa com infecções recorrentes.

Dois dos três componentes da tríade de Carney são tumores malignos com taxas significativas de metástases. Além disto, como existem longos intervalos entre o aparecimento e a recorrência dos tumores, torna-se necessário um seguimento em longo prazo dos pacientes após a primeira manifestação. Mesmo os pacientes assintomáticos devem ser acompanhados a cada três anos em busca dos outros componentes da síndrome. Esta investigação deve ser também realizada tão logo haja o aparecimento de novos sintomas(8-9).

REFERÊNCIAS

1. Carney JA, Sheps SG, Go VL, Gordon H. The triad of gastric leiomyosarcoma, functioning extra-adrenal paraganglioma and pulmonary chondroma. N Engl J Med. 1977;296(26):1517-8.
2. Carney JA. The triad of gastric epithelioid leiomyosarcoma, functioning extra-adrenal paraganglioma and pulmonary chondroma. Cancer. 1979;43(1):374-82.
3. Carney JA. Gastric stromal sarcoma, pulmonary chondroma and extra-adrenal paraganglioma (Carney Triad): natural history, adrenocortical component and possible familial occurrence. Mayo Clin Proc. 1999;74(6):543-52.
4. Carney JA. The triad of gastric epithelioid leiomyosarcoma, pulmonary chondroma and functioning extra-adrenal paraganglioma: a five-year review. Medicine (Baltimore). 1983;62(3):159-69.
5. Wales PW, Drab AS, Kim PCW. An unusual case of complete Carney's triad in a 14-year-old-boy. J Pediatr Surg. 2002;37(8):1228-31.
6. Moraes MGP, Coeli NM, Menezes JGA. Tríade de Carney. Rev Col Bras Cir. 2001;28(4):461-3.
7. Myssiorek D, Palestro CJ. 111Indium pentetreotide scan detection of familial paragangliomas. Laringoscope. 1998;108(2): 228-31.
8. Bladen JC, Moosajee M, Bassett JHD.A tense case--Carney's triad. J R Soc Med. 2004;97(11):540-1.
9. Margulies KB, Sheps SG. Carney's triad: Guidelines for management. Mayo Clin Proc. 1998;63(5): 496-502.


* Trabalho realizado na Faculdade de Medicina da Universidade Estadual Paulista "Julio Mesquita Filho" - UNESP - Botucatu (SP) Brasil.
1. Professor Assistente da Disciplina de Cirurgia Torácica do Departamento de Cirurgia e Ortopedia da Faculdade de Medicina de Botucatu Universidade Estadual Paulista "Julio Mesquita Filho" - UNESP - Botucatu (SP) Brasil.
2. Professor Adjunto do Departamento de Patologia da Faculdade de Medicina Universidade Estadual Paulista "Julio Mesquita Filho" - UNESP - Botucatu (SP) Brasil.
3. Professor Adjunto da Disciplina de Cirurgia Torácica do Departamento de Cirurgia e Ortopediada Faculdade de Medicina Universidade Estadual Paulista "Julio Mesquita Filho" - UNESP - Botucatu (SP) Brasil.
4. Aluno da Faculdade de Medicina Universidade Estadual Paulista "Julio Mesquita Filho" - UNESP - Botucatu (SP) Brasil.
5. Professor Assistente da Disciplina de Radiodiagnóstico do Departamento de Doenças Tropicais e Diagnóstico por Imagem da Faculdade de Medicina Universidade Estadual Paulista "Julio Mesquita Filho" - UNESP - Botucatu (SP) Brasil.
6. Médico Residente da Faculdade de Medicina Universidade Estadual Paulista "Julio Mesquita Filho" - UNESP - Botucatu (SP) Brasil.
Endereço para correspondência: Raul Lopes Ruiz Jr. Caixa Postal 501 CEP: 18618-970 - Botucatu - SP. E-mail: ruizraul@fmb.unesp.br
Recebido para publicação em 13/1/05. Aprovado, após revisão, em 24/2/05.

Indexes

Development by:

© All rights reserved 2025 - Jornal Brasileiro de Pneumologia