Continuous and bimonthly publication
ISSN (on-line): 1806-3756

Licença Creative Commons
16123
Views
Back to summary
Open Access Peer-Reviewed
Letters to the Editor

Overlap between asthma and COPD

Sobreposição de asma brônquica e DPOC

Tiago Manuel Alfaro, Sara da Silva Freitas, Carlos Robalo Cordeiro

To the Editor:

We have recently treated a 60-year-old female patient who was a college professor. She reported having bronchial asthma since childhood, having been treated by a pulmonologist until age 40 years. The patient had remained asymptomatic until 7 years prior, when she began to have episodes of dyspnea, wheezing, and productive cough, which prompted repeated emergency room visits. More recently, she had been hospitalized for community-acquired pneumonia and exacerbation of bronchial asthma. The patient responded well to treatment and was therefore discharged. However, she still complained of dyspnea on moderate exertion and occasional nocturnal wheezing. The patient also complained of hypopharyngeal pain when using inhalers, as well as experiencing retrosternal burning after meals. She had no other complaints. The patient had been a smoker since she was 16 years old (smoking history, 30 pack-years). She had a history of bronchial asthma since childhood and of allergy to dust mites, as well as having pulmonary emphysema (diagnosed at age 49 years) and hiatal hernia. Since her hospitalization, the patient had been receiving the salmeterol-fluticasone combination, tiotropium, aminophylline, and rescue albuterol. She reported no occupational or domestic exposure to inhaled pollutants. In addition, she reported no contact with animals or recent trips abroad. She also reported no contact with individuals with communicable diseases. Her family history was unremarkable. Physical examination revealed good general health and normal vital signs, with no signs of breathlessness. Pulmonary auscultation revealed diminished breath sounds at both lung bases and increased expiratory time. Examination of the abdomen and limbs revealed no abnormalities.

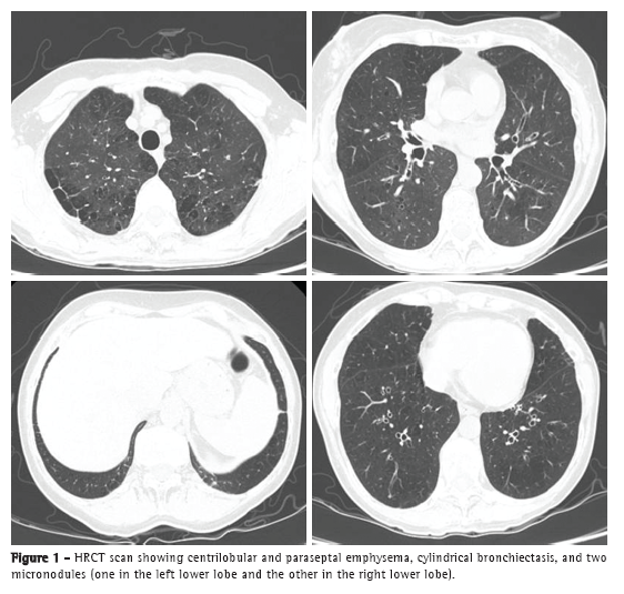
An HRCT scan showed centrilobular and paraseptal emphysema, cylindrical bronchiectasis (predominantly central and upper lobe bronchiectasis), and two micronodules of 3 mm and 4 mm in diameter, respectively, in the right lower lobe and in the left lower lobe (Figure 1). Immunoglobulin quantification showed an increase in total IgE levels (671 IU/mL), with no other abnormalities. Alpha-1 antitrypsin levels were normal. Respiratory function test results revealed moderately severe obstructive lung disease accompanied by inflation, moderately reduced alveolar-capillary diffusion, and mild type I respiratory failure. The patient had a negative bronchodilator response (Table 1). Her electrocardiogram was normal, and the results of the microbiological study of sputum were negative.





The final diagnosis was uncontrolled bronchial asthma, pulmonary emphysema, diffuse bronchiectasis, and gastroesophageal reflux disease (GERD). The patient attributed her hypopharyngeal pain to the use of inhaled corticosteroids and therefore decided to discontinue the medication, having consequently shown improvement. She was started on esomeprazole, and salmeterol was replaced by indacaterol. Although this improved her pharyngeal and epigastric pain, she still had mild respiratory complaints. Treatment with inhaled budesonide was initiated, having been well tolerated by the patient. At this writing, the patient was under treatment with budesonide, indacaterol, tiotropium, esomeprazole, and aminophylline and had no respiratory or digestive complaints. In addition, she had been enrolled in a smoking cessation program and was currently receiving nicotine replacement therapy.

In asthma patients, smoking is a common problem that is difficult to manage. The incidence of active smoking in asthma patients can be as high as 35%.(1) Active smoking is associated with an increased risk of developing asthma in adults, such a risk being higher in females. Passive smoking is also associated with an increased risk of developing asthma, especially when it occurs in the uterus.(2) In asthma patients, smoking is associated with poorly controlled disease, the manifestations of which include a higher frequency of exacerbations and nocturnal complaints. This has been reported in studies including smokers and individuals (children and adults) exposed to passive smoking, although it is more difficult to determine the degree of exposure in the latter.(3,4) Another manifestation is corticosteroid resistance, which is seen in smokers with asthma. Smoking seems to make such patients resistant to the effects of low- or medium-dose inhaled corticosteroids, such patients therefore responding exclusively to high-dose inhaled corticosteroids.(5) Resistance to short-term oral corticosteroid therapy (even at high doses) has also been demonstrated.(6) Therefore, it is imperative to identify smokers with asthma and to make additional efforts in order to aid such patients in quitting smoking. In the clinical case described herein, despite having been repeatedly advised to quit smoking, the patient did not, having therefore been enrolled in the smoking cessation program available at our center. Another noteworthy aspect is the association of bronchial asthma with pulmonary emphysema. Our diagnosis of bronchial asthma with COPD was based on the lifestyle habits of our patient, the radiological findings, and the respiratory function test results. The overlap syndrome of asthma and COPD has been increasingly recognized, although its clinical features have yet to be well defined. Classically, uncontrolled bronchial asthma is recognized as a risk factor for COPD; however, such patients are often excluded from clinical trials.(7) Recent studies including patients with COPD and a history of asthma or investigating this specific population have shown that patients with the overlap syndrome of asthma and COPD are generally younger than those with COPD alone and have a shorter history of exposure to smoking, exacerbations being more frequent and quality of life being worse in the former group of patients.(8,9) In one study,(10) patients with the overlap syndrome of asthma and COPD were found to account for health care expenditures that were five times as high as were those that patients with either asthma or COPD accounted for.(10) Therefore, it is important to identify this subgroup of patients, for whom intensified therapy aiming at reducing the number of exacerbations is probably warranted. Our patient also presented with bronchiectasis and two pulmonary micronodules. Bronchiectasis has been reported in association with COPD and asthma.(11,12) The micronodules should be treated within 12 months after having been detected, given that the patient was a smoker.(13) Although the incidence of GERD is higher in patients with asthma (as is the incidence of asthma in patients with GERD), there is no evidence for a causal relationship. Hypotheses regarding how GERD can affect asthma include microaspiration (acid reflux having direct effects on the tracheobronchial mucosa) and vagal stimulation caused by the presence of acid in the esophagus.(14) A common comorbidity in patients with COPD, GERD appears to be associated with an increased risk of exacerbations. Although GERD treatment is not associated with a clear improvement in asthma control, the presence of symptoms in our patient led us to prescribe proton pump inhibitors, with good results. Finally, our patient presented with one of the local oropharyngeal side effects of inhaled corticosteroids,(15) the symptoms having resolved after her medication was changed. The description and discussion of the present case allows us to conclude that special attention should be given to the smoking habits of patients with asthma, as well as to the association of asthma with COPD.



Tiago Manuel Alfaro
Intern in Pulmonology, Coimbra Hospital and University Center, EPE, Coimbra, Portugal

Sara da Silva Freitas
Pulmonologist,
Coimbra Hospital and University Center, EPE, Coimbra, Portugal

Carlos Robalo Cordeiro
Pulmonologist,
Coimbra Hospital and University Center, EPE, and Professor of Pulmonology, University of Coimbra,
Coimbra, Portugal


References

1. Stapleton M, Howard-Thompson A, George C, Hoover RM, Self TH. Smoking and asthma. J Am Board Fam Med. 2011;24(3):313-22. PMid:21551404. http://dx.doi.org/10.3122/jabfm.2011.03.100180

2. Gilliland FD, Berhane K, McConnell R, Gauderman WJ, Vora H, Rappaport EB, et al. Maternal smoking during pregnancy, environmental tobacco smoke exposure and childhood lung function. Thorax. 2000;55(4):271-6. PMid:10722765 PMCid:1745733. http://dx.doi.org/10.1136/thorax.55.4.271

3. Chaudhuri R, McSharry C, McCoard A, Livingston E, Hothersall E, Spears M, et al. Role of symptoms and lung function in determining asthma control in smokers with asthma. Allergy. 2008;63(1):132-5. PMid:18053022. http://dx.doi.org/10.1111/j.1398-9995.2007.01538.x

4. Jindal SK, Gupta D, Singh A. Indices of morbidity and control of asthma in adult patients exposed to environmental tobacco smoke. Chest. 1994;106(3):746-9. PMid:8082352. http://dx.doi.org/10.1378/chest.106.3.746

5. Tomlinson JE, McMahon AD, Chaudhuri R, Thompson JM, Wood SF, Thomson NC. Efficacy of low and high dose inhaled corticosteroid in smokers versus non-smokers with mild asthma. Thorax. 2005;60(4):282-7. PMid:15790982 PMCid:1747368. http://dx.doi.org/10.1136/thx.2004.033688

6. Chaudhuri R, Livingston E, McMahon AD, Thomson L, Borland W, Thomson NC. Cigarette smoking impairs the therapeutic response to oral corticosteroids in chronic asthma. Am J Respir Crit Care Med. 2003;168(11):1308 11. PMid:12893649. http://dx.doi.org/10.1164/rccm.200304-503OC

7. Gibson PG, Simpson JL. The overlap syndrome of asthma and COPD: what are its features and how important is it? Thorax. 2009;64(8):728-35. PMid:19638566. http://dx.doi.org/10.1136/thx.2008.108027

8. Hardin M, Silverman EK, Barr RG, Hansel NN, Schroeder JD, Make BJ, et al. The clinical features of the overlap between COPD and asthma. Respir Res. 2011;12:127. PMid:21951550 PMCid:3204243. http://dx.doi.org/10.1186/1465-9921-12-127

9. Kauppi P, Kupiainen H, Lindqvist A, Tammilehto L, Kilpelainen M, Kinnula VL, et al. Overlap syndrome of asthma and COPD predicts low quality of life. J Asthma. 2011;48(3):279-85. PMid:21323613. http://dx.doi.org/10.3109/02770903.2011.555576

10. Soriano JB, Visick GT, Muellerova H, Payvandi N, Hansell AL. Patterns of comorbidities in newly diagnosed COPD and asthma in primary care. Chest. 2005;128(4):2099 107. PMid:16236861. http://dx.doi.org/10.1378/chest.128.4.2099

11. Oguzulgen IK, Kervan F, Ozis T, Turktas H. The impact of bronchiectasis in clinical presentation of asthma. South Med J. 2007;100(5):468-71. PMid:17534081. http://dx.doi.org/10.1097/SMJ.0b013e31802fa16f

12. Garcia MA, Cataluna JJ. Chronic obstructive pulmonary disease and bronchiectasias [Article in Spanish]. Arch Bronconeumol. 2010;46 Suppl 3:11-7. PMid:20620687.

13. MacMahon H, Austin JH, Gamsu G, Herold CJ, Jett JR, Naidich DP, et al. Guidelines for management of small pulmonary nodules detected on CT scans: a statement from the Fleischner Society. Radiology. 2005;237(2):395 400. PMid:16244247. http://dx.doi.org/10.1148/radiol.2372041887

14. Ratier JC, Pizzichini E, Pizzichini M. Gastroesophageal reflux disease and airway hyperresponsiveness: concomitance beyond the realm of chance? J Bras Pneumol. 2011;37(5):680-8. PMid:22042402. http://dx.doi.org/10.1590/S1806-37132011000500017

15. Buhl R. Local oropharyngeal side effects of inhaled corticosteroids in patients with asthma. Allergy. 2006;61(5):518-26. PMid:16629778. http://dx.doi.org/10.1111/j.1398-9995.2006.01090.x

Indexes

Development by:

© All rights reserved 2025 - Jornal Brasileiro de Pneumologia