Continuous and bimonthly publication
ISSN (on-line): 1806-3756

Licença Creative Commons
12612
Views
Back to summary
Open Access Peer-Reviewed
Original Article

Proposta de um modelo murino de curta duração de resposta pulmonar alérgica aguda sem utilização de adjuvante

Proposed short-term model of acute allergic response, without adjuvant use, in the lungs of mice

Andrea Mendonça Rodrigues, Camila Zanelatto Parreira Schmidt, Lucien Peroni Gualdi, Raquel Giacomelli Cao, Rodrigo Godinho de Souza, Ana Cláudia Pereira, Nailê Karine Nuñez, Alisson Passos Schleich, Paulo Márcio Condessa Pitrez

ABSTRACT

Objective: To determine whether a short-term protocol using subcutaneous sensitization with ovalbumin, without the use of adjuvants, would induce an eosinophilic response in the lungs of mice similar to that observed in previous, well-established protocols. Methods: Adult female BALB/c mice were randomized and divided into groups according to the number of sensitizations with ovalbumin and the number/dosage of intranasal ovalbumin challenges. The short-term protocol (10 days) consisted of one sensitization with ovalbumin and three ovalbumin challenges (100 µg). Total and differential cell counts in BAL fluid, levels of eosinophil peroxidase in lung tissue, and histopathological examination of the lungs were performed 24 h after the last ovalbumin challenge. Results: No significant differences were found among the groups regarding the variables studied. The short-term protocol, as well as the other protocols studied, induced an eosinophilic response similar to that obtained in the positive control. Conclusions: Subcutaneous sensitization with ovalbumin and without the use of adjuvants resulted in a significant allergic response in the lungs of mice, even in the short-term protocol group. Our findings suggest that this short-term protocol can be used as a first-line pre-clinical test for the study of new medications, reducing the costs and observation periods.

Keywords: Ovalbumin; Mice; Asthma.

RESUMO

Objetivo: Determinar se um protocolo curto de sensibilização com ovalbumina subcutânea, sem adjuvante, induziria uma resposta pulmonar eosinofílica em pulmões de camundongos similar àquela encontrada em protocolos previamente estabelecidos. Métodos: Fêmeas adultas de camundongos BALB/c foram randomizadas e divididas em grupos de acordo com o número de sensibilizações com ovalbumina e o número/dosagem de provocação intranasal. O protocolo curto (10 dias) consistiu de uma sensibilização e três provocações com ovalbumina (100 µg). A contagem total e diferencial de células no lavado broncoalveolar, o nível de peroxidase eosinofílica no tecido pulmonar e o exame histopatológico dos pulmões foram realizados 24 h após a última provocação. Resultados: Não houve diferenças significativas entre os grupos em relação às variáveis estudadas. O protocolo curto, assim como os outros protocolos estudados, induziu uma resposta eosinofílica pulmonar semelhante àquela do grupo controle positivo. Conclusões: A sensibilização por ovalbumina subcutânea sem o uso de adjuvante resultou em uma significativa resposta pulmonar alérgica em ratos, mesmo no grupo de protocolo curto. Nossos achados sugerem que esse protocolo curto pode ser utilizado como teste pré-clínico de primeira linha para a pesquisa de novos fármacos, reduzindo custos e o tempo de observação.

Palavras-chave: Ovalbumina; Camundongos; Asma.

Introdução

A asma é uma doença crônica das vias aéreas inferiores que acomete cerca de 300 milhões de pessoas em todo mundo, com elevada morbidade e custos para a sociedade. A asma é caracterizada pela infiltração de células CD4+ Th2 e eosinófilos nas vias aéreas, associada à produção de IgE específica contra alérgenos.(1) Na pesquisa de novas terapias para o tratamento da asma, bem como para um melhor entendimento da fisiopatogenia da doença, modelos animais são utilizados há décadas.(2) Modelos murinos foram desenvolvidos envolvendo processos de sensibilização sistêmica a antígenos, com posterior provocação das vias aéreas, a fim de desencadear uma resposta pulmonar alérgica semelhante à asma.(3) Esses modelos ainda são os mais utilizados em pesquisas experimentais em asma, apesar do surgimento de críticas mais recentes a fatores relacionados aos modelos animais de asma vigentes, que não desenvolvem características fenotípicas semelhantes à asma em humanos.(4)

Dentre os animais estudados, o camundongo isogênico é o mais popular, devido ao baixo custo, o detalhado conhecimento da sua genética e pela clara resposta imune Th2 desenvolvida em seus pulmões quando expostos a alérgenos específicos.(3) Classicamente, camundongos da linhagem BALB/c são expostos à ovalbumina por sensibilização i.p., em um intervalo de 14 dias, juntamente com um adjuvante - hidróxido de alumínio (alum); apesar de seu uso rotineiro, essa é uma forma artificial de potencializar a resposta alérgica pulmonar.(5) Esse tem sido o protocolo padrão mais utilizado na literatura como modelo murino de asma. A superação de duas limitações frequentemente descritas (uso de adjuvante e tempo prolongado de protocolo) poderia ser atraente para a realização de modelos murinos de asma mais aprimorados, principalmente em testes pré-clínicos de novos fármacos.

Buscando uma alternativa para não utilizar o adjuvante em modelos murinos de asma, Conrad et al. demonstraram recentemente que a sensibilização s.c. por ovalbumina, sem a utilização de adjuvante, resulta em uma resposta pulmonar alérgica semelhante àquela em protocolos previamente estabelecidos.(6,7) Os resultados daquele estudo permitem excluir o uso do adjuvante em modelos murinos de asma em estudos futuros, que tem resultado em críticas justificadas sobre a forma artificial corrente de estudar asma em modelos animais. No entanto, naquele estudo utilizaram-se três sensibilizações, com intervalos de 7 dias, mantendo o protocolo ainda muito longo. Com isso, em relação ao tempo de duração dos modelos murinos de asma, protocolos de curta duração, particularmente associados à ausência de adjuvante, não foram testados até o presente. A viabilidade de um modelo desse tipo seria uma forma interessante de estudar preliminarmente novas terapias em asma, particularmente aquelas relacionadas à resposta pulmonar eosinofílica, desfecho esse central em alvos terapêuticos de asma de origem atópica. No cenário da indústria farmacêutica, protocolos longos têm sido uma limitação significativa no estudo de novos fármacos.(8)

Assim, o objetivo do presente estudo foi buscar alternativas de protocolos com modelos animais de asma com características menos artificiais e com duração mais curta. Foi comparado um protocolo de duração de 10 dias, utilizando somente uma sensibilização s.c. com ovalbumina e sem o uso de adjuvante com outros protocolos padrões já publicados em estudos prévios.

Métodos

Foram utilizados 44 camundongos isogênicos da linhagem BALB/c (fêmeas adultas, 6-8 semanas de vida), provenientes da Fundação Estadual de Produção e Pesquisa em Saúde do Rio Grande do Sul. Os animais foram alimentados com ração balanceada e água ad libitum e mantidos em gaiolas em um ciclo claro/escuro de 12/12 h. Os animais foram divididos em cinco grupos de estudo, com 7 animais cada, nos quais foram testados diferentes modelos de indução de resposta pulmonar alérgica; grupo controle positivo (C+), com 5 animais; e grupo controle negativo (C−) com 4 animais. Os grupos foram classificados de acordo com a forma de sensibilização - ovalbumina i.p. ou s.c., com ou sem o uso de adjuvante -, número de sensibilizações - uma ou duas vezes -, número de provocações intranasais (i.n.) - duas ou três -, dosagem de ovalbumina na provocação i.n. - 40 µg ou 100 µg - e tempo de observação - 21 ou 10 dias. Os grupos controles foram observados por 28 dias.

A sensibilização e provocação i.n. com ovalbumina foram realizadas com volumes totais de 200 µL e 50 µL, respectivamente, diluídos em Dulbecco's PBS (DPBS). Para a sensibilização, a dose utilizada de ovalbumina foi de 20 µg em todos os grupos, exceto para o grupo C−. Na realização da provocação i.n. com ovalbumina, para permitir a aspiração pulmonar, os animais foram anestesiados em uma câmara anestésica, utilizando-se isoflurano.

Os animais dos grupos de estudo foram submetidos ao que segue:

Grupo 2sc2in-100: duas sensibilizações com ovalbumina s.c. (dias 0 e 7) e duas provocações com ovalbumina i.n. (100 µg) em dias consecutivos (dias 19 e 20)


Grupo 2sc3in-100: duas sensibilizações s.c. (dias 0 e 7) e três provocações i.n. (100 µg) em dias consecutivos (dias 18, 19 e 20)

Grupo 2sc3in-40: duas sensibilizações s.c. (dias 0 e 7) e três provocações i.n. (40 µg) em dias consecutivos (dias 18, 19 e 20)

Grupo 2sc2in-40: duas sensibilizações s.c. (dias 0 e 7) e duas provocações i.n. (40 µg) em dias consecutivos (dias 19 e 20)

Grupo 1sc3in-100 (com tempo de observação curto, objeto principal do presente estudo): uma sensibilização s.c. (dia 0) e três provocações i.n. (100 µg) em dias consecutivos (dias 7, 8 e 9).

Os quatro primeiros grupos foram observados por 21 dias, enquanto o grupo 1sc3in-100 foi observado por 10 dias (protocolo curto).

Os animais dos grupos controles foram submetidos ao que segue:

Grupo C+: duas sensibilizações com ovalbumina + alum (1 mg) i.p. (dias 0 e 14) e três provocações com ovalbumina i.n. (100 µg) em dias consecutivos (dias 25, 26 e 27)

Grupos C−: duas aplicações de DPBS s.c. (dias 0 e 14) e três instilações i.n. com DPBS em dias consecutivos (dias 25, 26 e 27).

Os protocolos são apresentados na Figura 1.



A LBA foi realizada através da canulação da traqueia com agulha de ponta romba, após anestesia com xilazina (100 mg/mL) e cetamina (100 mg/mL), na proporção de 1:9 na solução (dose, 0,1 mL). Uma solução de DPBS (1 mL) foi instilada via i.t. e aspirada logo após, por três vezes consecutivas. Após o procedimento, os animais foram sacrificados com doses letais dos fármacos utilizados para a anestesia (dose, 0,3 mL i.p.) e descartados de acordo com as normas da instituição.

A amostra da LBA foi pesada e centrifugada em centrífuga refrigerada a 4°C (1.500 rpm por 10 min). O precipitado foi ressuspendido com 1 mL de DPBS. Em todas as amostras, foram realizadas a contagem total de células e o cálculo de viabilidade celular na suspensão, através do método de exclusão com azul de tripan, em câmara de Neubauer (BOECO, Hamburgo, Alemanha). Para a análise da citologia diferencial, a suspensão do precipitado foi colocada em uma citocentrífuga (30 g por 5 min). As células foram analisadas de acordo com sua morfologia, após coloração com May-Grünwald-Giemsa. Os tipos celulares observados ao microscópio óptico foram expressos em percentagem, após a contagem de 200 células.

Para avaliar a atividade eosinofílica no tecido pulmonar, após a realização de LBA e ressecção do pulmão, foi realizada uma reação química do tecido pulmonar com o substrato cromogênico orto-fenilenodiamina. Com esse método, conforme demonstrado por Strath et al.,(9) é possível quantificar a atividade eosinofílica pela reação da enzima eosinophil peroxidase (EPO, peroxidase eosinofílica), através de uma medida de absorbância óptica, sem a interferência de outras peroxidases que possam estar presentes no tecido analisado. Resumidamente, fragmentos do tecido pulmonar foram congelados e descongelados por três vezes em nitrogênio líquido. Após centrifugação a 4°C por 10 min, foram realizadas cinco diluições seriadas do sobrenadante em placas de 96 poços (50 µL/poço). Em seguida, foi adicionado 100 µL de substrato (1,5 mM de orto-fenilenodiamina e 6,6 mM de peróxido de hidrogênio diluídos em 0,05 M de tampão Tris-HCl, pH 8,0). Após 30 min, à temperatura ambiente, a reação foi interrompida com solução de 1 M de ácido sulfúrico, e a absorbância das amostras foi determinada à 492 nm.

Após a remoção dos pulmões, foi realizada perfusão com formalina tamponada a 10% em coluna de gravidade (20 mmHg). As lâminas foram preparadas a partir de cortes de 4 µm de blocos de parafina de tecido pulmonar e corados com HE. Uma avaliação qualitativa da presença de resposta inflamatória brônquica sob microscopia óptica foi realizada, com contagem do número de eosinófilos em um campo, em três brônquios diferentes, para a classificação de gravidade da inflamação eosinofílica.

A análise estatística foi realizada através do programa Statistical Package for the Social Sciences versão 17.0 (SPSS Inc., Chicago, IL, EUA). Após a análise descritiva das variáveis, o teste de Kruskal-Wallis foi utilizado, com análise post hoc de Dunn, para aquelas comparações que atingiram significância estatística. O grupo C− foi testado estatisticamente em separado com os grupos estudados, utilizando-se o teste de Mann-Whitney, com ajuste para múltiplas comparações. O nível de significância estabelecido foi de 0,05. Como desfecho principal, utilizamos a contagem de eosinófilos nas amostras de LBA, pelo fato de que o eosinófilo é a célula efetora do sistema imune mais importante nesse modelo experimental.

O cálculo do tamanho amostral foi de 7 animais por grupo de estudo. Esse cálculo foi feito utilizando como desfecho principal a contagem absoluta de eosinófilos no lavado para uma média de 0,7 × 106 células/mL, com desvio-padrão de 0,34, um valor de p = 0,05, e poder de 80%, com diferença entre as médias dos grupos estimada em 80%.

O estudo foi realizado de acordo com as normas éticas para pesquisa em modelos animais, seguindo o preconizado pela Sociedade Brasileira de Ciência em Animais de Laboratório, respeitando-se a utilização do menor número de animais, o manejo da dor e sofrimento durante os procedimentos e a eutanásia, com aprovação da comissão de ética para o uso de animais da instituição.

Resultados

No presente estudo, foram comparados modelos indutores de resposta pulmonar alérgica aguda em camundongos, utilizando ovalbumina s.c. na sensibilização e diferentes doses/números de aplicações da mesma na provocação i.n. entre si e com o modelo tradicional (grupo C+). O principal alvo da pesquisa era avaliar se o uso de um protocolo de duração mais curta (uma dose de sensibilização, com duração de 10 dias) apresentaria uma resposta pulmonar alérgica semelhante a dos protocolos padrões utilizados na literatura. A média de retorno das amostras de LBA de todos os animais foi de 0,55 ± 0,15 mL, e a viabilidade celular média foi de 100%. A média de eosinófilos nos grupos C− e C+ foi de 2,5 ± 3,0% e 40,1 ± 10,0%, respectivamente.

Em relação aos grupos estudados, não houve diferenças significativas entre os grupos, quando comparados ao grupo C+, no que se refere à contagem total de células (p = 0,1), número de linfócitos (p = 0,36), macrófagos (p = 0,24) e neutrófilos (p = 0,059) nas amostras de LBA. Em relação ao número de eosinófilos, o grupo 2sc3in-40 apresentou uma contagem maior de eosinófilos do que o grupo 2sc2in-40 (p = 0,032; Figura 2). Não houve diferenças significativas na resposta inflamatória celular nos pulmões dos animais no grupo com protocolo de curta duração, sem o uso de adjuvante, quando comparados àqueles do grupo com o protocolo amplamente utilizado na literatura em modelos de asma, com duração de 21 dias. Quando os grupos estudados foram comparados ao grupo C−, todas as variáveis da contagem de células totais e diferenciais foram significativamente maiores (p < 0,05).



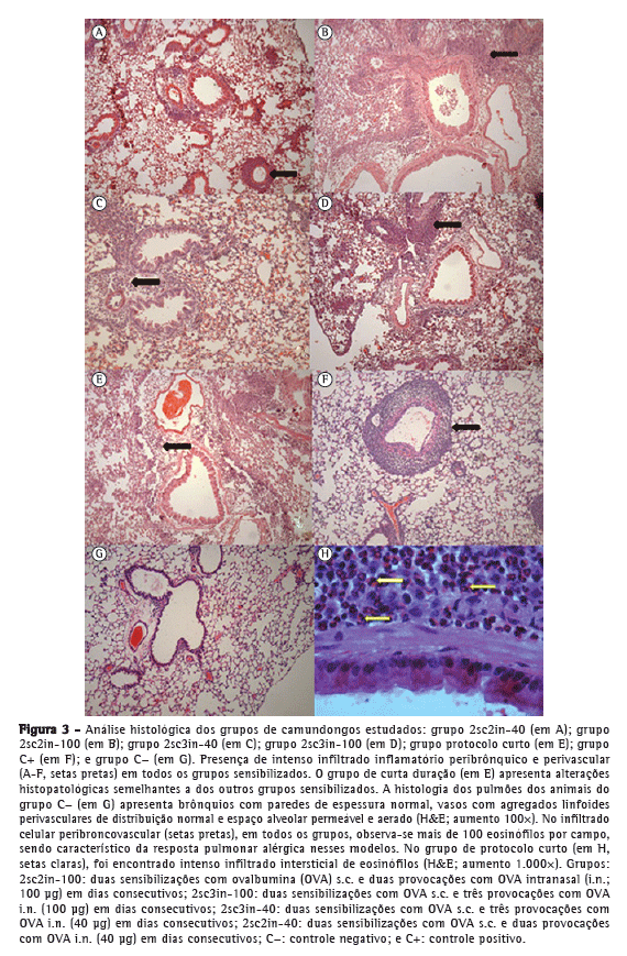
A análise histológica demonstrou infiltrado inflamatório peribroncovascular intenso, com predomínio de linfócitos e presença de mais de 100 eosinófilos peribrônquicos por campo, em todos os grupos. Os animais do grupo C− apresentaram anatomia preservada, sem alterações inflamatórias, característico de animais saudáveis. Não houve diferença entre os grupos em relação à intensidade da inflamação pulmonar, do ponto de vista histológico, incluindo o grupo de curta duração (Figura 3). A análise dos níveis de EPO no tecido pulmonar, que refletem a atividade de eosinófilos no pulmão, não demonstrou diferenças entre os grupos estudados (Figura 4).





Discussão

A busca de modelos animais de asma com protocolos com duração mais curta e sem o uso de adjuvantes parece uma alternativa atraente para pesquisas experimentais dessa doença em algumas situações especiais. No presente estudo, ao compararmos diferentes grupos de camundongos BALB/c sensibilizados com ovalbumina, não observamos diferenças significativas entre os diferentes protocolos estudados, utilizando as variáveis de desfecho mais relacionadas à atividade e presença de eosinófilos no pulmão, mesmo utilizando um protocolo bastante curto (10 dias).

O mais importante resultado do presente estudo diz respeito ao tempo de duração dos protocolos, entre os quais nenhuma diferença foi encontrada apesar dos diferentes tempos de duração (10, 21 e 28 dias), principalmente quando consideramos que nenhum adjuvante foi utilizado. Os autores demonstraram pela primeira vez que um protocolo mais curto, sem o uso de adjuvante, resulta em uma resposta pulmonar alérgica esperada nesse tipo de modelo. A utilização de um protocolo de 10 dias com a mesma resposta eosinofílica pulmonar daquela de modelos anteriormente mais longos, utilizados amplamente na literatura, facilitaria a realização de testes pré-clínicos, principalmente na descoberta de novos alvos terapêuticos, permitindo a redução de custos e da duração de experimentos. Além disso, protocolos mais curtos também seguem todos os preceitos éticos correntes em relação ao uso de animais em pesquisa, visto que os animais sofrem menor tempo de exposição a procedimentos em experimentos. O protocolo curto testado no presente estudo, quando comparado àquele do grupo C+, mostrou não apresentar diferenças significativas entre a contagem total de células e de eosinófilos nas amostras de LBA, assim como entre os níveis de EPO no tecido pulmonar. Além disso, no protocolo curto, a análise histológica apresentou importante infiltrado peribroncovascular de células inflamatórias, com predomínio de eosinófilos, com as mesmas características das análises dos outros protocolos.

Em 2008, Hahn  Erb publicaram um artigo questionando o tempo despendido para a identificação e o desenvolvimento de novos tratamentos para asma, que têm origem desde a identificação de uma molécula, a determinação se essa molécula está realmente envolvida no processo da doença, a identificação dos componentes da sua estrutura e sua modificação sintética, até os testes pré-clínicos em animais.(8) Esse processo, já suficientemente longo e dispendioso, ainda se soma aos longos períodos de experimentos com camundongos. É importante salientar que nossos resultados utilizando o modelo proposto envolvem somente a análise da resposta aguda a um único alérgeno (no caso, ovalbumina). É importante destacar também que modelos experimentais de asma com exposição crônica têm sido propostos e são importantes em pesquisas de novos fármacos, provavelmente realizados em uma sequência posterior de experimentos, quando da busca de alvos terapêuticos.(10,11) Protocolos mais curtos, de qualquer forma, podem ser um modelo interessante de triagem para novos alvos terapêuticos.

Cates et al., em 2004, realizaram um estudo com um protocolo curto de 10 dias utilizando house dust mites (HDM, ácaros de poeira doméstica) para sensibilização, demonstraram inflamação eosinofílica pulmonar e aumento da expressão de células Th2 efetoras em camundongos (CD3+, CD4+ e T1/ST2+), bem como aumento de IgE total e IgG1 específica para HDM.(12) Em relação àquele estudo, nossos resultados demonstram que é possível a realização de um protocolo curto (10 dias), tanto com ovalbumina quanto com HDM.

Vários autores têm criticado o uso de alum em modelos murinos de asma, por essa ser uma substância artificial na indução de resposta imune, que induz a produção de citocinas pró-inflamatórias, ativando linfócitos Th2.(5,13,14) O alum ainda ativa o sistema imune via maturação de células dendríticas e pela coestimulação de moléculas de expressão.(15,16) Além disso, o alum demonstrou causar estresse importante nos animais, até 4 h após a exposição.(6) Estudos realizados sem uso de alum demonstraram que o mesmo não é necessário na indução da resposta pulmonar alérgica em camundongos, não havendo diferença na sensibilização por via s.c. sem o uso de adjuvante em relação à via i.p. com o uso do mesmo. Esses estudos, utilizando protocolos sem adjuvante, demonstraram diferentes níveis de inflamação, de imunotolerância ao alérgeno ou protocolos muitas vezes longos demais.(7,17-20) Conrad et al., mais recentemente, não relataram diferenças significativas em relação à celularidade a partir de LBA, histologia pulmonar e níveis de interleucinas (IL-5, IL-10 e IL-13), utilizando sensibilização s.c. com ovalbumina, sem adjuvante.(6) No entanto, naquele estudo, foram utilizadas três sensibilizações, que tornam o experimento relativamente longo para um modelo agudo de asma. O mecanismo pelo qual a sensibilização s.c. é efetiva sem o uso de adjuvante ainda não tem uma explicação clara. Uma hipótese levantada seria que o compartimento tecidual subcutâneo pode ter um número maior e mais efetivo de células apresentadoras de antígenos, que resultam em uma resposta mais robusta a um alérgeno, sem a necessidade de adjuvante.

Na contagem de células a partir de LBA do presente estudo encontramos uma contagem de eosinófilos reduzida entre os grupos com uso de ovalbumina s.c. (21 dias) que realizaram provocação intranasal (40 µg) por duas vezes, quando comparados ao grupo que realizou provocação por três vezes (Figura 2). Esse achado pode ser explicado pelo fato de que o número menor de provocações i.n. com ovalbumina induz menos inflamação no animal. Esse achado, no contexto dos objetivos principais do nosso estudo, não parece apresentar uma relevância maior nos nossos resultados.

Uma limitação do presente estudo foi a não realização de mensurações de citocinas e de IgE específica para ovalbumina, além de testes de função pulmonar. Em virtude de não estarmos estudando nenhum mecanismo de doença ou de sensibilização a antígenos, acreditamos que a análise utilizada no presente estudo, focada principalmente na atividade eosinofílica no pulmão (eosinófilos em LBA, eosinófilos em cortes histológicos e EPO no tecido pulmonar), não altera de forma importante a interpretação final dos resultados de forma geral. Os autores entendem, porém, que novos estudos necessitam ser realizados, com uma melhor caracterização da resposta inflamatória pulmonar, a fim de que nosso modelo seja validado. Uma pergunta não respondida é se esse período curto seria suficiente para uma produção significativa de IgE específica para ovalbumina.

Concluindo, novos modelos de asma utilizando doses menores de ovalbumina, com menor número de sensibilizações, menor número de provocações i.n. e ausência de uso de adjuvante mostraram uma resposta inflamatória pulmonar com predomínio de eosinófilos (célula efetora central na resposta imune Th2). Nosso modelo proposto, de duração mais curta, pode ser uma opção futura para testes pré-clínicos e pesquisa de alvos terapêuticos em asma, reduzindo o tempo e os custos de pesquisa, desde que novos trabalhos sejam realizados e que haja a comprovação da adequação do uso do mesmo.

Referências

1. Taussig LM, Landau LI, editors. Pediatric respiratory medicine. St. Louis: Mosby; 1999.

2. Bates JH, Rincon M, Irvin CG. Animal models of asthma. Am J Physiol Lung Cell Mol Physiol. 2009;297(3):L401 10. PMid:19561139 PMCid:2739768. http://dx.doi.org/10.1152/ajplung.00027.2009

3. Zosky GR, Sly PD. Animal models of asthma. Clin Exp Allergy. 2007;37(7):973-88. http://dx.doi.org/10.1111/j.1365-2222.2007.02740.x

4. Szelenyi I. Animal models of bronchial asthma. Inflamm Res. 2000;49(12):639-54. PMid:11211914. http://dx.doi.org/10.1007/s000110050642

5. Eisenbarth SC. Use and limitations of alum-based models of allergy. Clin Exp Allergy. 2008;38(10):1572-5. http://dx.doi.org/10.1111/j.1365-2222.2008.03069.x

6. Conrad ML, Yildirim AO, Sonar SS, Kiliç A, Sudowe S, Lunow M, et al. Comparison of adjuvant and adjuvant-free murine experimental asthma models. Clin Exp Allergy. 2009;39(8):1246-54. http://dx.doi.org/10.1111/j.1365-2222.2009.03260.x

7. Renz H, Smith HR, Henson JE, Ray BS, Irvin CG, Gelfand EW. Aerosolized antigen exposure without adjuvant causes increased IgE production and increased airway responsiveness in the mouse. J Allergy Clin Immunol. 1992;89(6):1127-38. http://dx.doi.org/10.1016/0091-6749(92)90296-E

8. Hahn C, Erb KJ. The preclinical testing strategy for the development of novel chemical entities for the treatment of asthma. Curr Drug Targets. 2008;9(6):443-51. PMid:18537583. http://dx.doi.org/10.2174/138945008784533552

9. Strath M, Warren DJ, Sanderson CJ. Detection of eosinophils using an eosinophil peroxidase assay. Its use as an assay for eosinophil differentiation factors. J Immunol Methods. 1985;83(2):209-15. http://dx.doi.org/10.1016/0022-1759(85)90242-X

10. Johnson JR, Wiley RE, Fattouh R, Swirski FK, Gajewska BU, Coyle AJ, et al. Continuous exposure to house dust mite elicits chronic airway inflammation and structural remodeling. Am J Respir Crit Care Med. 2004;169(3):378 85. PMid:14597485. http://dx.doi.org/10.1164/rccm.200308-1094OC

11. Fattouh R, Al-Garawi A, Fattouh M, Arias K, Walker TD, Goncharova S, et al. Eosinophils are dispensable for allergic remodeling and immunity in a model of house dust mite-induced airway disease. Am J Respir Crit Care Med. 2011;183(2):179-88. PMid:20732990. http://dx.doi.org/10.1164/rccm.200905-0736OC

12. Cates EC, Fattouh R, Wattie J, Inman MD, Goncharova S, Coyle AJ, et al. Intranasal exposure of mice to house dust mite elicits allergic airway inflammation via a GM-CSF-mediated mechanism. J Immunol. 2004;173(10):6384-92. PMid:15528378.

13. Brewer JM, Conacher M, Hunter CA, Mohrs M, Brombacher F, Alexander J. Aluminium hydroxide adjuvant initiates strong antigen-specific Th2 responses in the absence of IL-4- or IL-13-mediated signaling. J Immunol. 1999;163(12):6448-54. PMid:10586035.

14. Shapiro SD. Animal models of asthma: Pro: Allergic avoidance of animal (model[s]) is not an option. Am J Respir Crit Care Med. 2006;174(11):1171-3. PMid:17110653. http://dx.doi.org/10.1164/rccm.2609001

15. Kool M, Soullié T, van Nimwegen M, Willart MA, Muskens F, Jung S, et al. Alum adjuvant boosts adaptive immunity by inducing uric acid and activating inflammatory dendritic cells. J Exp Med. 2008;205(4):869-82. PMid:18362170 PMCid:2292225. http://dx.doi.org/10.1084/jem.20071087

16. Shi Y, Evans JE, Rock KL. Molecular identification of a danger signal that alerts the immune system to dying cells. Nature. 2003;425(6957):516-21. PMid:14520412. http://dx.doi.org/10.1038/nature01991

17. Clausen SK, Bergqvist M, Poulsen LK, Poulsen OM, Nielsen GD. Development of sensitisation or tolerance following repeated OVA inhalation in BALB/cJ mice. Dose-dependency and modulation by the Al(OH)3 adjuvant. Toxicology. 2003;184(1):51-68. http://dx.doi.org/10.1016/S0300-483X(02)00583-8

18. Van Hove CL, Maes T, Joos GF, Tournoy KG. Prolonged inhaled allergen exposure can induce persistent tolerance. Am J Respir Cell Mol Biol. 2007;36(5):573 84. PMid:17218615. http://dx.doi.org/10.1165/rcmb.2006-0385OC

19. Keller AC, Mucida D, Gomes E, Faquim-Mauro E, Faria AM, Rodriguez D, et al. Hierarchical suppression of asthma-like responses by mucosal tolerance. J Allergy Clin Immunol. 2006;117(2):283-90. PMid:16461128. http://dx.doi.org/10.1016/j.jaci.2005.10.019

20. Holt PG, Reid M, Britten D, Sedgwick J, Bazin H. Suppression of IgE responses by passive antigen inhalation: dissociation of local (mucosal) and systemic immunity. Cell Immunol. 1987;104(2):434-9.



* Trabalho realizado na Pontifícia Universidade Católica do Rio Grande do Sul - PUCRS - Porto Alegre (RS) Brasil.
Endereço para correspondência: Andrea M Rodrigues. Centro Infant, Avenida Ipiranga, 6681, Prédio 60 (HSL), 2º andar, Parthenon, CEP 90619-900, Porto Alegre, RS, Brasil.
Tel. 55 51 3320-3000, ramal 2313, ou 55 51 3320-3353. E-mail: andream_rodrigues@hotmail.com
Apoio financeiro: Andrea Mendonça Rodrigues, Lucien Peroni Gualdi e Raquel Giacomelli Cao são bolsistas de doutorado e Nailê Karine Nuñez é bolsista de mestrado do Conselho Nacional de Desenvolvimento Científico e Tecnológico (CNPq).
Recebido para publicação em 26/3/2012. Aprovado, após revisão, em 3/8/2012.




Sobre os autores

Andrea Mendonça Rodrigues
Doutoranda. Programa de Pós-Graduação em Pediatria e Saúde da Criança, Pontifícia Universidade Católica do Rio Grande do Sul - PUCRS - Porto Alegre (RS) Brasil.

Camila Zanelatto Parreira Schmidt
Médica Pneumologista Pediátrica. Pontifícia Universidade Católica do Rio Grande do Sul - PUCRS - Porto Alegre (RS) Brasil.

Lucien Peroni Gualdi
Doutoranda. Programa de Pós-Graduação em Pediatria e Saúde da Criança (Doutorado Sanduíche), Pontifícia Universidade Católica do Rio Grande do Sul - PUCRS - Porto Alegre (RS) Brasil.

Raquel Giacomelli Cao
Doutoranda. Programa de Pós-Graduação em Pediatria e Saúde da Criança (Doutorado Sanduíche), Pontifícia Universidade Católica do Rio Grande do Sul - PUCRS - Porto Alegre (RS) Brasil.

Rodrigo Godinho de Souza
Técnico. Laboratório de Respirologia Pediátrica, Instituto de Pesquisas Biomédicas, Pontifícia Universidade Católica do Rio Grande do Sul - PUCRS - Porto Alegre (RS) Brasil.

Ana Cláudia Pereira
Acadêmica de Biologia. Pontifícia Universidade Católica do Rio Grande do Sul - PUCRS - Porto Alegre (RS) Brasil.

Nailê Karine Nuñez
Mestranda. Pontifícia Universidade Católica do Rio Grande do Sul - PUCRS - Porto Alegre (RS) Brasil.

Alisson Passos Schleich
Acadêmico de Biologia. Pontifícia Universidade Católica do Rio Grande do Sul - PUCRS - Porto Alegre (RS) Brasil.

Paulo Márcio Condessa Pitrez
Professor. Faculdade de Medicina, Pontifícia Universidade Católica do Rio Grande do Sul - PUCRS - Porto Alegre (RS) Brasil.

Indexes

Development by:

© All rights reserved 2025 - Jornal Brasileiro de Pneumologia