Continuous and bimonthly publication
ISSN (on-line): 1806-3756

Licença Creative Commons
18440
Views
Back to summary
Open Access Peer-Reviewed
Original Article

Alterações tomográficas pulmonares em mulheres não fumantes com DPOC porexposição à fumaça da combustão de lenha

Pulmonary changes on HRCT scans in nonsmoking females with COPD due to wood smokeexposure

Maria Auxiliadora Carmo Moreira, Maria Alves Barbosa, Maria Conceição de Castro AntonelliMonteiro de Queiroz, Kim Ir Sen Santos Teixeira, Pedro Paulo Teixeira e Silva Torres,Pedro José de Santana Júnior, Marcelo Eustáquio Montadon Júnior, José Roberto Jardim

ABSTRACT

Objective: To identify and characterize alterations seen on HRCT scans in nonsmoking females with COPD due to wood smoke exposure. Methods: We evaluated 42 nonsmoking females diagnosed with wood smoke-related COPD and 31 nonsmoking controls with no history of wood smoke exposure or pulmonary disease. The participants completed a questionnaire regarding demographic data, symptoms, and environmental exposure. All of the participants underwent spirometry and HRCT of the chest. The COPD and control groups were adjusted for age (23 patients each). Results: Most of the patients in the study group were diagnosed with mild to moderate COPD (83.3%). The most common findings on HRCT scans in the COPD group were bronchial wall thickening, bronchiectasis, mosaic perfusion pattern, parenchymal bands, tree-in-bud pattern, and laminar atelectasis (p < 0.001 vs. the control group for all). The alterations were generally mild and not extensive. There was a positive association between bronchial wall thickening and hour-years of wood smoke exposure. Centrilobular emphysema was uncommon, and its occurrence did not differ between the groups (p = 0.232). Conclusions: Wood smoke exposure causes predominantly bronchial changes, which can be detected by HRCT, even in patients with mild COPD.

RESUMO

Objetivo: Identificar e caracterizar alterações na TCAR de tórax em mulheres com DPOC causada por exposição à fumaça da combustão de lenha. Métodos: Foram selecionadas 42 pacientes com DPOC relacionada à exposição à fumaça de lenha, não fumantes, e 31 mulheres não fumantes e sem história de exposição à fumaça de lenha ou de doença pulmonar. Empregou-se um questionário para a obtenção de dados demográficos e informações sobre sintomas e exposições ambientais. Todas as participantes realizaram espirometria e TCAR de tórax. Os grupos DPOC e controle foram ajustados por idade, com 23 pacientes cada. Resultados: A maioria das pacientes do grupo de estudo apresentava DPOC de leve a moderado (83,3%). Os achados de TCAR mais frequentes no grupo DPOC foram espessamento das paredes brônquicas, bronquiectasias, perfusão em mosaico, bandas parenquimatosas, padrão de árvore em brotamento e atelectasias laminares (p < 0,001 para todos na comparação com o grupo controle). As alterações, em geral, foram leves e de pequena extensão. Houve uma associação positiva entre espessamento das paredes brônquicas e duração da exposição à fumaça de lenha em horas-ano. O achado de enfisema centrolobular foi infrequente e não diferiu entre os grupos (p = 0,232). Conclusões: A exposição à fumaça de lenha provoca alterações predominantemente brônquicas, que podem ser detectadas por TCAR, mesmo nos casos de DPOC leve.

Palavras-chave: Biomassa; Fumaça; Tomografia computadorizada por raios X; Doença pulmonar obstrutiva crônica.

Introdução

Nos países em desenvolvimento, a biomassa ainda é muito utilizada como combustível para o aquecimento de ambientes e a cocção de alimentos. Estima-se que metade da população mundial utilize esse combustível, que consiste de madeira não processada (lenha) ou processada (carvão vegetal), excremento de animais e resíduos de lavoura.(1)

Há inúmeros relatos sobre a expressiva prevalência de DPOC e de um aumento significativo do risco para essa doença em mulheres expostas à fumaça de biomassa.(2) Estima-se que 25-45% dos pacientes com DPOC nunca fumaram.(3) Sabe-se, também, que cerca de 3 bilhões de pessoas estão expostas à fumaça de combustão de biomassa, número significativamente maior que os 1,01 bilhão de pessoas expostas à fumaça de tabaco.(3)

Há um crescente interesse em conhecer melhor as alterações estruturais decorrentes da inalação da fumaça de biomassa para que se possa entender melhor a fisiopatologia da doença pulmonar obstrutiva relacionada a essa inalação.(4) Em uma revisão de publicações sobre alterações pulmonares, avaliadas por TCAR e causadas por exposição à fumaça de biomassa, encontrou-se apenas dez estudos.(5-14) Entretanto, nove deles estão relacionados ao uso da associação de tipos de biomassa (esterco de animais, restos de lavoura e lenha), e apenas um deles relata a exposição, somente à fumaça de lenha, de 12 mulheres.(9) Essa heterogeneidade de fontes para a fumaça inalada torna difícil a comparação dos sujeitos estudados. É descrito que os indivíduos que inalam fumaça de lenha têm uma maior frequência de lesões brônquicas, enquanto os fumantes de cigarro apresentam mais frequentemente lesões que acometem os alvéolos.(9) No entanto, até onde sabemos, não há nenhum estudo tomográfico de lesões pulmonares em pessoas expostas à fumaça de lenha, portadoras de DPOC, cujos achados tenham sido comparados aos de um grupo controle de mulheres não tabagistas e não expostas à fumaça de biomassa.

O presente estudo teve como objetivo identificar e caracterizar alterações na TCAR em mulheres com diagnóstico de DPOC devido à exposição prolongada à fumaça da combustão de lenha durante a cocção de alimentos.

Métodos

O presente estudo foi realizado na região central do Brasil entre 2008 e 2011. Os critérios de inclusão para o grupo com DPOC foram ter idade ≥ 40 anos, ter exposição à fumaça de lenha ≥ 80 h-ano por no mínimo 10 anos, não ser fumante e ter diagnóstico clínico e espirométrico de DPOC. Os critérios de inclusão para o grupo controle foram ter idade ≥ 40 anos, ser residente em região urbana, não ser fumante, não ter história de exposição à fumaça da combustão de lenha e apresentar espirometria normal. Todas as mulheres assinaram o termo de consentimento informado. Foram critérios de exclusão para ambos os grupos apresentar avaliação clínica por pneumologistas, realizada no estudo ou contida no prontuário, que sugerisse história de asma, rinite ou de qualquer doença extrapulmonar que pudesse interferir na função pulmonar e apresentar resposta à prova broncodilatadora, com aumento do VEF1 ≥ 12% e 200 mL.(15)

Utilizou-se um questionário anteriormente usado em um estudo populacional no Brasil,(16) em versão reduzida, para a coleta de dados demográficos e clínicos: sintomas respiratórios (tosse, catarro, chiado e dispneia); duração em anos e em horas diárias de exposição à fumaça de lenha; duração em anos de exposição passiva ao tabaco por convivência domiciliar com fumantes; e duração em anos em domicílio rural. O grau de dispneia foi quantificado pela escala do Medical Research Council (MRC).(17)

A exposição cumulativa à fumaça de lenha foi expressa em h-anos (produto do número de anos cozinhando com fogão à lenha, multiplicado pelo número médio de horas que a participante relatava permanecer, diariamente, nessa atividade). O critério de exposição à fumaça de lenha ≥ 80 h-anos com exposição mínima de 10 anos baseou-se nos níveis de exposição considerados significativos em estudos semelhantes.(18)

Obteve-se por espirometria, antes e após o uso de broncodilatador (salbutamol, 400 µg), medidas de CVF, VEF1 e da relação VEF1/CVF. Foram considerados critérios de diagnóstico de DPOC pacientes com idade ≥ 40 anos; relação VEF1/CVF < limite inferior da normalidade e < 0,70(19,20); exposição à fumaça de fogão à lenha; e história de dispneia e/ou tosse crônicas, excluindo-se outras causas para esses sintomas.

A classificação espirométrica da DPOC foi baseada nas diretrizes do Global Initiative for Chronic Obstructive Lung Disease.(20)

Os testes de função pulmonar foram realizados segundo as diretrizes da Sociedade Brasileira de Pneumologia e Tisiologia.(21) Os valores previstos utilizados foram os de Pereira et al.(22)

Na análise das TCAR, foram utilizados descritores e padrões de lesão estabelecidos pelo Consenso Brasileiro da Sociedade Brasileira de Pneumologia e Tisiologia em 2010.(23) Para a localização das alterações, foi utilizado o seguinte critério: campos superiores - dos ápices à carina; campos médios - da carina à valva mitral; e campos inferiores - da valva mitral à base do tórax. O grau de comprometimento pulmonar foi avaliado pelo número de lobos pulmonares acometidos, para as seguintes alterações: bandas parenquimatosas, perfusão em mosaico, atelectasias, padrão de árvore em brotamento e bronquiectasia de tração. O grau de espessamento das paredes brônquicas foi classificado como grau 1 - até 20% do diâmetro da artéria pulmonar adjacente; grau 2 - maior que 20% e menor que 50% do diâmetro da artéria pulmonar adjacente; e grau 3 - entre 50% e 100% do diâmetro da artéria pulmonar adjacente. Para a descrição de bronquiectasias, utilizou-se a seguinte graduação: grau 1 - relação entre o diâmetro interno do brônquio e a artéria adjacente de 0,7-1,0; grau 2 - diâmetro interno do brônquio aumentado, mas inferior a duas vezes o da artéria adjacente; e grau 3 - diâmetro interno do brônquio aumentado maior que duas vezes o da artéria adjacente. O enfisema centrilobular foi graduado em ausente; áreas menores que 5 mm; áreas > 5 mm; áreas difusas de baixa atenuação sem pulmão normal interposto; e grandes áreas de baixa atenuação confluentes.(24,25)

As TCAR foram realizadas utilizando-se um dos seguintes equipamentos: Somaton EmotionT 6 (Siemens, Munique, Alemanha) ou AquilionT 16 (Toshiba, Tóquio, Japão). As imagens foram obtidas em inspiração máxima com 1 mm de colimação, 125 kV e 160 mA, com tempo de aquisição de 0,75 segundos. Os intervalos entre as imagens foram de 10 mm, com o paciente em posição supina. As imagens foram reconstruídas utilizando-se um algoritmo de alta resolução, com matriz de 512 × 512. Foram disponibilizadas para a análise imagens em janelas de pulmão e de mediastino. Não foi utilizado contraste.

As imagens foram analisadas por três radiologistas (um radiologista geral, com 35 anos de experiência, e dois radiologistas torácicos, com 2 anos e 12 anos de experiência, respectivamente) de maneira independente. Nos casos de discordância, o resultado foi fornecido por consenso.(25) Todas as imagens foram avaliadas em formato Digital Imaging and Communications in Medicine. Os radiologistas não tinham informações sobre o diagnóstico clinico das participantes do estudo ou sobre a existência de fatores de risco para DPOC. Sabiam que se tratava de um estudo para a avaliação de mulheres com exposição à fumaça de lenha.

Para a análise estatística, foi utilizado o programa Statistical Package for the Social Sciences, versão 15.0 (SPSS Inc., Chicago, IL, EUA). Utilizou-se o teste t de Student para a comparação dos grupos em relação às variáveis quantitativas com distribuição normal ou o teste U de Mann-Whitney para as variáveis sem distribuição normal. Os testes do qui-quadrado e exato de Fisher foram utilizados para comparar as frequências de variáveis qualitativas e o cálculo do risco que a variável independente representou. Pela análise de regressão logística, analisou-se a associação entre alterações tomográficas e outras variáveis. Utilizou-se o teste de Pearson para detectar correlações entre variáveis de distribuição normal. Para equilibrar a amostra quanto à idade, realizou-se um pareamento das participantes dos grupos DPOC e controle. Foram excluídas as participantes mais e menos idosas dos grupos. O odds ratio foi estimado para um intervalo de confiança de 95%, e valores p < 0,05 foram considerados significativos.

O estudo foi aprovado pelo Comitê de Ética em Pesquisa do Hospital das Clínicas da Universidade Federal de Goiás, em 04/04/2008 e 21/09/2010 (Emenda 1), sob o registro N° 018/08.

Resultados

Nos grupos DPOC e controle, respectivamente, foram incluídas 42 e 31 mulheres. Houve uma grande dificuldade para recrutar as participantes na região onde o estudo foi realizado, principalmente mulheres idosas que nunca haviam cozinhado em fogão à lenha.

As participantes foram recrutadas em sequência, em dois centros de saúde onde eram atendidas em ambulatórios de clínica geral e no ambulatório de ginecologia de um hospital universitário, assim como entre pacientes sem diagnóstico prévio confirmado de doença respiratória que procuraram o mesmo hospital para realizarem espirometria. As mulheres do grupo controle foram selecionadas de um grupo de integrantes de uma universidade aberta da terceira idade.

As mulheres do grupo DPOC tinham uma média de idade maior que a do grupo controle (70,8 ± 8,5 anos vs. 58,9 ± 7,2 anos; p < 0,001), além de maior média de duração, em anos, de moradia na área rural (40,7 ± 17,7 anos vs. 3,61 ± 5,1 anos; p = 0,001). As mulheres com DPOC eram procedentes da zona rural e trabalhavam predominantemente em serviços domésticos, tendo atividades esporádicas nas lavouras de grãos. Não houve diferença estatisticamente significante entre os grupos DPOC e controle quanto à média de tempo de exposição passiva à fumaça de tabaco (20,6 ± 18,0 anos vs. 29,2 ± 21,0 anos; p = 0,70; Tabela 1).



A maioria das pacientes com DPOC apresentava um ou mais dos seguintes sintomas respiratórios: tosse, expectoração, chiado e dispneia. A queixa mais frequente foi dispneia (Tabela 1), com escore na escala do Medical Research Council de grau 1 e 2, em 75% dos casos, e de grau 3 e 4, em 25%.

O grupo DPOC apresentava limitação leve a moderada ao fluxo aéreo na espirometria; nenhuma paciente apresentava distúrbio obstrutivo grave (Tabela 1).

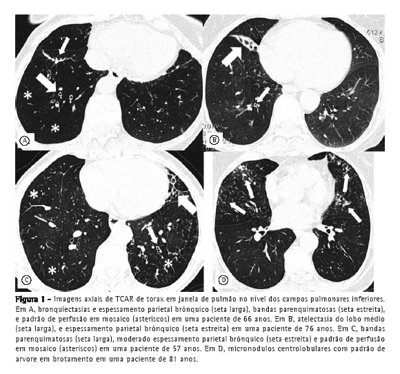
As mulheres com DPOC apresentavam, com maior frequência e diferenças estatisticamente significantes, as seguintes alterações tomográficas: bronquiectasias, padrão de perfusão em mosaico, atelectasia linear (lobar em uma paciente) e padrão de árvore em brotamento. Não foi identificado enfisema panlobular. As lesões predominaram nos lobos inferiores (Tabela 2 e Figura 1).





No grupo DPOC, foram encontradas associações estatisticamente significantes entre espessamento de paredes brônquicas e queixa de tosse (p = 0,013; OR = 6,13; IC95%: 1,46-25,73) e entre espessamento de paredes brônquicas e duração da exposição à fumaça de lenha em h-anos (p = 0,018; OR = 1,01; IC95%: 1,01-1,02). Houve também associações significantes entre enfisema centrolobular e duração do tabagismo passivo (p = 0,033; OR =1,08; IC95%: 1,01-1,16), e entre perfusão em mosaico e menores valores de VEF1 (p = 0,009; OR = 0,93; IC95%: 0,89-0,98).

Para evitar vieses por possíveis alterações estruturais pulmonares que ocorrem com o envelhecimento, foi realizado em um segundo momento o reagrupamento das participantes do estudo com pareamento por idade. Obtiveram-se, assim, dois grupos, com 23 pacientes pareadas por idade em cada grupo (Tabela 3).



Após o pareamento, o grupo DPOC apresentou as seguintes alterações tomográficas com diferenças estatisticamente significantes em relação ao grupo controle: bandas parenquimatosas, espessamento das paredes brônquicas, bronquiectasias, perfusão em mosaico e atelectasias laminares. Essas alterações predominaram nos campos pulmonares inferiores, com distribuição no campo inferior, em 76,6%; no campo médio, em 15,6%; e no campo superior, em 7,8%. (Tabela 4).



As imagens nodulares, observadas em igual proporção nos grupos DPOC e controle, foram, em sua maioria, micronódulos e nódulos calcificados.

Discussão

O presente estudo sobre aspectos na TCAR do tórax em mulheres com DPOC expostas à fumaça de lenha mostrou que as lesões tomográficas foram significantemente mais acentuadas nessas do que naquelas do grupo controle, sem exposição à fumaça de lenha. As alterações encontradas, com maior frequência e diferenças estatisticamente significantes, foram bandas parenquimatosas, espessamento das paredes brônquicas, bronquiectasias, padrão de atenuação em mosaico e atelectasia linear.

É conhecido que a combustão de lenha produz várias substâncias lesivas aos pulmões, incluindo monóxido de carbono, óxido de nitrogênio, material particulado, hidrocarbonetos aromáticos policíclicos e formaldeídos, substâncias também presentes no cigarro e, portanto, potencialmente capazes de causar alterações semelhantes às provocadas pelo tabagismo.(26)

O achado mais frequente do presente estudo foram as bandas parenquimatosas, que são alterações indicativas de fibrose parenquimatosa.(23) Essas alterações têm sido associadas à exposição à fumaça de biomassa e lenha em estudos anatomopatológicos e tomográficos, que sugerem corresponder a um comprometimento intersticial inicial.(5,6)

Embora áreas de considerável comprometimento intersticial não tenham sido encontradas no presente estudo, essas já foram descritas em outros três estudos.(5-7) Descreveram-se bandas parenquimatosas e opacidades em vidro fosco, sendo que, em um dos estudos, com considerável frequência.(6) Essas opacidades, que não foram encontradas no presente estudo, estão associadas ao espessamento intersticial e ao colapso alveolar. (23) No entanto, nos estudos citados,(5-7) as mulheres foram expostas à biomassa mista, que inclui esterco de animais e lenha. A combustão de esterco de animais gera mais poluentes do que à de lenha, estando em uma posição inferior na escala energética por ser menos eficiente e mais poluente.(27) Diferenças no tipo de biomassa empregada e na finalidade para a qual é utilizada podem explicar esse resultado divergente entre os estudos.

O espessamento das paredes brônquicas foi a segunda alteração mais frequente, persistindo após o ajustamento da idade, o que mostra que esse achado não estava relacionado ao envelhecimento.

O achado de bronquiectasias tem sido citado em todos os estudos referentes à exposição à fumaça de biomassa(5-7) e foi o quarto tipo de lesão mais prevalente, no presente estudo, sendo descrita em 54,8% das pacientes expostas à fumaça de lenha contra 12,5% das do grupo controle. Mesmo quando o grupo foi ajustado por idade, as bronquiectasias foram significativamente mais presentes no grupo exposto à fumaça de lenha, demonstrando que essas lesões não são decorrentes do envelhecimento pulmonar. As bronquiectasias se distribuíram homogeneamente nos pulmões e predominaram nos lobos inferiores, de forma distinta de quando essas são decorrentes de alguma doença específica pois, nesses casos, as bronquiectasias tendem a se acumular em alguma área localizada do pulmão.

A perfusão em mosaico, que tem sido descrita como uma expressão tomográfica de doença pulmonar obstrutiva,(23) foi encontrada em quase a metade das pacientes com DPOC e mostrou-se independente da idade.

No presente estudo, as atelectasias foram observadas somente no grupo DPOC, persistindo após o pareamento por idade. A presença de antracose endobrônquica que ocasiona atelectasias foi relatada em mulheres com exposição à fumaça de biomassa.(28)

Um estudo em mulheres expostas à fumaça de lenha encontrou "pseudoenfisema" e hiperinsuflação em avaliações tomográficas, e foi sugerido que essas alterações foram devidas ao acentuado comprometimento brônquico, uma vez que não se encontrou alterações na retração elástica pulmonar, que é o padrão no enfisema.(9) O enfisema não é um achado habitual em indivíduos expostos à fumaça de biomassa e, quando identificado, é geralmente menos acentuado do que o observado na DPOC relacionada ao tabaco.(9)

No presente estudo, foi observado enfisema centrolobular, o qual teve associação positiva com a duração do tabagismo passivo. Apesar de fraca, essa associação sugere uma contribuição do tabagismo passivo para o desenvolvimento de enfisema. Outro dado relevante do presente estudo foi o encontro da associação entre espessamento das paredes brônquicas e queixa de tosse crônica. Encontramos uma associação positiva, embora fraca, entre o espessamento da parede brônquica e a duração da exposição à fumaça de biomassa, o que ainda não havia sido relatado na literatura; já fora descrita a associação entre comprometimento funcional obstrutivo e duração da exposição à fumaça de biomassa.(6)

Foi observada uma associação entre perfusão em mosaico, que é sugestiva de doença pulmonar obstrutiva,(23) e menores valores de VEF1 e de relação VEF1/CVF.

Alterações tomográficas, principalmente brônquicas, relacionadas ao envelhecimento já foram descritas em indivíduos acima de 65 anos de idade, independentemente da história tabágica. (26) Entretanto, mesmo após o ajuste por idade, persistiu a diferença na frequência de alterações no grupo DPOC, com exceção do padrão em árvore em brotamento, demonstrando que as alterações anteriormente descritas no grupo DPOC não estavam relacionadas ao envelhecimento, mas à exposição à fumaça de lenha.

Um estudo relacionou diversos fenótipos de DPOC com achados tomográficos.(29) Um desses fenótipos, relatado em não fumantes, inclui enfisema pouco significativo, espessamento de paredes brônquicas, leve hiperinsuflação e altos valores no índice de massa corpórea. Esse fenótipo coincide, em parte, com o do presente estudo.

A maioria das pacientes do presente estudo tinha DPOC de grau leve a moderado, o que poderia, em parte, explicar a menor intensidade das alterações tomográficas, o que também ocorre em pacientes com DPOC relacionada ao uso de tabaco.(4)

Observou-se fibrose apical/cicatriz pleural na mesma proporção nos grupos DPOC e controle, assim como padrão em árvore em brotamento em algumas participantes do estudo de ambos os grupos. Essas alterações poderiam estar relacionadas a tuberculose pulmonar ou bronquite infecciosa; todavia, nenhuma das mulheres relatara tuberculose no passado, e nenhuma delas apresentava um quadro clínico sugestivo de tuberculose em atividade ou infecção brônquica.

O presente estudo possui limitações. Alguns dados foram coletados por meio de um questionário, que dependem da capacidade de memorização dos participantes. Esse problema é atenuado pelo fato de esse questionário já ter sido anteriormente utilizado no Brasil e de os entrevistadores terem sido treinados amplamente para obter informações usando referências objetivas da vida das participantes. Outra limitação foi a falta da medição objetiva do grau de poluição no local em que moravam as mulheres usuárias de fogão à lenha. Por fim, não foram realizados cortes tomográficos em expiração, o que facilitaria a visualização de anormalidades nas pequenas vias aéreas. Contudo, a avaliação individual e cega, seguida pelo consenso entre os três radiologistas experientes, provavelmente minimizou essa limitação.

Os pontos relevantes do presente estudo foram a realização de espirometria em todas as pacientes e controles; a coleta de dados excluindo outros tipos de exposições além da fumaça de lenha; e a delimitação, para a inclusão no estudo, de um valor mínimo de intensidade de exposição à fumaça da combustão de lenha. Ressaltamos como relevante, também, que não encontramos, na literatura pesquisada, estudos similares ao nosso, no qual foi avaliado um grupo controle não tabagista e não exposto à fumaça de biomassa, com ajuste por idade, descrevendo os efeitos pulmonares exclusivos da fumaça de lenha por meio de TCAR em pacientes com DPOC não tabagistas.

Pode-se concluir que a inalação de fumaça de lenha causa lesões pulmonares predominantemente nas vias aéreas, as quais podem ser detectadas por TCAR, mesmo em pacientes com DPOC leve e moderada. Esse achado é importante, pois demonstra que pessoas com exposição à fumaça de lenha, mesmo que ainda pouco sintomáticas, já podem ter alterações pulmonares e devem ser tratadas precocemente.

Referências

1. Desai MA, Mehta S, Smith KR. Indoor Smoke from Solid Fuels: Assessing the Environmental Burden of Disease at National and Local Levels. Geneva: Protection of the Human Environment, World Health Organization; 2004.

2. Torres-Duque C, Maldonado D, Pérez-Padilla R, Ezzati M, Viegi G; Forum of International Respiratory Studies (FIRS) Task Force on Health Effects of Biomass Exposure. Biomass fuels and respiratory diseases: a review of the evidence. Proc Am Thorac Soc. 2008;5(5):577-90.

3. Salvi S, Barnes PJ. Is exposure to biomass smoke the biggest risk factor for COPD globally? Chest. 2010;138(1):3-6.

4. Gupta PP, Yadav R, Verma M, Agarwal D, Kumar M. Correlation between high-resolution computed tomography features and patients' characteristics in chronic obstructive pulmonary disease. Ann Thorac Med. 2008;3(3):87-93.

5. Arslan M, Akkurt I, Egilmez H, Atalar M, Salk I. Biomass exposure and the high resolution computed tomographic and spirometric findings. Eur J Radiol. 2004;52(2):192-9.

6. Kara M, Bulut S, Tas F, Akkurt I, Seyfikli Z. Evaluation of pulmonary changes due to biomass fuels using high-resolution computed tomography. Eur Radiol. 200;13(10):2372-7.

7. Ozbay B, Uzun K, Arslan H, Zehir I. Functional and radiological impairment in women highly exposed to indoor biomass fuels. Respirology. 2001;6(3):255-8.

8. Amoli K. Bronchopulmonary disease in Iranian housewives chronically exposed to indoor smoke. Eur Respir J. 1998;11(3):659-63.

9. González M, Maldonado D, Pérez J, Varón H. Pseudophysiologic emphysema in women with wood smoke COPD in Bogota (2600 m) [Article in Spanish] Arch Bronconeumol. 2004;40:31.

10. Gupta A, Shah A. Bronchial anthracofibrosis: an emerging pulmonary disease due to biomass fuel exposure. Int J Tuberc Lung Dis. 2011;15(5):602-12.

11. Kim HY, Im JG, Goo JM, Kim JY, Han SK, Lee JK, Song JW. Bronchial anthracofibrosis (inflammatory bronchial stenosis with anthracotic pigmentation): CT findings. AJR Am J Roentgenol. 2000;174(2):523-7.

12. Torun T, Gungor G, Ozmen I, Maden E, Bolukbasi Y, Tahaoglu K. Bronchial anthracostenosis in patients exposed to biomass smoke. Turkish Respir J. 2007;8(2):48-51.

13. Kala J, Sahay S, Shah A. Bronchial anthracofibrosis and tuberculosis presenting as a middle lobe syndrome. Prim Care Respir J. 2008;17(1):51-5.

14. Kim YJ, Jung CY, Shin HW, Lee BK. Biomass smoke induced bronchial anthracofibrosis: presenting features and clinical course. Respir Med. 2009;103(5):757-65.

15. Pellegrino R, Viegi G, Brusasco V, Crapo RO, Burgos F, Casaburi R, et al. Interpretative strategies for lung function tests. Eur Respir J. 2005;26(5):948-68.

16. Menezes AM, Jardim JR, Pérez-Padilla R, Camelier A, Rosa F, Nascimento O, et al. Prevalence of chronic obstructive pulmonary disease and associated factors: the PLATINO Study in São Paulo, Brazil. Cad Saude Publica. 2005;21(5):1565-73.

17. Bestall JC, Paul EA, Garrod R, Garnham R, Jones PW, Wedzicha JA. Usefulness of the Medical Research Council (MRC) dyspnoea scale as a measure of disability in patients with chronic obstructive pulmonary disease. Thorax. 1999;54(7):581-6.

18. Ramírez-Venegas A, Sansores RH, Pérez-Padilla R, Regalado J, Velázquez A, Sánchez C, et al. Survival of patients with chronic obstructive pulmonary disease due to biomass smoke and tobacco. Am J Respir Crit
Care Med. 2006;173(4):393-7.

19. Vollmer WM, Gíslason T, Burney P, Enright PL, Gulsvik A, Kocabas A, et al. Comparison of spirometry criteria for the diagnosis of COPD: results from the BOLD study. Eur Respir J. 2009;34(3):588-97.

20. Global Initiative for Chronic Obstructive Disease - GOLD [homepage on the Internet]. Bethesda: Global Initiative for Chronic Obstructive Disease. [cited 2011 Mar 10]. Global Strategy for the Diagnosis, Management, and Prevention of COPD 2010. [Adobe Acrobat document, 117p.]. Available from: http://www.goldcopd.org/uploads/users/files/GOLDReport_April112011.pdf

21. Miller MR, Hankinson J, Brusasco V, Burgos F, Casaburi R, Coates A, et al. Standardisation of spirometry. Eur Respir J. 2005;26(2):319-38.

22. Pereira CA, Sato T, Rodrigues SC. New reference values for forced spirometry in white adults in Brazil. J Bras Pneumol. 2007;33(4):397-406.

23. Silva CI, Marchiori E, Souza Júnior AS, Müller NL; Comissão de Imagem da Sociedade Brasileira de Pneumologia e Tisiologia. Illustrated Brazilian consensus of terms and fundamental patterns in chest CT scans. J Bras Pneumol. 2010;36(1):99-123.

24. Copley SJ, Wells AU, Hawtin KE, Gibson DJ, Hodson JM, Jacques AE, et al. Lung morphology in the elderly: comparative CT study of subjects over 75 years old versus those under 55 years old. Radiology. 2009;251(2):566-73.

25. Roberts HR, Wells AU, Milne DG, Rubens MB, Kolbe J, Cole PJ, et al. Airflow obstruction in bronchiectasis: correlation between computed tomography features and pulmonary function tests. Thorax. 2000;55(3):198-204.

26. Vikgren J, Boijsen M, Andelid K, Ekberg-Jansson A, Larsson S, Bake B, et al. High-resolution computed tomography in healthy smokers and never-smokers: a 6-year follow-up study of men born in 1933. Acta Radiol. 2004;45(1):44-52. Erratum in: Acta Radiol. 2004;45(3):following 663.

27. Junemann A, Legarreta CG. Chronic obstructive pulmonary disease produced by biomass fuels. Clin Pulm Med. 2008;15(6):305-12.

28. González M, Páez S, Jaramillo C, Barrero M, Maldonado D. Enfermedad pulmonar obstructiva crónica (EPOC) por humo de leña en mujeres. Acta Med Colomb. 2004;29(1):17-25.

29. Kitaguchi Y, Fujimoto K, Kubo K, Honda T. Characteristics of COPD phenotypes classified according to the findings of HRCT. Respir Med. 2006;100(10):1742-52.



Trabalho realizado no Hospital das Clínicas, Faculdade de Medicina, Universidade Federal de Goiás, Goiânia (GO) Brasil.
Endereço para correspondência: Maria Auxiliadora Carmo Moreira. Hospital das Clínicas da Universidade Federal de Goiás, Faculdade de Medicina. Primeira Avenida s/n, Serviço de Pneumologia, 2º andar, Setor Universitário, CEP 74605-020, Goiânia, GO, Brasil.
Tel. 55 62 269-8385. E-mail: helpuol@uol.com.br
Apoio financeiro: Este estudo recebeu apoio financeiro parcial da Fundação de Amparo à Pesquisa do Estado de Goiás (FAPEG).
Recebido para publicação em 4/11/2012. Aprovado, após revisão, em 14/2/2013.



Sobre os autores

Maria Auxiliadora Carmo Moreira
Professora Associada. Faculdade de Medicina, Universidade Federal de Goiás, Goiânia (GO) Brasil.

Maria Alves Barbosa
Professora Titular. Faculdade de Enfermagem, Universidade Federal de Goiás, Goiânia (GO) Brasil.

Maria Conceição de Castro Antonelli Monteiro de Queiroz
Médica Assistente. Serviço de Pneumologia, Hospital das Clínicas, Faculdade de Medicina, Universidade Federal de Goiás, Goiânia (GO) Brasil.

Kim Ir Sen Santos Teixeira
Professor Adjunto. Departamento de Imagenologia e Patologia, Faculdade de Medicina, Universidade Federal de Goiás, Goiânia (GO) Brasil.

Pedro Paulo Teixeira e Silva Torres
Professor Substituto. Departamento de Imagenologia e Patologia, Faculdade de Medicina, Universidade Federal de Goiás, Goiânia
(GO) Brasil.

Pedro José de Santana Júnior
Médico Radiologista Voluntário. Departamento de Imagenologia e Patologia, Faculdade de Medicina, Universidade Federal de
Goiás, Goiânia (GO) Brasil.

Marcelo Eustáquio Montadon Júnior
Médico Radiologista. Clínica Multimagem Diagnósticos, Goiânia (GO) Brasil.

José Roberto Jardim
Professor Livre-Docente. Escola Paulista de Medicina, Universidade Federal de São Paulo, São Paulo (SP) Brasil.

Indexes

Development by:

© All rights reserved 2025 - Jornal Brasileiro de Pneumologia