ABSTRACT
Emphysema is a condition of the lung, characterized by the abnormal increase in the size of the airspace distal to the terminal bronchioles. Currently, emphysema is the fourth leading cause of death in the USA, affecting 14 million people. The present article describes the principal
tools in the imaging diagnosis of emphysema, from the early days until the present. We describe traditional techniques, such as chest X-ray, together with the evolution of computed tomography (CT) to more advanced forms, such as high resolution CT, as well as three-dimensional CT densitometry and volumetric assessment.
Keywords:
Emphysema; Radiology; Tomography, X-Ray computed; Radiography, thoracic.
RESUMO
O enfisema é uma condição do pulmão, caracterizada pelo aumento acima do normal no tamanho dos espaços aéreos distais ao bronquíolo
terminal. Atualmente, o enfisema é a quarta causa de morte nos EUA, afetando 14 milhões de pessoas. O presente artigo descreve as principais
ferramentas no diagnóstico por imagem do enfisema, desde o início até os dias de hoje. Relata as técnicas tradicionais, como radiograma de tórax, e as evoluções no campo da tomografia computadorizada (TC), como a TC de alta resolução e a densitovolumetria pulmonar por TC tridimensional.
Palavras-chave:
Enfisema; Radiologia; Tomografia computadorizada por raios X; Radiografia torácica.
Introdução A preocupação com o estudo das alterações dos pulmões acometidos por enfisema é bastante antiga na medicina e vem adquirindo ainda maior importância com o passar dos anos, especialmente em decorrência do grande aumento do tabagismo. Atualmente, o enfisema é a quarta causa de morte nos Estados Unidos da América, afetando 14 milhões de pessoas.(1)
O enfisema pulmonar tem distribuição universal, mas é mais freqüente em cidades poluídas e industrializadas. É muito comum, principalmente nas formas mais leves. Algum grau de enfisema é registrado em 50% das autópsias de vários centros em torno do mundo.(2) Tem um pico de prevalência perto dos 70 anos de idade e é duas a três vezes mais comum em homens.(2)
A patogenia do enfisema é complexa, mas dois mecanismos são muito importantes: em primeiro lugar, a fragilidade estrutural provocada por elastólise, que pode ser secundária a distúrbio constitucional ou a aumento da proteólise e, em segundo, a obstrução de vias aéreas provocadas por perda de sustentação da via aérea (perda da tração elástica), ou por alterações inflamatórias nas paredes das vias aéreas.
O fator etiológico mais importante é o tabagismo, que exibe seus efeitos de várias maneiras. Além do fumo, outros poluentes inalados também têm sido identificados, principalmente cloreto de cádmio, óxidos de nitrogênio e fosfigênio. A injeção intravenosa de tabletes de metilfenidato, segundo relatos, provoca enfisema com distribuição nas porções caudais dos pulmões.(3) A patogênese do enfisema precoce que está relacionado a esta, e a outras drogas intravenosas recreacionais, contudo, não está ainda adequadamente esclarecida.(4) Vários distúrbios genéticos associados ao enfisema têm sido descritos, incluindo a deficiência de alfa-1-antitripsina, bem como doenças hereditárias de tecido conjuntivo como cutis laxa,(5) osteogênese imperfeita, síndrome de Marfan e enfisema familiar.
Um dos marcos no estudo desta doença foi apresentado por um livro,(6) no qual a definição, a classificação e as várias causas foram amplamente estudadas. Dentre as considerações apresentadas nesse livro, destaca-se a dificuldade de concordância entre clínicos, radiologistas e patologistas em relação ao tema, pois havia grande diferença entre os critérios diagnósticos utilizados por cada um destes grupos de especialistas. Lesões identificadas pelos patologistas nem sempre eram acompanhadas de alterações no exame clínico ou testes de função pulmonar, nem nos estudos radiológicos. A autora cita uma definição de enfisema: "elle consist dans la simple dilatation des vesicles ou cellules dont elle compose", que pode ser traduzida por: "consiste na simples dilatação dos espaços aéreos (alvéolos) de que se compõe".(7) Adiante em seu livro, a autora cita dois artigos onde há ampliação do conceito, que deixa de ser considerado como alteração restrita dos alvéolos, podendo comprometer toda a parte respiratória dos pulmões, onde está incluída qualquer porção dos espaços aéreos distais ao bronquíolo terminal, ou seja, no ácino.(8,9) Neste mesmo texto, discute-se a definição de enfisema considerada pela American Thoracic Society em 1962, onde deveria haver, necessariamente, destruição das paredes dos alvéolos, lembrando que nem todas as causas de enfisema estariam incluídas neste critério, especialmente as formas associadas à hipoplasia ou atrofia, propondo como conceito: "Enfisema é uma condição do pulmão, caracterizada pelo aumento acima do normal no tamanho dos espaços aéreos distais ao bronquíolo terminal, ou seja, no ácino".
A redução da vasculatura pulmonar, especialmente do leito capilar, é ressaltada como achado comum nas várias formas de enfisema, seja pela destruição conjunta dos capilares e das paredes dos alvéolos, seja pelo afilamento provocado pelo alongamento decorrente da hiperdistensão dos espaços aéreos que circundam esses capilares, lembrando que a natureza e a quantidade de vasos sangüíneos alterados dependem do tipo de lesão enfisematosa. Esta crítica proposta pela autora ainda não fora adequadamente valorizada, visto que a definição atualmente aceita é descrita como "uma condição do pulmão caracterizada por aumento anormal e permanente de espaços aéreos distais ao bronquíolo terminal, acompanhado de destruição de suas paredes (espaço aéreo) e sem fibrose óbvia. O aspecto ordenado do ácino e seu conteúdo está comprometido e pode ser perdido",(10) e a destruição das paredes alveolares ainda permanece no conceito.
O diagnóstico clínico é geralmente difícil, pois os pacientes com pequenos volumes de enfisema são geralmente assintomáticos.(10) O enfisema disseminado, entretanto, provoca tosse não produtiva e progressiva dispnéia aos esforços. Com exceção do enfisema parasseptal, o grau de comprometimento funcional está relacionado à extensão do enfisema, mais do que ao tipo.(10) O enfisema tende a ser associado ao fenótipo ofegante-róseo (pink-puffer), caracterizado por dispnéia, tosse não produtiva e gases sangüíneos relativamente normais, alcançados às custas de taquipnéia.(11) No entanto, há uma sobreposição considerável com o extremo da bronquite crônica do fenótipo inchado-cianótico (blue-bloater) do espectro.
As provas de função respiratória no diagnóstico do enfisema refletem três importantes alterações(1): a obstrução de pequenas vias aéreas provoca perda de sustentação e alteração inflamatória de suas paredes,(2) perda da elasticidade ou encolhimento e (3) pulmonar, perda de superfície alveolar.(12) A obstrução de via aérea reduz o pico de fluxo e o volume expiratório forçado no primeiro segundo (VEF1). A perda da retração elástica pulmonar é compensada pela expansibilidade da parede torácica; quando a primeira está reduzida, a parede torácica se expande e, assim, aumentam os vários volumes pulmonares estáticos (volume residual, capacidade residual funcional, e a capacidade pulmonar total). A diminuição das superfícies de troca gasosa decorrente da destruição das paredes alveolares se reflete na redução de difusão de monóxido de carbono.
Além disso, o esforço respiratório está aumentado e progride até situações de hipóxia, inicialmente durante o sono ou exercício. Não há hipercapnia, pois a capacidade de resposta aos níveis de oxigênio arterial permanece intacta.
Classificação anatomopatológica do enfisema Existem quatro mecanismos causais principais que podem participar, isoladamente ou em conjunto, no desenvolvimento do enfisema: hipoplasia (Figura 1), atrofia, hiperdistensão, e destruição parcial ou total dos alvéolos. Hipoplasia ocorre em decorrência de falha no desenvolvimento do alvéolo. Atrofia, por atrofia das paredes alveolares, cujo desenvolvimento fora normal. Hiperdistensão, representando a distensão do alvéolo além de sua capacidade normal na inspiração máxima. Destruição, representada pela perda de substância das paredes dos alvéolos, distinguível anatomopatologicamente da atrofia.

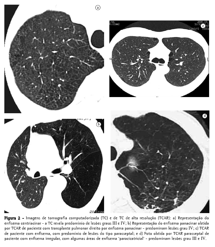
Em 1958,(13) publicou-se um artigo de grande importância por apontar erros na preparação dos espécimes pulmonares para entendimento das lesões enfisematosas, descrevendo melhores técnicas de distensão e fixação. Em revisão de trabalhos anteriores,(6) uma autora assim definiu os parâmetros anatomopatológicos, conforme sua distribuição em relação ao ácino, (Figura 2): centroacinar, parasseptal ou periacinar, panacinar, e irregular.

O tipo centroacinar, como o nome sugere,acomete a porção central do ácino, junto aos bronquíolos respiratórios. Há dilatação seletiva, com confluência dos elementos centrais no ácino, principalmente os bronquíolos respiratórios e seus alvéolos. O processo tende a ser mais acentuado nos terços superiores dos lobos superiores e inferiores. O enfisema centroacinar está fortemente associado ao tabagismo e à bronquite crônica, com predomínio no sexo masculino. As alterações inflamatórias nas pequenas vias aéreas são comuns, com entupimento, infiltrado mural e fibrose, levando a estenose, bloqueio do fluxo de ar, além de distorção e destruição da anatomia do centro do ácino.
O tipo parasseptal só ocorre naqueles ácinos delimitados pelo tecido conjuntivo, sejam septos conjuntivos periféricos, pleuras e bainhas de tecido conjuntivo, peribrônquicas ou perivasculares. Apresenta uma tendência em se desenvolver onde as margens pulmonares são regulares. Os espaços aéreos no enfisema parasseptal freqüentemente se tornam confluentes e se desenvolvem em bolhas, que podem ser grandes. Acredita-se que o enfisema parasseptal seja a lesão básica na doença pulmonar bolhosa.(14) A obstrução de via aérea e o distúrbio respiratório são freqüentemente menores no enfisema parasseptal, apesar da grande formação de bolhas.
O enfisema do tipo panacinar acomete o todo dos ácinos, com dilatação e destruição de seus alvéolos. As características que usualmente diferenciam os alvéolos dos dutos alveolares estão perdidas, os poros de Kohn aumentam, e desenvolvem-se fenestras entre os alvéolos. Este processo tem sido comparado a uma simplificação difusa da arquitetura do pulmão. Com a destruição progressiva, tudo o que finalmente resta são finas bandas de tecido cercando vasos sangüíneos. O enfisema panacinar é o tipo de enfisema mais disseminado e grave e, conseqüentemente, o que mais resultará em doença clinicamente significativa. As alterações patológicas estão distribuídas no todo dos pulmões, mas, com freqüência, a distribuição é predominantemente nos terços inferiores. O tipo de enfisema que ocorre na deficiência de alfa-1-antitripsina, na síndrome de Swyer-James e em casos de enfisema familiar, é predominantemente do tipo panacinar. Apesar de ser considerado o enfisema dos não-fumantes, também ocorre induzido pelo tabagismo, em associação com enfisema centrolobular. Quando o enfisema encontra-se às margens de uma cicatriz nos pulmões, pode ser denominado como enfisema paracicatricial ou irregular. A classificação em enfisema irregular é reservada aos casos onde não é possível classificá-lo nos outros três tipos.
Além da classificação conforme a distribuição em relação ao ácino, ressalta-se a necessidade de graduar as lesões enfisematosas, para que se tenha uma noção da gravidade da doença do ponto de vista anatomopatológico. Esta graduação é necessária, especialmente no enfisema do tipo panacinar e do tipo centriacinar.
A correlação entre a anatomia patológica e a radiologia no estudo do enfisema é derivada do conceito de que o excesso de transparência no radiograma resulta de um aumento do volume de ar em relação à quantidade de tecidos pulmonares e sangue, que os feixes de raios X encontram em seu trajeto. Isto pode ocorrer quando o pulmão aumenta seu volume por expansão compensatória, desde que não haja um incremento significativo no fluxo sangüíneo, acompanhando o aumento de volume de ar. Entretanto, a redução do fluxo sangüíneo em determinada zona do pulmão pode ser a causa principal da redução da atenuação. Assim, bronquite e bronquiolite obliterantes podem ser responsáveis por aumento da radiotransparência, antes mesmo que a doença determine destruição das paredes dos alvéolos.
O rendimento do radiograma convencional de tórax na avaliação do enfisema é bastante limitado. Quando ainda não há aprisionamento aéreo significativo, a principal alteração é a redução da vasculatura, que somente é perceptível muito tardiamente na história natural da doença, e é um critério de extrema subjetividade. Quando há aprisionamento aéreo (Figuras 3 e 4), os critérios são mais seguros, podendo ser divididos em 3 grupos básicos de alterações,(6,8) apresentados na Quadro 1. Quando todos os critérios estão presentes, o diagnóstico é de certeza. Deve ser ressaltado que o aumento de câmaras direitas do coração, com redução da vasculatura intra-segmentar, pode também ser identificado em hipertensão arterial pulmonar, sem enfisema. Ressalta-se, também, que bolhas só estarão presentes em cerca de um terço dos casos.

Os objetivos do estudo radiológico de tórax, na avaliação do enfisema são o diagnóstico, a identificação do tipo lesional, e o julgamento da extensão da doença. Neste sentido, um estudo(6,8) traça considerações da mais alta importância:
Nos enfisemas de tipo centroacinar ou parasseptal, geralmente não há sintomatologia clínica, podendo haver aumento dos espaços aéreos, sem aprisionamento de ar nem alterações radiológicas evidentes; e
O enfisema panacinar, em geral, tem maior relevância do ponto de vista clínico, mas pode estar presente no pulmão do idoso, sem causar aprisionamento aéreo.
Alguns autores(15) relataram que o comprimento do pulmão direito e a altura do arco do hemidiafragma se correlacionavam bem com o VEF1 e a proporção VEF1/capacidade vital (CV). Neste estudo, um comprimento de pulmão direito de 30 cm ou mais identificou 70% dos pacientes com obstrução respiratória.(16) Entretanto, um autor(17) relata que todos esses estudos apresentam vícios, pois têm excesso de pacientes com obstrução respiratória crônica e, assim, as características radiológicas de obstrução aérea recebem "um valor desproporcional no reconhecimento do enfisema". Também foi demonstrado que a sensibilidade à radiografia de tórax não é boa, variando de 24(18) a 80%(19) e, também, que existe uma considerável variação intraobservadores e inter-observadores, em relação aos sinais radiológicos clássicos.(20) Os sinais radiológicos relacionados à vascularização estão sujeitos a uma variação intra ou inter-observadores ainda maior do que a dos sinais relacionados à hiperinsuflação.(19)
Considerando-se que o hemidiafragma tem superfície de cerca de 250 cm2, pode-se calcular que cada 4 cm de deslocamento do diafragma determina deslocamento equivalente a cerca de 1 L de volume em cada pulmão (2 L, se considerados ambos os pulmões). Quando há aprisionamento de ar, a mobilidade do diafragma está limitada durante a expiração. O volume pulmonar no final da expiração é significativo no reconhecimento do enfisema. Normalmente, o deslocamento do diafragma entre a inspiração e a expiração máximas situa-se entre 3 e 10 cm, correspondendo a volumes de 1500 a 5000 mL. O deslocamento cranial menor que 2 ou 3 cm na expiração é indicativo de limitação da excursão diafragmática no indivíduo com enfisema.(21)
A utilização da altura do diafragma como um indicador diagnóstico é limitada em várias
situações:
nos pacientes com cifoescoliose;
em alguns indivíduos que apresentam diafragma em situação baixa na inspiração, porém preservam uma excelente mobilidade na expiração, como os atletas; e
em indivíduos com asma, especialmente crianças maiores e adolescentes, onde o diafragma pode apresentar algumas das características semelhantes às do diafragma do indivíduo com enfisema, porém as alterações cardiovasculares não estão presentes.
Nas três situações, a excursão diafragmática deve ser maior que a do indivíduo com enfisema.
A utilização da excursão diafragmática também tem limitações, especialmente em: pacientes com insuficiência cardíaca, onde as porções do diafragma que não estão em contato com o coração apresentam maior deslocamento cranial; e pacientes com edema pulmonar, pois a rigidez causada pelo edema pode determinar menor mobilidade do diafragma.
Um estudo comenta que o padrão enfisematoso definido pelo estudo radiológico convencional só está presente quando o enfisema é tão acentuado do ponto de vista anatomopatológico que, em geral, as reservas pulmonares já se exauriram ou estão no limite.(6,8) Uma revisão mais atualizada(22) reafirma essas proposições:
"Se os pulmões são levemente afetados por enfisema, o radiograma é freqüentemente normal";
"Enfisema pode ser diagnosticado pelo radiograma quando a doença é avançada"; e
"Somente metade dos pacientes com enfisema de extensão moderada são diagnosticáveis por radiograma de tórax."
Ambos os autores sugerem que o radiograma convencional de tórax não é um método confiável para o diagnóstico ou quantificação do enfisema.(22) Esta limitação é tão importante que alguns autores(21) demonstraram que, quando a radiologia convencional pode ser diagnóstica para doença pulmonar obstrutiva crônica, 53% dos pacientes estavam mortos em 5 anos e 70%, em 10 anos.
Evolução da imagética na investigação e quantificação do enfisema Em contraste com o radiograma convencional de tórax, a tomografia computadorizada (TC) tem-se mostrado muito sensível e específica na avaliação do enfisema.(14,23-43) Desde que os achados foram descritos pela primeira vez em 1982,(14) a TC tem sido empregada para detectar, caracterizar e quantificar a doença. O enfisema centrolobular caracteriza-se pela presença de áreas de baixa atenuação, com margens mal definidas, geralmente sem paredes visíveis.(44) As lesões conferem um aspecto similar ao de tecido roído por traças. Quando as lesões enfisematosas atingem diâmetros maiores que as do ácino, parte de suas margens podem se tornar bem definidas, simulando cistos, devido à presença de septos intersticiais, ou vasos maiores margeando as lesões. Em um estudo que avalia vários sinais de enfisema centrolobular, as áreas de baixa atenuação na medular dos pulmões, demonstradas na TC, se correlacionaram significativamente com enfisema avaliado post mortem.(45) Outros sinais de enfisema incluem bolhas (pseudocistos que contêm ar, com paredes finas bem definidas), rarefação de vasos, e distorção da vasculatura. Os sinais complementares de hiperinsuflação dos pulmões que, quando acentuados, são prontamente identificados no radiograma de tórax, podem não ser tão óbvios na TC. Entretanto, a linha de junção anterior dos pulmões, medindo 3 cm no sentido ântero-posterior, é sugestiva de hiper-expansão no paciente com enfisema.(46)
A TC de alta resolução (TCAR) é capaz de diferenciar entre os vários tipos de enfisema, em pacientes com doença leve ou moderada,(47) retratando com grande semelhança os achados da anatomia patológica acima descritos, onde o enfisema centrolobular apresenta: predileção pelos terços superiores,(45) podendo estar confinado a estas regiões; áreas de baixa densidade multifocais decorrente da destruição dos alvéolos, com predomínio na medular, distantes da pleura(45); lesões que podem se assemelhar a pequenos espaços aéreos císticos, geralmente sem uma parede óbvia; e pulmão circundante às lesões, que pode ser totalmente normal. Com a progressão da doença, as lesões centrolobulares enfisematosas se tornam confluentes.
A TCAR, no enfisema panacinar, demonstra destruição pulmonar mais uniforme, com extensas áreas de baixa densidade, acompanhadas de distorção e rarefação vascular. No enfisema panacinar puro, não são encontradas pequenas áreas focais de baixa densidade, características do enfisema centrolobular. Em contraste com este último, a distribuição é preferencial nos terços inferiores dos pulmões.
O enfisema parasseptal é facilmente detectado na TCAR, e apresenta-se como áreas de baixa densidade, bem delimitadas por paredes finas, com espessura semelhante a fios de cabelo.(48) Esses pseudocistos distribuem-se nas regiões subpleurais ou adjacentes a feixes broncovasculares maiores. Este padrão de enfisema, curiosamente, lembra dentes de uma serra e, ocasionalmente, os septos intersticiais podem parecer particularmente proeminentes; algumas vezes, podem simular linfangite carcinomatosa no radiograma de tórax, o que é prontamente diferenciado à TCAR.(48)
Vários estudos têm-se dedicado a avaliar a capacidade de detecção, as correlações com anatomia patológica e testes de função pulmonar, bem como a quantificação da extensão da doença pela TC.(23-48) Na opinião de vários autores, a quantificação do enfisema pelo radiograma convencional é limitada.(7,23,49) Por isto, a TC vem sendo o método imagético de escolha para a quantificação in vivo dessa doença.
Alguns autores(39) estudaram a quantificação por escore visual, com escala de 1 a 5, conforme acometimento de 0, 25, 50, 75% ou 100% dos pulmões. A correlação desta técnica com a anatomia patológica apresenta correlação de r = 0,91 in vitro (com espécimes pulmonares de cadáveres). In vivo, esta correlação é de r = 0,81.(24-39)Deve-se considerar, contudo, que existem limitações naturais quando se utiliza a análise subjetiva para a quantificação do enfisema, seja por método radiológico, seja por avaliação pela macroscopia ou microscopia, na anatomia patológica.
Na tentativa de diminuir a subjetividade inerente à técnica utilizada por um autor, outros autores(31) propuseram a estratificação visual em classes, por meio do auxílio de grades superpostas à imagem de TC, a qual apresenta boa correlação anatomopatológica; porém, é demasiadamente trabalhosa e bastante subjetiva. O nível e a abertura da janela na escala de unidades Hounsfield (UH), selecionados para a análise da imagem de TC, podem influenciar significativamente na identificação de áreas de enfisema.(29-34) A melhor seleção de janela para a identificação visual do enfisema é aquela que utiliza abertura incluindo 1100 UH, e com nível ou centro fixo em -750 UH. Outra limitação comum às duas técnicas é a falta de consenso sobre o número mínimo de cortes tomográficos necessários para que a quantificação seja representativa do todo dos pulmões. Além destes problemas, relata-se que a corrente do tubo também influencia significativamente na identificação visual subjetiva do enfisema à TCAR.(39)
Como se poderia prever, a comparação entre os métodos de quantificação por escores visuais e aqueles realizados automaticamente por computação gráfica demonstrou diferença significativa, a favor da automação.(27) Um estudo(50) demonstrou que, independentemente da experiência do observador, existe tendência a superestimar o enfisema na análise visual, e que a densitometria tem melhor correlação com os dados morfométricos.
Nesta evolução para a automação, não podemos deixar de ressaltar o importante passo que representaram as pesquisas de um estudo,(28) no qual demonstrou-se que pacientes com enfisema têm mais áreas com densidade entre -900 UH e -1000 UH do que os sem enfisema. Posteriormente, outros estudos confirmaram a proposição de que a TC é capaz de discriminar, de maneira objetiva, pacientes com e sem enfisema.(37,41) Essas técnicas foram detalhadamente estudadas por um autor, que demonstrou as vantagens da utilização de máscaras de densidades, que apresentam correlação r = 0,89 com a anatomia patológica.(43) A máscara de densidades é uma das técnicas de maior importância na avaliação semi-automática do enfisema. Outros autores(21) estudaram o uso da técnica de projeções de intensidades mínimas, que subtrai da imagem todas as estruturas com densidade mais elevada, ressaltando as áreas do enfisema. Os estudos de alguns autores(34) representaram um novo marco na investigação dessa doença, estabelecendo o limiar de separação -950 UH como adequado para a separação entre pulmão com densidade normal e pulmão com densidade muito próxima do ar ou com enfisema. Este limiar é, desde então, um dos mais freqüentemente utilizados na quantificação do enfisema por TC.
A introdução da TC helicoidal abriu novos horizontes no diagnóstico e quantificação do enfisema. Neste tipo de equipamento, é possível realizar varredura contínua, cobrindo toda a extensão do tórax, em uma única pausa respiratória. O resultado desta varredura é um volume de dados e não mais uma matriz de dados, como no caso da TC axial incremental. Com equipamentos de TC helicoidal de pista única, o volume de dados referentes às densidades de cada estrutura integrante ou contida nos pulmões pode ser adquirido em 15 ou 20 s. Em equipamentos de TC de múltiplas pistas, este tempo pode ser reduzido ainda mais.
Os cortes tomográficos obtidos com colimação fina e processados com filtros de aguçamento de contornos dão a impressão visual de serem melhores que cortes de colimação maior (7-10 mm) e sem pósprocessamento, na avaliação subjetiva do enfisema. Isso acontece porque nosso poder de discriminação visual de densidades é inferior ao dos computadores.
Apesar de os cortes tomográficos com colimação fina e o uso de filtro com aguçamento de contornos parecerem mais sensíveis na detecção do enfisema, os cortes de TC com colimação maior (7-10 mm), sem filtro de aguçamento de contornos, são mais fidedignos aos dados originais medidos pelos detectores; isso é válido nas aquisições e medidas realizadas com base nas medidas densidades. Além disso, quanto mais finos os cortes, mais artefatos de absorção ocorrem e maior corrente de filamento é necessária para minimizar estes artefatos. Os filtros de aguçamento de contornos manipulam os dados originais; com isso, aquelas densidades intermediárias decorrentes do volume parcial entre as margens dos vasos e vias aéreas, com o ar que as circundam ou que está contido pelas mesmas, são transformadas ou para densidades próximas à densidade do ar ou para densidades iguais às das estruturas vasculares ou brônquicas.
Com isto, a densidade média dos pulmões se altera, e as proporções de áreas de baixa densidade podem variar significativamente. Durante o Primeiro Congresso Mundial de Imagética Torácica (Florença, Itália, 2005), alguns autores apresentaram uma variação de volume mensurado de 131 para 860 mL, quando medido em dados pós-processados com filtros de aguçamento, na mesma colimação. A colimação exerceu menor influência, e o volume do enfisema medido em dados obtidos com colimação de 1 mm diminuiu de 131 para 60 mL quando a colimação fora selecionada em 5 mm, ambos sem filtros de pós-processamento.
Vários autores têm utilizado colimação entre 7 e 10 mm para a quantificação volumétrica de enfisema por TC helicoidal; porém, ressalta-se que a utilização da varredura helicoidal de 7 ou 10 mm não é recomendada na investigação de enfisema por análise visual subjetiva.(39)
A aquisição do volume de dados em uma única pausa respiratória permite calcular volumes totais de pulmão normal e das zonas enfisematosas, ou enfisema-símile, com base na densidade medida na escala de Hounsfield. Esta técnica é normalmente descrita como TC quantitativa, e poderia ser melhor denominada densitovolumetria pulmonar por TC, pois TC quantitativa pode ser realizada para medir área, não necessariamente volume. A densitovolumetria pulmonar por TC tem sido objeto de estudo por parte de outros autores, que demonstraram a aplicabilidade do método, ao compará-lo aos métodos tradicionais de detecção e quantificação do enfisema, como a espirometria, a quantificação por escore visual e a análise por histogramas.(40,51)
A aquisição do volume de dados em uma única pausa respiratória permite reconstruir os dados no formato de imagens tridimensionais, através da TC tridimensional. Este recurso tecnológico vem ganhando espaço cada vez maior na investigação das alterações do tórax.(51-56) Um dos pioneiros na divulgação da técnica(56) demonstrou sua eficiência na quantificação do enfisema. Atualmente tem-se sugerido densitovolumetria por TC tridimensional para enfisema(55) como denominação para este processo de quantificação do volume do enfisema, a partir de dados obtidos mediante varredura por TC helicoidal, com representação tridimensional das lesões enfisematosas (Figuras 5 e 6). O exame mede todo o volume pulmonar com densidade anormal e, também, todo o volume de pulmão com densidade diferenciando-os com base em limiar de separação, em geral selecionado em -950 UH, conforme sugerido por um autor. Entre as aplicações práticas da técnica, um estudo demonstrou que a densitovolumetria pulmonar por TC é superior à TCAR, e deveria ser incluída na avaliação pré-operatória dos pacientes com indicação de cirurgia de redução volumétrica dos pulmões.(58)

Esta aplicabilidade clínica da densitovolumetria por TC tridimensional já há algum tempo vem sendo empregada em nosso meio para o mesmo fim.(39) Em recente consenso, sugeriu-se o uso da densitovolumetria por TC tridimensional para pesquisas de avaliação da eficácia terapêutica de tratamento do enfisema, em substituição ao VEF1.(59)
Encontra-se em estudo a avaliação das vantagens da densitovolumetria por TC tridimensional para a decisão terapêutica, em pacientes portadores de carcinoma pulmonar operável do ponto
de vista do estadiamento, conhecido em inglês como tumor-node-metastasis staging; porém, com função pulmonar limítrofe. A Figura 7 exemplifica um caso no qual a lesão neoplásica (em vermelho) encontra-se, por um infeliz e comum acaso, no lobo menos acometido pelo enfisema. Neste caso, a lobectomia inferior direita será quase equivalente a uma pneumonectomia, pois o lobo superior direito, que seria o remanescente, está quase completamente comprometido pelo enfisema.

Com o estabelecimento de valores de referência da normalidade,(55) já é possível, também, empregar a densitovolumetria por TC tridimensional para o diagnóstico precoce e a graduação da gravidade da doença, e esta detecção precoce e demonstração da imagem tridimensional ao paciente tem sido sugerida como potencialmente útil em técnicas de supressão de tabagismo(60); além disso, parece-nos também promissora na avaliação de pacientes que exercem atividades ocupacionais que possam induzir ao desenvolvimento de enfisema.
Consideracões finais A TC, incluindo a TCAR e a densitovolumetria por TC tridimensional, representa importante avanço na investigação de pacientes com doença pulmonar obstrutiva crônica, permitindo a melhor discriminação entre o predomínio de bronquite ou enfisema, bem como a identificação das lesões numa fase ainda precoce e a quantificação da extensão da doença. Essas técnicas imagéticas já vêm sendo bastante empregadas na prática clínica, e muitas novas possibilidades de aplicação encontram-se em franca expansão.
Referências 1. Gurney JW. Pathophysiology of obstructive airways disease. Radiol Clin North Am. 1998;36(1):15-27.
2. Sobonya RE, Burrows B. The epidemiology of emphysema. Clin Chest Med. 1983;4(3):351-8.
3. Stern EJ, Frank MS, Schmutz JF, Glenny RW, Schmidt RA, Godwin JD. Panlobular pulmonary emphysema caused by i.v. injection of methylphenidate (Ritalin): findings on chest radiographs and CT scans. AJR Am J Roentgenol. 1994;162(3):555-60.
4. Weisbrod GL, Rahman M, Chamberlain D, Herman SJ. Precocious emphysema in intravenous drug abusers. J Thorac Imaging. 1993;8(3):233-40.
5. Corbett E, Glaisyer H, Chan C, Madden B, Khaghani A, Yacoub M. Congenital cutis laxa with a dominant inheritance and early onset emphysema. Thorax. 1994;49(8):836-7.
6. Reid L. The pathology of emphysema. London: Lloyd-Luke; 1967. p. 384.
7. Laennec RTH. Traité de lauscultation médiate et des maladies des pulmouns et du cour. Paris: J S Chaudé; 1826.
8. Reid L, Simon G. III. Pathological findings and radiological changes in chronic bronchitis and emphysema. Br J Radiol. 1959;32(377):291-305.
9. Thurlbeck WM, Simon G. Radiographic Appearance of the Chest in Emphysema. AJR Am J Roentgenol. 1978;130(3):429-440.
10. The definition of emphysema. Report of a National Heart, Lung, and Blood Institute, Division of Lung Diseases workshop. Am Rev Respir Dis. 1985;132(1):182-5.
11. Dornhorst AC. Respiratory insufficiency. Lancet. 1955;268(6876):1185-7.
12. Robins AG. Pathophysiology of emphysema. Clin Chest Med. 1983;4(3):413-20.
13. Heard BE. A pathological study of emphysema of the lungs with chronic bronchitis. Thorax. 1958;13(2):136-49.
14. Snider GL. A perspective on emphysema. Clin Chest Med. 1983;4(3):329-36.
15. Gavelli G, Zompatori M, Bernasconi A, Canini R. Diagnostic imaging of pulmonary emphysema. From radiography to high-resolution computerized tomography. Radiol Med (Torino). 1990;80(5):679-87.
16. Gamsu G, Nadel JA. The roentgenologic manifestations of emphysema and chronic bronchitis. Med Clin North Am. 1973;57(3):719-33.
17. Thurlbeck WN. Chronic airflow obstruction in lung disease. In Bennington JL. Major problems in pathology, v. 5. Philadelphia: Saunders; 1976. p. 221-302.
18. Thurlbeck WM, Simon G. Radiographic appearance of the chest in emphysema. AJR Am J Roentgenol. 1978;130(3):429-40.
19. Sanders C. The radiographic diagnosis of emphysema. Radiol Clin North Am. 1991;29(5):1019-30.
20. Nicklaus TM, Stowell DW, Christiansen WR, Renzetti AD Jr. The accuracy of the roentgenologic diagnosis of chronic pulmonary emphysema. Am Rev Respir Dis. 1966;93(6):889-99.
21. Simon G, Medvei VC. Chronic bronchitis: radiological aspects of a five-year follow-up. Thorax. 1962;17:5-8.
22. McLoud TC. Chronic obstructive pulmonary disease. In: McLoud TC, editor, Thoracic radiology: the requisites. 1998. St. Louis: Mosby Inc; 1998. p. 287-300.
23. Gould GA, MacNee W, McLean A, Warren PM, Redpath A, Best JJ, et al. CT measurements of lung density in life can quantitate distal airspace enlargement--an essential defining feature of human emphysema. Am Rev Respir Dis. 1988;137(2):380-92.
24. Miller RR, Müller NL, Vedal S, Morrison NJ, Staples CA. Limitations of computed tomography in the assessment of emphysema. Am Rev Respir Dis. 1989;139(4):980-3.
25. Kuwano K, Matsuba K, Ikeda T, Murakami J, Araki A, Nishitani H, et al. The diagnosis of mild emphysema. Correlation of computed tomography and pathology scores. Am Rev Respir Dis. 1990;141(1):169-78.
26. Morgan MD. Detection and quantification of pulmonary emphysema by computed tomography: a window of opportunity. Thorax. 1992 Dec;47(12):1001-4.
27. Spouge D, Mayo JR, Cardoso W, Müller NL. Panacinar emphysema: CT and pathologic findings. J Comput Assist Tomogr. 1993;17(5):710-3.
28. Hayhurst MD, MacNee W, Flenley DC, Wright D, McLean A, Lamb D, et al. Diagnosis of pulmonary emphysema by computerised tomography. Lancet. 1984;2(8398):320-2.
29. Stern EJ, Frank MS. CT of the lung in patients with pulmonary emphysema: diagnosis, quantification, and correlation with pathologic and physiologic findings. AJR Am J Roentgenol. 1994;162(4):791-8.
30. Stern EJ, Webb WR, Gamsu G.Dynamic quantitative computed tomography. A predictor of pulmonary function in obstructive lung diseases. Invest Radiol. 1994;29(5):564-9.
31. Thurlbeck WM, Müller NL. Emphysema: definition, imaging, and quantification. AJR Am J Roentgenol. 1994;163(5):1017-25.
32. Bhalla M, Naidich DP, McGuinness G, Gruden JF, Leitman BS, McCauley DI. Diffuse lung disease: assessment with helical CT--preliminary observations of the role of maximum and minimum intensity projection images. Radiology. 1996;200(2):341-7.
33. Weeb WR, Muller NL. Principles and techniques of thoracic Computed Tomography and Magnetic Resonance. Naidich DP, Muller NL. Computed tomography and magnetic resonance of the thorax. Philadelphia: Lippincott-Raven; 1999: p. 1-37.
34. Gevenois PA, Scillia P, de Maertelaer V, Michils A, De Vuyst P, Yernault JC. The effects of age, sex, lung size, and hyperinflation on CT lung densitometry. AJR Am J Roentgenol. 1996;167(5):1169-73.
35. Remy-Jardin M, Remy J, Gosselin B, Copin MC, Wurtz A, Duhamel A. Sliding thin slab, minimum intensity projection technique in the diagnosis of emphysema: histopathologic-CT correlation. Radiology. 1996;200(3):665-71.
36. Kemerink GJ, Kruize HH, Lamers RJ, van Engelshoven JM. CT lung densitometry: dependence of CT number histograms on sample volume and consequences for scan protocol comparability. J Comput Assist Tomogr. 1997;21(6):948-54.
37. Uppaluri R., McLennan G., Sonka M., Hoffman EA. Computerbased objective quantitative assessment of pulmonary parenchyma via X-ray CT. SPIE. 1998;3337:377-83.
38. Arakawa H, Webb WR, McCowin M, Katsou G, Lee KN, Seitz RF. Inhomogeneous lung attenuation at thin-section CT: diagnostic value of expiratory scans. Radiology. 1998;206(1):89-94.
39. Webb WR, Muller NL. Diseases characterized primarily by cysts and emphysema. In: Webb WR, Muller NL, Naidich DP, editors. High-Resolution CT of the lung. Philadelphia: Lippincott Williams and Wilkins; 2001. p. 421-60.
40. Kauczor HU, Heussel CP, Fischer B, Klamm R, Mildenberger P, Thelen M. Assessment of lung volumes using helical CT at inspiration and expiration: comparison with pulmonary function tests. AJR Am J Roentgenol. 1998;171(4):1091-5.
41. Uppaluri R, Mitsa T, Sonka M, Hoffman EA, McLennan G. Quantification of pulmonary emphysema from lung computed tomography images. Am J Respir Crit Care Med. 1997;156(1):248-54.
42. King GG, Müller NL, Paré PD. Evaluation of airways in obstructive pulmonary disease using high-resolution computed tomography. Am J Respir Crit Care Med. 1999;159(3):992-1004.
43. Müller NL, Staples CA, Miller RR, Abboud RT. "Density mask". An objective method to quantitate emphysema using computed tomography. Chest. 1988;94(4):782-7.
44. Austin JH, Müller NL, Friedman PJ, Hansell DM, Naidich DP, Remy-Jardin M, et al. Glossary of terms for CT of the lungs: recommendations of the Nomenclature Committee of the Fleischner Society. Radiology. 1996;200(2):327-31.
45. Foster WL Jr, Pratt PC, Roggli VL, Godwin JD, Halvorsen RA Jr, Putman CE. Centrilobular emphysema: CT-pathologic correlation. Radiology. 1986;159(1):27-32.
46. Zompatori M, Rimondi MR, Gavelli G, Canini R. Paraseptal emphysema mimicking unilateral lymphangitic carcinomatosis: CT findings. J Comput Assist Tomogr. 1993;17(5):810-2.
47. Bergin CJ, Müller NL, Miller RR. CT in the qualitative assessment of emphysema. J Thorac Imaging. 1986;1(2):94-103.
48. Miller RR, Müller NL, Vedal S, Morrison NJ, Staples CA. Limitations of computed tomography in the assessment of emphysema. Am Rev Respir Dis. 1989;139(4):980-3.
49. Takasugi JE, Godwin JD. Radiology of chronic obstructive pulmonary disease. Radiol Clin North Am. 1998;36(1):29-55.
50. Bankier AA, De Maertelaer V, Keyzer C, Gevenois PA. Pulmonary emphysema: subjective visual grading versus objective quantification with macroscopic morphometry and thinsection CT densitometry. Radiology. 1999;211(3):851-8.
51. Johnson PT, Fishman EK, Duckwall JR, Calhoun PS, Heath DG. Interactive three-dimensional volume rendering of spiral CT data: current applications in the thorax. Radiographics. 1998;18(1):165-87.
52. Aberle DR. Society of Thoracic Radiology. Future directions of research in thoracic imaging. Radiology. 1998;206(1):11-3.
53. Henschke CI, Yankelevitz DF. Supercomputers help in the medical diagnostic process, Cornell 1998.
54. Gevenois PA, De Vuyst P, Sy M, Scillia P, Chaminade L, de Maertelaer V, et al. Pulmonary emphysema: quantitative CT during expiration. Radiology. 1996;199(3):825-9.
55. Irion KL. Valores Referenciais de Normalidade em Densito Volumetria Pulmonar por Tomografia Computadorizada Helicoidal [thesis]. Porto Alegre: Universidade Federal do Rio Grande do Sul, 2000.
56. Park KJ, Bergin CJ, Clausen JL. Quantitation of emphysema with three-dimensional CT densitometry: comparison with two-dimensional analysis, visual emphysema scores, and pulmonary function test results. Radiology. 1999;211(2):541-7.
57. Mergo PJ, Williams WF, Gonzalez-Rothi R, Gibson R, Ros PR, Staab EV, et al. Three-dimensional volumetric assessment of abnormally low attenuation of the lung from routine helical CT: inspiratory and expiratory quantification. AJR Am J Roentgenol. 1998;170(5):1355-60.
58. Cederlund K, Bergstrand L, Högberg S, Rasmussen E, Svane B, Tylén U, et al. Visual classification of emphysema heterogeneity compared with objective measurements: HRCT vs spiral CT in candidates for lung volume reduction surgery. Eur Radiol. 2002;12(5):1045-51.
59. Newell JD Jr, Hogg JC, Snider GL. Report of a workshop: quantitative computed tomography scanning in longitudinal studies of emphysema. Eur Respir J. 2004;23(5):769-75.
60. Madani A, Keyzer C, Gevenois PA. Quantitative computed tomography assessment of lung structure and function in pulmonary emphysema. Eur Respir J. 2001;18(4):720-30.
__________________________________________________________________________________________
* Trabalho realizado junto ao Programa de Pós-Graduação em Ciências Pneumológicas da Universidade Federal do Rio Grande do Sul - UFRGS - Porto Alegre (RS) Brasil.
1. Doutor em Medicina. Consultant Radiologist at the Cardiothoracic Centre - Liverpool NHS Trust, Liverpool, UK.
2. Médico residente em Radiologia da Santa Casa de Porto Alegre, Porto Alegre (RS) Brasil.
3. Doutor em Medicina. Universidade Federal Fluminense - UFF - Rio de Janeiro (RJ) Brasil.
4. Doutor em Medicina. Pavilhão Pereira Filho do Complexo Hospitalar Santa Casa e Hospital Mãe de Deus, Porto Alegre (RS) Brasil.
5. Doutor em Medicina. Universidade Federal de Santa Maria - UFSM - Santa Maria (RS) Brasil.
6. Médico. Irion Radiologia, Porto Alegre (RS) Brasil.
Endereço para correspondência: Bruno Hochhegger. Rua João Alfredo, 558/301, Cidade Baixa, CEP 90050-230, Porto Alegre, RS, Brasil.
Tel 55 51 3286-4230. Fax 55 51 3214-8000. E-mail: brunorgs@mail.ufsm.br
Recebido para publicação em 13/7/2007. Aprovado, após revisão, em 15/8/2007.