Continuous and bimonthly publication
ISSN (on-line): 1806-3756

Licença Creative Commons
22451
Views
Back to summary
Open Access Peer-Reviewed
Case Report

Pleural endometriosis: findings on magnetic resonance imaging

Endometriose pleural: achados na ressonância magnética

Edson Marchiori, Gláucia Zanetti, Rosana Souza Rodrigues, Luciana Soares Souza, Arthur Soares Souza Jr, Flávia Angélica Ferreira Francisco, Bruno Hochhegger

ABSTRACT

Endometriosis is a benign gynecological disorder associated with pelvic pain and infertility, primarily affecting women of reproductive age. Thoracic endometriosis affects the pulmonary parenchyma or pleura. We report the cases of two patients with pleural endometriosis who presented with recurrent pneumothorax. In both cases, magnetic resonance imaging (MRI) of the chest showed right hydropneumothorax and well-defined, rounded nodules on the pleural surface in the right hemithorax. We conclude that MRI is a good option for the characterization of pleural endometriotic nodules and hemorrhagic pleural effusion.

Keywords: Endometriosis; Magnetic resonance imaging; Pneumothorax.

RESUMO

A endometriose é uma doença ginecológica benigna associada à dor pélvica e infertilidade que afeta principalmente mulheres em idade reprodutiva. A endometriose torácica afeta o parênquima pulmonar ou a pleura. Relatamos os casos de duas pacientes com endometriose pleural que apresentaram pneumotórax recorrente. Em ambos os casos, a ressonância magnética de tórax mostrou hidropneumotórax à direita e nódulos redondos, bem definidos, na superfície pleural à direita. A ressonância magnética é uma boa opção para a caracterização dos nódulos de endometriose pleural e de derrame pleural hemorrágico.

Palavras-chave: Endometriose; Imagem por ressonância magnética; Pneumotórax.

Introduction

Endometriosis is a benign gynecological disorder associated with pelvic pain and infertility, primarily affecting women of reproductive age. The disease is defined as the presence of functional endometrial glands and stroma outside the uterine cavity.(1,2) These tissues typically grow within the pelvic cavity. However, in extrapelvic endometriosis, they grow in other locations, such as the pericardium, intestinal tract, and even the brain. Thoracic endometriosis is a form of extrapelvic endometriosis found in the pulmonary parenchymal tissues or pleura(2); it manifests most frequently as catamenial pneumothorax (CP), thus named in order to reflect its temporal relationship with menses and is defined as pneumothorax occurring between 24 h before and 72 h after the onset of menstruation.(3-5) In the present article, we report the magnetic resonance imaging (MRI) findings of two patients with pleural endometriosis who presented with recurrent pneumothorax.

Case reports

Case 1

A 33-year-old woman presented with significant pelvic pain, dyspnea, moderate right-sided pleuritic pain, and dry cough 5 years prior; those symptoms showed cyclic changes in severity in accordance with the menstrual cycle. A chest X-ray showed massive right hydropneumothorax, and thoracocentesis revealed hemorrhagic fluid. The cytology was negative for malignancy. A transvaginal ultrasound revealed, in the right adnexa, a multiloculated cystic mass suggestive of endometrioma, ipsilateral hematosalpinx, and hemoperitoneum.

The patient was referred to our institution and hospitalized for diagnostic thoracoscopy. Dark lesions were observed throughout the pleura. The lesions were biopsied, and the histopathological analysis indicated pleural endometriosis.

Subsequently, two pleurodeses with tetracycline were performed and the menstruation of the patient was suppressed (with oral contraceptives) for six months. These measures resulted in significant symptomatic improvement, although a small hydropneumothorax persisted.

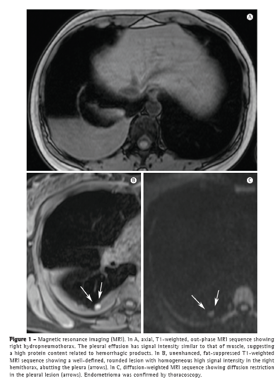
The patient remained asymptomatic for 4 years. Approximately six months prior to this writing, the patient presented with cyclic dyspnea, dry cough, and mild pelvic pain, despite her use of oral contraceptives. A chest X-ray and a CT scan of the chest revealed mild right hydropneumothorax. The lung parenchyma was normal. On T1- and T2-weighted MRI sequences of the chest, performed with and without fat suppression, we observed right hydropneumothorax, and T1-weighted MRI sequences with fat suppression showed hyperintense nodular lesions in the pleura; some of those lesions showed restricted diffusion (Figure 1), which is suggestive of endometriomas.



The patient underwent video-assisted thoracic surgery (VATS). All dark lesions in the pleura were resected. The surgery caused significant symptomatic improvement, and the patient remained asymptomatic at 1 year after the surgery.

Case 2

A 41-year-old woman presented with a 6-year history of pain in her right shoulder during menstruation. She had reported chest pain and pleural effusion 1 year prior. During clinical examination, right hydropneumothorax was identified. Two months prior, another episode of chest pain was followed by spontaneous pneumothorax and pleural effusion. The patient was referred to our institution and hospitalized for diagnostic examination. The results of laboratory tests were normal. A chest X-ray showed right hydropneumothorax.

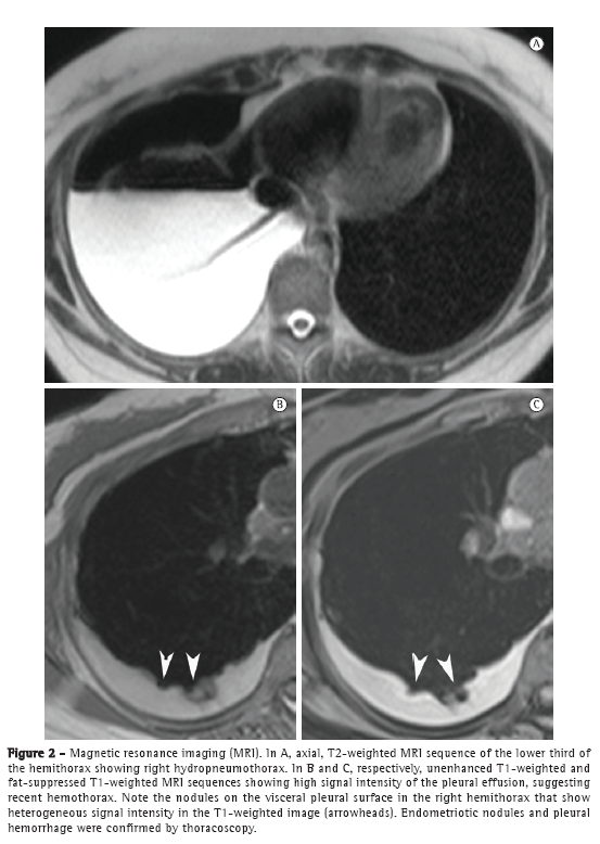
The patient underwent CT, which revealed right hydropneumothorax without focal lesions. On MRI scans of the chest, T1- and T2-weighted sequences showed right hydropneumothorax with hyperintense small nodular lesions (Figure 2), which are suggestive of endometriomas.



Thoracocentesis revealed hemorrhagic fluid. The examination was negative for mycobacteria, fungi, and malignancy. The patient underwent VATS, which revealed dark lesions throughout the pleura. The lesions were biopsied, and the histopathological analysis indicated pleural endometriosis. Pleurodesis with tetracycline was performed, and the menstruation of the patient was suppressed with oral contraceptives. At this writing, the patient was under outpatient follow-up treatment and remained asymptomatic.

Discussion

The diagnosis of thoracic endometriosis is usually based on clinical data and is confirmed by the histopathological examination of resected specimens.(2) Thoracic endometriosis, manifesting most frequently as CP,(4) is more common in the third and fourth decades of life. In almost all cases, CP is unilateral and right-sided, although it can also affect the left lung or be bilateral.(4,6) Most patients experience chest pain and dyspnea, and many have a known history of pelvic endometriosis or infertility. The diagnosis of CP should be suspected when the recurrence of pneumothorax coincides with the menstrual period.(6) Other less common findings include hemoptysis and hemothorax.(4,6)

Pathologically, thoracic endometriosis is defined by the presence of morphologically normal endometrial tissue within the thoracic cavity. Regardless of the site, endometriotic foci consist of stroma and glands in variable proportions; the glands are often dilated and are lined with epithelium, the form of which typically ranges from pseudostratified cuboidal to cylindrical.(4)

In recent years, MRI of the chest has progressed markedly. Because of improvements in speed and image quality, MRI is now ready for routine clinical use.(7-9) In both of the cases presented here, chest MRI revealed hydropneumothorax and well-defined, rounded nodules on the pleural surface in the right hemithorax. In Case 1, the pleural effusion had intermediate signal intensity on T1-weighted images, suggesting high protein content, probably related to hemorrhagic products. In Case 2, the pleural effusion had high signal intensity, suggesting recent hemothorax. The pleural nodules observed in Case 1 showed homogeneously high signal intensity on fat-suppressed T1-weighted images and restricted diffusion on diffusion-weighted imaging (DWI). In Case 2, the nodules showed heterogeneous signal intensity on T1- and T2-weighted images, without diffusion restriction. As in pelvic endometriosis,(1,10) pleural nodules of thoracic endometriosis might show different signal intensity on T1- and T2-weighted images, as well as variable diffusion restriction, depending on the age of the lesion.

Some previous reports have compared MRI findings with CT findings in cases of CP.(6,11) Our data corroborate the results of those studies by demonstrating that MRI is more accurate than is CT in the detection of CP. However, to our knowledge, there have been no reports discussing the MRI signal characteristics of hemorrhage in the pleural spaces. The MRI signal intensity of hemorrhage was first described in brain tissues; however, we can extrapolate some physical aspects of the interaction between hemoglobin and magnetic field from brain tissue to pleural tissue.(12) The MRI signal of hemorrhagic tissues depends on the chemical state of iron atoms in the hemoglobin molecules and on the integrity of erythrocyte membranes.(10) Iron can be diamagnetic or paramagnetic, depending on the state of its outer electron orbitals. Paramagnetic iron alters T1 and T2 relaxation times of water protons through magnetic dipole-dipole interactions and susceptibility effects.(12,13) Dipole-dipole interactions shorten both T1 and T2 relaxation times, but have a greater effect on those of T1-weighted sequences.(13) Our data suggest that pleural lesions exhibiting hyperintensity on T1-weighted sequences represent these hemorrhagic interactions. These findings might be useful for the diagnosis and differential diagnosis of CP. A susceptibility effect is present when iron atoms are compartmentalized within the erythrocyte membrane, causing magnetic field heterogeneity with a resulting loss of phase coherence and selective shortening of the T2 relaxation time.(12,13) Iron becomes more homogenously distributed after the degradation of erythrocyte membranes, and this effect is nullified.(12,13) Our findings probably represent that phase of hemoglobin degradation.

One of the most rapidly evolving techniques in the MRI field is DWI. This method explores the random diffusional motion of water molecules, which has intriguing properties depending on the physiological and anatomical environment of the organism studied. Although DWI has been applied in the study of pelvic endometriosis, there have as yet been no significant results.(1,10) However, our findings demonstrate that DWI might be useful for the detection of small endometriomas in pleural endometriosis.

In conclusion, pleural endometriosis usually presents with hydropneumothorax on chest X-rays or CT scans. In addition to the identification of hydropneumothorax, T1- and T2-weighted MRI sequences can be used in order to identify endometriomas presenting as hyperintense nodules. In some cases, the restriction of diffusion visible on DWI could also be useful for the detection of small endometriomas. Pleural effusion might also show signal hyperintensity on T1-weighted MRI sequences. These findings are probably due to the blood component of the lesions. Therefore, MRI is a good option for the characterization of pleural endometriotic nodules and hemorrhagic pleural effusion.


References


1. Coutinho A Jr, Bittencourt LK, Pires CE, Junqueira F, Lima CM, Coutinho E, et al. MR imaging in deep pelvic endometriosis: a pictorial essay. Radiographics. 2011;31(2):549-67. PMid:21415196. http://dx.doi.org/10.1148/rg.312105144

2. Haruki T, Fujioka S, Adachi Y, Miwa K, Taniguchi Y, Nakamura H. Successful video-assisted thoracic surgery for pulmonary endometriosis: Report of a case. Surg Today. 2007;37(2):141-4. PMid:17243034. http://dx.doi.org/10.1007/s00595-006-3360-0

3. Alifano M, Legras A, Rousset-Jablonski C, Bobbio A, Magdeleinat P, Damotte D, et al. Pneumothorax recurrence after surgery in women: clinicopathologic characteristics and management. Ann Thorac Surg. 2011(1);92:322-6 PMid:21718864. http://dx.doi.org/10.1016/j.athoracsur.2011.03.083

4. Alifano M. Catamenial pneumothorax. Curr Opin Pulm Med. 2010;16(4):381-6. PMid:20473170. http://dx.doi.org/10.1097/MCP.0b013e32833a9fc2

5. Makhija Z, Marrinan M. A case of catamenial pneumothorax with diaphragmatic fenestrations. J Emerg Med. 2012;43(1):e1-3. PMid:19682826. http://dx.doi.org/10.1016/j.jemermed.2009.05.023

6. Ciudad MJ, Santamaría N, Bustos A, Ferreirós J, Cabeza B, Gómez A. Imaging findings in catamenial pneumothorax [Article in Spanish]. Radiologia. 2007;49(4):263-7. http://dx.doi.org/10.1016/S0033-8338(07)73768-2

7. Hochhegger B, Irion K, Marchiori E. Whole-body magnetic resonance imaging: a viable alternative to positron emission tomography/CT in the evaluation of neoplastic diseases. J Bras Pneumol 2010;36(3):396. PMid:20625681. http://dx.doi.org/10.1590/S1806-37132010000300021

8. Santos MK, Elias J Jr, Mauad FM, Muglia VF, Trad CS. Magnetic resonance imaging of the chest: current and new applications, with an emphasis on pulmonology. J Bras Pneumol. 2011;37(2):242-58. PMid:21537662. http://dx.doi.org/10.1590/S1806-37132011000200016

9. Hochhegger B, Marchiori E, Irion K, Souza AS Jr, Volkart J, Rubin AS. Magnetic resonance of the lung: a step forward in the study of lung disease. J Bras Pneumol. 2012;38(1):105-15. PMid:22407047. http://dx.doi.org/10.1590/S1806-37132012000100015

10. Busard MP, Mijatovic V, van Kuijk C, Pieters-van den Bos IC, Hompes PG, van Waesberghe JH. Magnetic resonance imaging in the evaluation of (deep infiltrating) endometriosis: the value of diffusion-weighted imaging. J Magn Reson Imaging. 2010;32(4):1003-9. PMid:20882634. http://dx.doi.org/10.1002/jmri.22310

11. Picozzi G, Beccani D, Innocenti F, Grazzini M, Mascalchi M. MRI features of pleural endometriosis after catamenial haemothorax. Thorax. 2007;62(8):744. PMid:17687105 PMCid:2117275. http://dx.doi.org/10.1136/thx.2006.071415

12. Atlas SW, Thulborn KR. Intracranial hemorrhage. In: Atlas SW, editor. Magnetic resonance imaging of the brain and spine. 3rd ed. Philadelphia: Lippincott Williams  Wilkins; 2002: p.773-832.

13. Gomori JM, Grossman RI, Goldberg HI, Zimmerman RA, Bilaniuk LT. Intracranial hematomas: imaging by high-field MR. Radiology 1985;157(1):87-93. PMid:4034983.




* Study carried out in the Department of Radiology, Federal University of Rio de Janeiro, Rio de Janeiro, Brazil.
Correspondence to: Edson Marchiori. Rua Thomaz Cameron, 438, Valparaíso, CEP 25685-120, Petrópolis, RJ, Brasil.
Tel. 55 24 2249-2777. Fax: 55 21 2629-9017. E-mail: edmarchiori@gmail.com
Financial support: None.
Submitted: 7 July 2012. Accepted, after review: 31 August 2012.
**A versão completa em português deste artigo está disponível em www.jornaldepneumologia.com.br




About the authors

Edson Marchiori
Associate Professor. Department of Radiology, Federal University of Rio de Janeiro, Rio de Janeiro, Brazil.

Gláucia Zanetti
Professor of Clinical Medicine. Petrópolis School of Medicine, Petrópolis, Brazil.

Rosana Souza Rodrigues
Radiologist. Federal University of Rio de Janeiro and D'Or Research and Education Institute, Rio de Janeiro, Brazil.

Luciana Soares Souza
Radiologist. Clínica Ultra X, São José do Rio Preto, Brazil.

Arthur Soares Souza Jr
Professor. São José do Rio Preto School of Medicine; and Radiologist. Clínica Ultra X, São José do Rio Preto, Brazil.

Flávia Angélica Ferreira Francisco
Resident in Radiology. Federal University of Rio de Janeiro, Rio de Janeiro, Brazil.

Bruno Hochhegger
Thoracic Radiologist. Santa Casa Hospital Complex in Porto Alegre, Porto Alegre, Brazil.

Indexes

Development by:

© All rights reserved 2025 - Jornal Brasileiro de Pneumologia