Continuous and bimonthly publication
ISSN (on-line): 1806-3756

Licença Creative Commons
29551
Views
Back to summary
Open Access Peer-Reviewed
Case Report

Lung pseudotumor as the initial presentation of Wegener's granulomatosis

Pseudotumor pulmonar como apresentação inicial de granulomatose de Wegener

Marcelo Fouad Rabahi, Ludmila Bertti Coelho, Eliza de Oliveira Borges, Marcella Stival Lemes, Weniskley Mendes de Castro, Siderley de Souza Carneiro

ABSTRACT

Wegener's granulomatosis is a multisystemic inflammatory illness of unknown etiology, characterized by vasculitis of small and medium caliber vessels. The most common clinical manifestations involve the upper respiratory tract, lungs and kidneys. Common alterations in imaging studies include pulmonary opacities and bilateral multiple nodules, cavitations occurring in 50% of the cases. Treatment includes corticosteroids and immunosuppressants. We describe an atypical case of a 61-year-old man initially investigated due to suspicion of a unilateral lung tumor, which proved to be, in fact, a case of Wegener's granulomatosis.

Keywords: Wegener's Granulomatosis; Vasculitis; Diagnosis, differential; Lung neoplasms.

RESUMO

A granulomatose de Wegener é uma doença inflamatória multissistêmica de etiologia desconhecida, que se caracteriza por vasculite de pequeno e médio calibre. As manifestações clínicas mais comuns envolvem o trato respiratório superior, pulmões e rins e as alterações encontradas nos exames de imagem são geralmente opacidades pulmonares ou nódulos múltiplos, bilaterais e, em 50% dos casos, cavitações. O tratamento é feito com corticoides e imunossupressores. Descreve-se um caso atípico de um homem de 61 anos cuja investigação inicial de um tumor pulmonar unilateral evidenciou, na verdade, Granulomatose de Wegener.

Palavras-chave: Granulomatose de Wegener; Vasculite; Diagnóstico diferencial; Neoplasias pulmonares.

Introduction

Wegener's granulomatosis (WG) is a rare, idiopathic, multisystemic inflammatory disease mediated by immune factors. The mean age at diagnosis ranges from 20 to 40 years, and males are more often affected (ratio, 1.5:1.0). In Blacks, WG is uncommon.(1)

The disease consists of vasculitis of small and medium caliber vessels and is mainly characterized by necrotizing granulomatous inflammation of the upper and lower respiratory tract (in 70-95% of cases) as well as by pauci-immune necrotizing glomerulonephritis (in 50-85% of cases).(2,3) However, it can also affect the skin, the eyes, the musculoskeletal system and, more rarely, the heart and the nervous system.

Regarding its etiology, it is believed that, after repeated airway infections, mechanisms of hypersensitivity are triggered, favoring the onset of the symptoms.(4) Individuals presenting the HLA haplotypes B8, A2, B7, DRw12, A31 or DR4 seem to be more predisposed to WG.(5)

Most patients with WG have persistent rhinorrhea, epistaxis or purulent rhinorrhea, nasal ulcers, polyarthralgia, myalgia and nonspecific symptoms. In addition, there can be cough, hemoptysis, dyspnea and pleuritic pain. Ocular involvement is common and varies widely, and orbital pseudotumor (retro-orbital granulomatous inflammation and fibrosis, with painful exophthalmos) is a typical presentation of the disease. Renal involvement worsens the prognosis of the disease and, when accompanied by hemoptysis, constitutes one of the causes of lung-kidney syndrome.(6)

The antineutrophil cytoplasmic antibody c (ANCA-c) is a serological marker for WG, making useful during the diagnosis as well as in follow-up evaluations.

The antigen against which this antibody is directed is a lysosomal enzyme-proteinase 3.(7) A finding of ANCA-c positivity has a sensitivity of 90-95% and a specificity of 90% for WG, whereas up to 60% of cases can test positive for rheumatoid factor (RF).(8) Inflammatory activity is typically elevated.

The diagnosis of WG is based on the clinical, radiological, serological and anatomopathological criteria proposed by the American College of Rheumatology. Two of the following criteria, accompanied by positive ANCA-c, confirm the diagnosis: oral or nasal inflammation; nodules or fixed opacities or cavitation on chest X-rays; microscopic hematuria or more than 5 erythrocytes per high-power microscopic field; and a biopsy finding of granulomatous inflammation (in the arterial wall or the perivascular/extravascular region of arteries and arterioles).(7,8) The presence of two or more criteria confers 88.2% sensitivity and 92.0% specificity.(7)

The classical treatment for WG includes prednisone (1 mg/kg/day), accompanied by cyclophosphamide (2-3 mg/kg/day), for 4 to 6 weeks, the cyclophosphamide dose being adjusted according to the lymphocyte count (which should be maintained at approximately 1,000 cells/mm3) and the prednisone being tapered over the subsequent 6 months.(1,8)

We describe a case of WG with an uncommon initial presentation-a single tumor in the right lung.

Case report

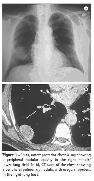
A 61-year-old male patient sought treatment at the pulmonology outpatient clinic reporting lung secretion with occasional bloody sputum for approximately 5 months. Within the past month, the patient had severe cough, dyspnea and a peak of fever. The patient reported no other respiratory problems and no history of occupational risk. He also reported long-term labyrinthitis and recent hypoacusis. He was a former smoker (30 pack-years) who had not smoked for 10 years. The physical examination revealed that the patient was well hydrated and with good color. He presented abnormal breath sounds, crackles in the right hemithorax base, increased vocal fremitus and a systemic arterial pressure of 120/80 mmHg. The SpO2 was 96%. The investigation began with imaging studies and laboratory tests. A chest X-ray showed a nodular opacity in the lower third of the right hemithorax (Figure 1a), a sinus X-ray revealed thickening of the left maxillary sinus mucosa, and a CT scan of the chest revealed an extensive lesion in the right hemithorax (4.2 cm × 3.1 cm), contiguous with the parietal pleura (Figure 1b). Based on these findings, we requested a tomography-guided percutaneous biopsy, which showed areas of fibrosis and areas of extensive necrosis associated with an inflammatory process (Figures 2a and 2b), whose possible causes include WG, bronchocentric granulomatosis or an infectious disease.
Laboratory tests revealed the following: hemoglobinuria (+/4+); hematuria (29,000/mL); erythrocyte sedimentation rate, 27 mm/h; antinuclear factor, present (1/40), large dots; RF, reactive (50.5 U/mL); and ANCA-c, positive. After analyzing the test results mentioned, we made a diagnosis of WG.
With treatment, the patient presented improvement of the clinical manifestations and the pulmonary alterations resolved (Figure 3).











Discussion

In the present case, the patient had a nonspecific clinical profile and a significant history of smoking. The presence of pulmonary signs and symptoms in an elderly former smoker raises the possibility of lung cancer, due to its high prevalence and to the fact that it is a common condition, when compared with systemic vasculitis. Therefore, in the initial approach to this patient, lung cancer could not be ruled out. In view of this, we requested complementary tests that, in combination with the clinical manifestations, allowed us to make the diagnosis and define the best treatment.

Imaging studies showed an extensive unilateral nodular lesion. This finding is uncommon in WG and, therefore, there was diagnostic difficulty in view of the possibility of a malignant disease. What is expected in this type of vasculitis is pulmonary infiltration or bilateral multiple nodules, which can be accompanied by cavitations (in 50% of the cases).(8) The next step was then to resort to tomography-guided percutaneous biopsy, a procedure that has high sensitivity, specificity and accuracy, the last ranging from 84.5% to 90%, depending directly on the size of the lesion. The principal reason for requesting the procedure is to determine malignancy in solid pulmonary lesions.(9,10)

Lung biopsy showed alterations that were not consistent with cancer. It revealed a profile of extensive necrosis accompanied by vasculitis with wall necrosis, consistent with the working diagnoses of WG and bronchocentric granulomatosis, as well as of other granulomatous diseases and inflammatory pseudotumor.

Inflammatory pseudotumor of the lung is a benign neoplasm of unknown etiology that, in imaging studies, presents as a solitary nodule or a peripheral pulmonary mass, rarely cavitated, with or without extraparenchymal involvement.(11,12) Although the biopsy findings revealed alterations suggestive of this condition (necrosis, fibrosis and mononuclear cell infiltration), inflammatory pseudotumor of the lung is a rare disease, and, when it occurs, it is more common in individuals younger than 16 years of age.(11) Therefore, the most likely hypothesis, considering the biopsy findings(13) and the age of the patient, was WG.

This hypothesis was then corroborated by the nonspecific laboratory findings, by the finding of nasal sinus inflammation, as well as by the detection of positivity for ANCA-c(14) and for RF, which is seen in up to 60% of the cases.(8) Undoubtedly, the patient met all the criteria proposed by the American College of Rheumatology.

References

1. Wilson AG, Hansell DM. Immunologic Diseases of the Lungs. In: Armstrong P, editor. Imaging of diseases of the chest. London: Mosby; 2000. p. 550-4.

2. Borges ER, Ab'Saber AM, Barbas CS. Pulmonary hemorrhage syndromes. J Bras Pneumol. 2005;31(Suppl 1):S36-S43.

3. Antunes T, Barbas CSV. Wegener's granulomatosis. J Bras Pneumol. 2005;31(Suppl 1):S21-S6.

4. Correia JM, Abreu MC, André S. Granulomatose de Wegener - A propósito de um caso clínico. Rev Port Pneumol. 2003;IX(1):53-61

5. Vascular In [Homepage on the Internet]. São Paulo: Vascular In. [cited 2008 Feb 12]. Granulomatose de Wegener. Available from: http://www.vascularin.com.br/edicao05/wegener.htm

6. Ribeiro C, Neto MS, Silva GM, Santos AA, Penido MG. Granulomatose de Wegener: Apresentação clínica e tratamento. J Bras Nefrol. 2006;XXVIII(2):114-17.

7. Guidolin F, Magro CE, Neto FB, Skare TL. Granulomatose de Wegener e estenose subglótica: descrição de caso. Rev Bras Otorrinolaringol. 2004;70(3):419-22.

8. Rezende CE, Rodrigues RE, Yoshimura R, Uvo IP, Rapaport PB. Granulomatose de Wegener: relato de caso. Rev Bras Otorrinolaringol. 2003;69(2):261-5.

9. Carazzai EH, Andreosi M, Gonzalez FM, Gonzalez FQ, Tornin OS, Rossi MD. Biópsia pulmonar percutânea guiada por tomografia computadorizada: dados de um hospital. Radiol Bras. 2006;39(4):277-82.

10. Sociedade Portuguesa de Medicina Interna [homepage on the Internet]. Lisboa: Sociedade Portuguesa de Medicina Interna, Inc., c1994-2007. [updated 2007 Jul 29; cited 2007 Jul 23]. Revista da Sociedade Brasileira de Medicina Interna. Available from: http://www.spmi.pt/revista_indice.asp

11. Montessi J, Vieira JP, Mira RR, Rabelo FT. Inflammatory pseudotumor of the lung. J Bras Pneumol. 2005;31(1):83-5.

12. Ruiz Jr RL, Caetano AJ. Pseudotumor inflamatório do pulmão. Rev Col Bras Cir. 2001;29(2):115-6.

13. Skare TL, Zappi DM. Massa intracardíaca em provável caso de granulomatose de Wegener. Arq Bras Cardiol. 1998;71(4):609-11.

14. Tarantino AB, editor. Doenças Pulmonares. Rio de Janeiro: Guanabara Koogan; 2002.



About the authors

Marcelo Fouad Rabahi
Adjunct Professor. Pulmonology Section, Department of Clinical Medicine, Federal University of Goiás School of Medicine, Goiânia, Brazil.

Ludmila Bertti Coelho
Medical Student. Federal University of Goiás School of Medicine, Goiânia, Brazil.

Eliza de Oliveira Borges
Medical Student. Federal University of Goiás School of Medicine, Goiânia, Brazil.

Marcella Stival Lemes
Medical Student. Federal University of Goiás School of Medicine, Goiânia, Brazil.

Weniskley Mendes de Castro
Medical Student. Federal University of Goiás School of Medicine, Goiânia, Brazil.

Siderley de Souza Carneiro
Assistant Professor. Department of Pathological Anatomy, Federal University of Goiás School of Medicine, Goiânia, Brazil.


* Study carried out at the Federal University of Goiás School of Medicine, Goiânia, Brazil.
Correspondence to: Marcelo Fouad Rabahi. Rua 17-A, 899, Sala 703, Setor Aeroporto, CEP 74075 160, Goiânia, GO, Brasil.
Tel 55 62 3212 6536. E-mail: mfrabahi@terra.com.br
Financial support: None.
Submitted: 12 February 2008. Accepted, after review: 17 July 2008.

Indexes

Development by:

© All rights reserved 2025 - Jornal Brasileiro de Pneumologia