Continuous and bimonthly publication
ISSN (on-line): 1806-3756

Licença Creative Commons
15571
Views
Back to summary
Open Access Peer-Reviewed
Case Report

Osteíte por BCG

Osteitis after BCG vaccination

André Fukunishi Yamada, Juliana Barbosa Pellegrini, Luciana Menezes Cunha, Artur da Rocha Corrêa Fernandes

ABSTRACT

The authors report the case of a 21-month-old boy with an osteolytic lesion in the proximal region of the right humerus. Based on the clinical history and histological findings, the authors suspected osteitis following BCG vaccination. Symptoms remitted after antituberculosis therapy was initiated, and the patient presented radiological improvement. The authors describe this uncommon entity in pediatric practice and call attention to possible complications of BCG vaccination.

Keywords: Infant; Osteitis; BCG vaccine; Tuberculosis.

RESUMO

Os autores relatam o caso de um menino de 1 ano e 9 meses que apresentou lesão osteolítica na região proximal do úmero direito. Com base na história clínica e em achados histológicos, os autores suspeitaram de osteíte pós-vacina BCG. Após o início do tratamento antituberculose, os sintomas desapareceram e o paciente apresentou melhora radiológica. Os autores descrevem esta entidade incomum na prática pediátrica e alertam para possíveis complicações da vacina BCG.

Palavras-chave: Lactente; Osteíte; Vacina BCG; Tuberculose.

Introdução

O Mycobacterium tuberculosis atinge os ossos durante a propagação linfo-hematológica com manifestações clínicas em apenas 1-6% dos casos.(1) Osteomielite e artrite podem ocorrer em articulações sustentadoras de peso. Joelhos, tornozelos, quadris e vértebras são as articulações mais frequentemente acometidas.

A vacina contra a TB foi obtida pela atenuação do M. bovis e, mais tarde, foi denominada bacilo Calmette-Guérin (BCG).(2,3) Trabalhos recentes utilizando PCR mostraram que o M. tuberculosis distingue-se do M. bovis por um único nucleotídeo (guanina ou citosina).(4)

Apesar da sua segurança, complicações locais e sistêmicas podem ocorrer.(5) A osteíte por BCG é uma condição rara, com incidência aproximada de 0,39/1.000.000, dependendo do bacilo utilizado.(6,7)

Vários casos de osteíte por BCG têm sido relatados na literatura internacional, sendo a maioria das publicações originárias da Finlândia, da Suécia e de países da Europa do Norte, na década de 80.(6,7)

A implantação óssea ocorre pela propagação hematogênica e linfática, sendo o local da lesão não obrigatoriamente associado com o local da aplicação da vacina.(8) Os locais mais acometidos são tíbia, fêmur, vértebras, esterno e costelas.

Por ser uma doença pouco conhecida e em virtude de sua progressão lenta com sintomas leves, a lesão óssea causada pela BCG é de difícil diagnóstico. As manifestações clínicas ocorrem geralmente 18 meses após a vacinação, mas variações entre alguns meses e até 5 anos podem ocorrer. Os sintomas iniciais são sensibilidade, dor e limitação de movimento da região afetada. A febre é baixa quando presente, não comprometendo o estado geral da criança.(4,7)

A radiografia mostra lesões líticas com halo esclerótico, reação periosteal e osteoporose periarticular.(4,9-11) O estudo histopatológico mostra inflamação granulomatosa com células epitelioides, com ou sem necrose caseosa. Bacilos álcool-ácido resistentes são detectados em cerca de metade dos casos, e a maioria apresenta reação forte para PPD.(9,12)

Alguns autores sugerem que os riscos da vacina BCG podem justificar a não aplicação da vacina em países desenvolvidos. Entretanto, em nosso país, em virtude da alta incidência de TB, as raras complicações da vacina não devem contraindicar o seu uso.(4)

O objetivo deste estudo foi relatar um caso de osteíte por BCG, alertando para a possibilidade da ocorrência desta doença rara.

Relato de caso

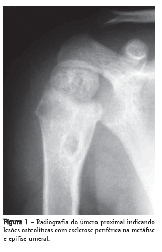
Menino de 21 meses, nascido em São Paulo, foi atendido com febre e leve comprometimento funcional do membro superior direito. A criança apresentava episódios de febre diária (acima de 38°C), predominantemente noturna. Uma semana antes da consulta, tinha iniciado com dor à palpação e à movimentação, bem como limitação de movimento do braço direito. A mãe negava história de trauma local. A radiografia do membro superior direito mostrou lesões osteolíticas na epífise e metáfise proximais umerais com bordas mal definidas, circundadas por áreas de esclerose óssea reativa, reação periosteal e aumento de partes moles (Figura 1). A ressonância magnética mostrou áreas de sinal medular anormal e edema de tecidos moles com realce pelo meio de contraste da medula infectada, sinais compatíveis com osteomielite no úmero proximal (Figura 2). O paciente recebeu cefalosporina por 10 dias em regime ambulatorial. No oitavo dia de antibioticoterapia, a criança veio a nosso serviço em virtude da febre e dor persistente.









Dados de anamnese adicionais revelaram não ter havido contato com pessoas com tosse crônica ou tuberculose pulmonar. As radiografias de tórax dos pais foram normais. A criança havia recebido a vacina BCG no período neonatal.

À admissão, a criança estava pálida, febril (38°C) e taquicárdica (100 bpm). Apresentava, ainda, comprometimento funcional e dor à palpação e à movimentação do terço proximal do membro superior direito, sem sinais inflamatórios.

Os exames subsidiários mostraram hemograma com 8.200 leucócitos (9 bastões e 66 neutrófilos); velocidade de hemossedimentação de 32 mm na primeira hora, proteína C reativa < 6,0 mg/L; sedimento urinário normal; radiografia de tórax normal; e PPD positivo reator forte, com 18 mm. A TC de úmero mostrou múltiplas lesões líticas na região proximal do úmero, envolvendo a epífise, a metáfise e a diáfise proximal, com descontinuidade cortical e edema de tecidos moles adjacentes (Figura 3).




A biópsia óssea e a drenagem de líquido da lesão revelaram um processo inflamatório granulomatoso crônico com necrose caseosa tuberculoide e cultura histológica negativa para bacilo ­álcool-ácido resistente. A PCR para M. t­uberculosis no material de biópsia foi negativa. A cintilografia óssea mostrou apenas um aumento de captação no úmero proximal. Com base nos achados histológicos, decidimos iniciar o tratamento com drogas antituberculose: rifampicina (10 mg/kg/dia), isoniazida (20 mg/kg/dia) e pirazinamida (35 mg/kg/dia).

O paciente recebeu alta no 19º dia de internação, em boas condições clínicas, sem febre ou dor. Radiografias mensais posteriores e outra TC, após 6 meses, mostraram melhora da lesão óssea com restabelecimento do contorno cortical, esclerose óssea acentuada, áreas líticas mal definidas residuais na epífise e involução do edema de tecidos moles.

A pesquisa imunológica revelou células CD4 e CD8, dosagem de Ig e subclasses de IgG normais, e sorologia para HIV negativa.

Dois meses após o início do tratamento, foi retirada a pirazinamida e foi mantida a rifampicina e a isoniazida por um período adicional de 8 meses.

Discussão

Este relato de caso descreve uma doença incomum que deve ser considerada em crianças pequenas com lesão óssea de etiologia desconhecida.(10)

A osteíte causada por BCG é raramente reconhecida na prática pediátrica, uma vez que a doença é pouco conhecida e de difícil diagnóstico.(13) Estima-se que ocorra quatro vezes mais frequentemente do que é diagnosticada.(4)

No caso descrito, o paciente apresentou sintomas como febre baixa e dor à palpação e à movimentação do braço direito. Também na literatura são geralmente relatados poucos sintomas clínicos.(4,7)

Na literatura, as extremidades inferiores são descritas como o local mais afetado, indicando que o local da osteíte nem sempre corresponde ao sítio da vacinação.(7,8) Entretanto, neste caso houve uma nítida relação do local de aplicação da vacina com o aparente envolvimento de partes moles, o que permite concluir lesão por contiguidade.

O diagnóstico de osteíte por BCG foi estabelecido de acordo com os critérios propostos por Foucard e Hjelmsted em 1971: 1) vacinação com BCG no período neonatal; 2) menos de 4 anos entre a vacinação e o início dos sintomas; 3) ausência de contato da criança com adulto com TB; 4) quadro clínico compatível; e 5) ­histopatologia sugestiva de TB.(14-16)
Lesões líticas e escleróticas ósseas com reação periosteal caracterizam as lesões radiográficas. Os achados de TC na epífise, na metáfise e na diáfise foram consistentes com a descrição prévia em pacientes jovens.

Crianças mais velhas geralmente apresentam apenas alterações metafisárias.(4)

O granuloma típico de células epitelioides com ou sem necrose caseosa é mais frequentemente associado à TB, embora também seja encontrado na lesão por BCG. Os critérios para o diagnóstico de osteíte por BCG foram propostos há vários anos por autores de países onde a incidência de TB já era mínima. No Brasil, a incidência da doença ainda é alta, o que torna importante a recuperação do BCG. Porém, o fato de não termos isolado o M. bovis na cultura não afasta o diagnóstico, pois este tem sido encontrado em cerca de metade dos casos na literatura.(4,7,8) Isto pode decorrer do fato de que o M. bovis torna-se inviável após o início da ­antibioticoterapia.(4,7,8) A PCR foi realizada para a pesquisa de M. ­tuberculosis, e esse exame poderia ter sido positivo para M. bovis caso tivesse sido feito especificamente para este.

A PCR tem sido usada para identificar o agente etiológico nestes pacientes. A diferença em um simples nucleotídeo pode distinguir o M. tuberculosis do M. bovis.(4)

A imunodepressão pode ser responsável pela eclosão desta doença. Porém, não foi identificada nenhuma imunodeficiência associada em nosso paciente. A resposta celular ao PPD também contraria esta hipótese. Este pode ser positivo nas infecções por M. tuberculosis e também por M. bovis. A imunidade humoral, pesquisada pela dosagem de Ig e de subclasses de IgG, mostrou-se normal. A deficiência de receptor para IFN-α é outra causa de imunodeficiência que não pôde ser investigada em nosso paciente.

O mais importante diagnóstico diferencial é a osteomielite por bactéria não-específica contra a qual o paciente recebeu antibioticoterapia inicialmente. A falta de resposta terapêutica ao antibiótico, bem como a presença de quadro clínico e laboratorial discreto, levaram à suspeita de osteíte por BCG.

A TB óssea é outro diagnóstico diferencial importante. A falta de contato com TB e a vacinação prévia com BCG nos 4 anos anteriores são critérios que sugerem osteíte por BCG.(14-16)

Existem muitos esquemas terapêuticos para esta condição. Um deles inclui a pirazinamida por dois meses, em combinação com a isoniazida e a rifampicina. A lesão por BCG pode ser resistente à pirazinamida.

Entretanto, essa resistência não ocorreu em nosso paciente. Nos casos de falha terapêutica, tratamentos alternativos devem ser recomendados. Embora a literatura recomende o tratamento com isoniazida e rifampicina por um ano, optamos por retirar ambos os medicamentos após 8 meses, graças à rápida melhora clínica e radiológica do paciente.(4,8,10)

À semelhança de nosso caso, a evolução a longo prazo é favorável na maioria dos pacientes.(7) O prognóstico desta doença é bom, sendo as sequelas ósseas ou o déficit de crescimento descritos em apenas 3% dos casos.(7)

Concluindo, a osteíte causada por vacinação com BCG é uma complicação rara, subestimada e difícil de ser diagnosticada. Deve ser considerada em crianças pequenas com vacinação prévia com BCG, sem contato com TB e com achados clínicos compatíveis com osteomielite, porém sem resposta à antibioticoterapia.

Na maioria dos casos, o tratamento antituberculose por longo período e a drenagem cirúrgica são necessários para a remissão. Felizmente, o prognóstico para os pacientes é bom, com baixa frequência de complicações, o que não deve impedir o uso da vacina BCG em países com alta incidência de TB.

Referências

1. Farhat CK, Carvalho ES, Carvalho LH, Succi RC, editors. Infectologia Pediátrica. São Paulo: Atheneu; 1999. p. 343-351.

2. Santana CC. A revacinação BCG em escolares: um estudo pioneiro. J Pediatr (Rio J). 2002;78(4):257-8.

3. Ferreira AA, Ferreira MF, Macedo EA, Cunha I, Santos SL, Reis AR, et al. Revacinação BCG em escolares: evolução da lesão vacinal entre 48 horas e 10 semanas. J Pediatr (Rio J). 2002;78(4):289-94.

4. Lin CJ, Yang WS, Yan JJ, Liu CC. Mycobacterium bovis osteomyelitis as a complication of Bacille Calmette-Guérin (BCG) vaccination: rapid diagnosis with use of DNA sequencing analysis: a case report. J Bone Joint Surg Am. 1999;81(9):1305-11.

5. Bricks LF. Vacina BCG: via percutânea ou intradérmica? J. Pediatr (Rio J). 2004;80(2):93-8.

6. Hoppe JE, Orlikowsky T, Klingebiel T, Niethammer D. Costal BCG osteomyelitis presenting as a tumor. Infection. 1992;20(2):94-6.

7. Kröger L, Korppi M, Brander E, Kröger H, Wasz-Höckert O, Backman A, et al. Osteitis caused by bacille Calmette-Guérin vaccination: a retrospective analysis of 222 cases. J Infect Dis. 1995;172(2):574-6.

8. Aftimos S, Nicol R. BCG osteitis: a case report. N Z Med J. 1986;99(800):271-3.

9. Kröger L, Brander E, Korppi M, Wasz-Höckert O, Backman A, Kröger H, et al. Osteitis after newborn vaccination with three different Bacillus Calmette-Guérin vaccines: twenty-nine years of experience. Pediatr Infect Dis J. 1994;13(2):113-6.

10. Moreno L, Gottrand F, Herbaux B, Savage C, Farriaux JP. Vertebral osteitis following BCG vaccination in a previously healthy child. Eur J Pediatr. 1990;149(9):668.

11. Web L, Torklus DV. Osteomyelitis nach BCG-Impfung. Z Orthop Ihre Grenzgeb. 1981;119:297-300

12. Peltola H, Salmi I, Vahvanen V, Ahlqvist J. BCG vaccination as a cause of osteomyelitis and subcutaneous abscess. Arch Dis Child. 1984;59(2):157-61.

13. Böttiger M, Romanus V, de Verdier C, Boman G. Osteitis and other complications caused by generalized BCG-itis. Experiences in Sweden. Acta Paediatr Scand. 1982;71(3):471-8.

14. Foucard T, Hjelmstedt A. BCG-osteomyelitis and -osteoarthritis as a complication following BCG-vaccination. Acta Orthop Scand. 1971;42(2):142-51.

15. Hanimann B, Morger R, Baerlocher K, Brunner C, Giger T, Schopfer K. BCG osteitis in Switzerland. A report of 6 cases [Article in German]. Schweiz Med Wochenschr. 1987;117(6):193-8.

16. Kolandaivelu G, Manohar K, Bose JC, Rajagopal P. Osteitis of humerus following BCG vaccination. J Indian Med Assoc. 1986;84(6):184-5.



Trabalho realizado no Departamento de Diagnóstico por Imagem, Departamento de Pediatria, Universidade Federal de São Paulo/Escola Paulista de Medicina - UNIFESP/EPM - São Paulo (SP) Brasil.
Endereço para correspondência: André Fukunishi Yamada. Rua Napoleão de Barros, 800, Vila Clementino, CEP 04024-002, São Paulo, SP, Brasil.
Tel 55 11 5014-6813. E-mail: andrefyamada@gmail.com
Suporte financeiro: Nenhum.
Recebido para publicação em 17/4/2008. Aprovado após revisão, em 26/6/2008.



Sobre os autores

André Fukunishi Yamada
Médico. Departamento de Diagnóstico por Imagem, Universidade Federal de São Paulo/Escola Paulista de Medicina - UNIFESP/EPM - São Paulo (SP) Brasil.
Juliana Barbosa Pellegrini
Pediatra Residente. Hospital Professor Edmundo Vasconcelos, São Paulo (SP) Brasil.
Luciana Menezes Cunha
Pediatra Residente. Hospital Professor Edmundo Vasconcelos, São Paulo (SP) Brasil.
Artur da Rocha Corrêa Fernandes
Professor Adjunto. Departamento de Diagnóstico por Imagem, Universidade Federal de São Paulo/Escola Paulista de Medicina - UNIFESP/EPM - São Paulo (SP) Brasil.

Indexes

Development by:

© All rights reserved 2025 - Jornal Brasileiro de Pneumologia