Continuous and bimonthly publication
ISSN (on-line): 1806-3756

Licença Creative Commons
18992
Views
Back to summary
Open Access Peer-Reviewed
Case Report

Osteomielite esternal por Mycobacterium tuberculosis

Sternal osteomyelitis caused by infection with Mycobacterium tuberculosis

Diego Michelon De Carli, Mateus Dornelles Severo, Carlos Jesus Pereira Haygert, Marcelo Guollo, Alex Omairi, Vinícius Dallagasperina Pedro, Eduardo Pedrolo Silva, Arnaldo Teixeira Rodrigues

ABSTRACT

We report the case of a 74-year-old male patient with a one-year history of chest pain in the suprasternal notch associated with erythema, edema and drainage of purulent material from a fistulous lesion. The patient was HIV-negative with no history of TB. A CT scan of the chest showed an osteolytic lesion in the sternum, and a biopsy revealed caseous granuloma, which, in the microbiological evaluation, was negative for fungi and acid-fast bacilli. The diagnosis of sternal osteomyelitis caused by Mycobacterium tuberculosis was confirmed using PCR.

Keywords: Thorax; Mycobacterium infections; Tuberculosis, osteoarticular; Sternum; Diagnosis.

RESUMO

Descrevemos o caso de um paciente de 74 anos, masculino, com dor torácica na porção superior do esterno com um ano de evolução associada a eritema, edema e fístula com drenagem de material purulento. Paciente HIV negativo e sem história prévia de contato com TB. A TC de tórax evidenciou lesão osteolítica esternal, e o material de biópsia revelou granuloma caseoso negativo para fungos e bacilos álcool-ácido resistentes no exame microbiológico direto. O diagnóstico de osteomielite esternal por Mycobacterium tuberculosis foi realizado por PCR.

Palavras-chave: Tórax; Infecções por Mycobacterium; Tuberculose osteoarticular; Esterno; Diagnóstico.

Introdução

A apresentação extrapulmonar da TB envolvendo o esterno é bastante rara. O fator de risco mais importante consiste nas cirurgias cardíacas abertas.(1) Outros fatores de risco são abuso de drogas endovenosas, trauma torácico contuso, ressuscitação cardiopulmonar fechada, cateterização de veia subclávia, diabetes mellitus, infecção pelo HIV, alcoolismo e vacinação por BCG.(1) Acomete tipicamente adultos jovens moradores de áreas endêmicas de TB. Com o advento da moderna terapia antituberculosa, o número de casos de TB esternal diminuiu drasticamente, perfazendo menos de 20 casos reportados na literatura.(2) Apresentamos o relato de caso de um paciente masculino sem doença pulmonar ativa que fazia acompanhamento no ambulatório de clínica médica.

Relato de caso

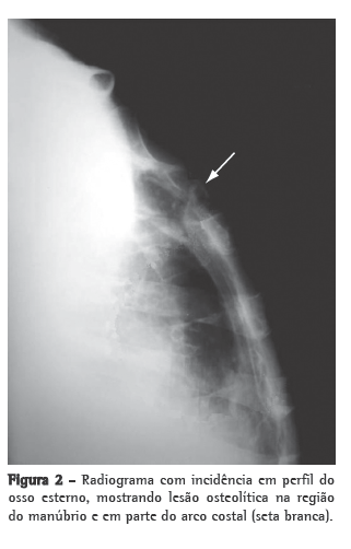
Homem de 74 anos, branco, agricultor aposentado, não-tabagista e ex-etilista, apresenta-se com dor torácica na porção superior do esterno iniciada há um ano com edema e eritema local, agravada há duas semanas com fístula que drenava secreção purulenta. Ainda referia febre vespertina, sudorese noturna e emagrecimento de aproximadamente 25 kg nos últimos 12 meses. O paciente fazia acompanhamento ambulatorial em várias unidades do Hospital Universitário de Santa Maria por apresentar múltiplas comorbidades: hipertensão arterial sistêmica, insuficiência cardíaca, valvulopatia mitral, hipertensão arterial pulmonar, hipotireoidismo, insuficiência renal crônica, além de uma colite inespecífica e hiperplasia benigna de próstata. Estava em uso de furosemida, sinvastatina, omeprazol, levotiroxina, hidralazina, clonazepam, sertralina, finasterida e doxazosina. Ao exame físico de admissão, o paciente estava em regular estado geral, com mucosas intensamente descoradas, pressão arterial de 130/80 mmHg, frequência cardíaca de 80 bpm, temperatura axilar de 36°C e frequência respiratória de 35 ciclos/min. Apresentava um sopro sistólico 3+/6+ em ápice cardíaco com irradiação axilar e murmúrio vesicular diminuído em ambas as bases pulmonares. Na região do manúbrio esternal, havia uma área de aproximadamente 10 cm de diâmetro, hiperemiada, edemaciada, mal delimitada, dolorosa à palpação, apresentando fístula com drenagem de secreção purulenta (Figura 1). Foi coletado um swab da lesão e realizada biópsia esternal por cirurgia aberta para a análise histopatológica e iniciado ciprofloxacina e clindamicina. O hemograma evidenciava anemia normocítica e normocrômica, o teste PPD demonstrou uma enduração de 15 mm, o exame anti-HIV (ELISA) foi negativo, e a velocidade de hemossedimentação (VHS) era 48 mm/h na primeira hora. Foram realizados exames de imagem (radiogramas de tórax frontal e perfil) que não evidenciaram imagens pleuropulmonares sugestivas de TB prévia ou ativa. O radiograma de perfil da região esternal revelou uma lesão osteolítica na região do manúbrio e dos primeiros arcos costais (Figura 2). A TC de tórax evidenciou lesão osteolítica do manúbrio esternal, sem invasão mediastinal, além de derrame pleural bilateral transudativo relacionado ao quadro clínico de hipertensão pulmonar e insuficiência cardíaca descompensada (Figura  3). Ainda procedeu-se à cintilografia trifásica com tecnécio, que não mostrou captação aumentada do radiotraçador pela lesão. O swab revelou cocos gram-positivos aos pares, e a cultura foi positiva para Staphylococcus aureus multissensível e negativa para fungos ou micobactérias após 70 dias de incubação. O regime antibiótico foi alterado para oxacilina. O resultado do exame histopatológico da lesão esternal demonstrou granuloma caseoso. Foi realizada uma nova biópsia esternal para a realização da PCR (Laboratório Álvaro, Cascavel, PR, Brasil) e iniciada terapia empírica contra TB com o esquema I (rifampicina, isoniazida e pirazinamida) com boa resposta terapêutica. A PCR foi positiva para Mycobacterium ­tuberculosis, confirmando o diagnóstico de osteomielite esternal tuberculosa.










Discussão

O Brasil ocupa o 14º lugar entre os 23 países responsáveis por 80% de todos os casos de TB no mundo, com uma prevalência de 58 casos/100.000 habitantes e uma incidência de 47,2 casos /100.000 habitantes.(3) O acometimento de ossos e articulações corresponde a 1-3% dos casos de TB, e o acometimento de esterno corresponde a menos de 1%.(4,5) A TB esternal ocorre predominantemente em adultos jovens do sexo masculino moradores de regiões endêmicas com ou sem fatores predisponentes.(2) A forma de contaminação pode ocorrer a partir de linfonodos locais infectados, por contiguidade com o parênquima pulmonar ou por reativação de um foco quiescente.(6)

O caso descrito reflete o caráter indolente da TB osteoarticular, contrastando com a osteomielite piogênica causada principalmente por S. aureus, Pseudomonas aeruginosa, Salmonella sp. e Aspergillus sp., a qual costuma apresentar um início abrupto e sintomas constitucionais proeminentes.(6) A apresentação do quadro clínico com sintomas de dor e inchaço esternal com evolução clínica de aproximadamente um ano, radiograma de tórax normal e VHS de 48 mm/h está de acordo com os dados apresentados em uma série de casos sobre TB esternal, com uma média de evolução dos sintomas de nove meses, sendo os mais comuns dor e inchaço esternal em 81% dos casos.(2) Nesse estudo, os radiogramas de tórax estavam normais em 73% dos casos, com a VHS aumentada num valor médio de 67 mm/h na quase totalidade dos casos.(2) Outros casos reportados também demonstraram elevação persistente da VHS.(4-7)

Sob o ponto de vista radiológico, a TB esternal pode se apresentar com os seguintes padrões de destruição óssea: lesões osteolíticas, reação periosteal, padrões de realce e abscesso de partes moles com ou sem formações cálcicas internas.(6) Esses achados não são exclusivos, podendo ser encontrados em infecções agressivas como a actinomicose.(8) A TC não demonstra aparente vantagem em relação ao radiograma esternal para a avaliação do comprometimento ósseo, mas mostra-se muito superior na avaliação dos tecidos moles perilesionais e o envolvimento mediastinal e pulmonar.(5-9) A ressonância magnética é uma boa opção para a avaliação tanto de tecidos moles quanto das lesões ósseas, demonstrando alterações precoces da medula óssea, especialmente em estágios precoces com radiograma normal.(4,5,9) A cintilografia trifásica com tecnécio tem alta sensibilidade e especificidade para o diagnóstico de osteomielite.(2,4) No caso apresentado, o paciente não apresentou captação esternal aumentada do radiotraçador nem fotopenia na lesão osteolítica ou outros achados compatíveis com osteomielite.

Em nosso caso, houve negatividade tanto no exame microbiológico direto como nos exames culturais, sendo o diagnóstico confirmado pela PCR.(10) O achado histopatológico de granuloma caseoso foi o principal indício que orientou a hipótese diagnóstica. Em um estudo, o exame direto para bacilos álcool-ácido resistentes (BAAR) demonstrou positividade em 38% dos casos, as culturas para M. tuberculosis são positivas em 85% dos casos, e o granuloma típico é encontrado em 67% dos casos.(1,2) De acordo com a literatura, o diagnóstico definitivo de TB esternal provém dos exames microbiológicos mais a confirmação histopatológica.(6) Dois grupos de autores, avaliando a PCR no diagnóstico de TB, encontraram valores de sensibilidade e especificidade parecidos, 90% e 80%, respectivamente, quando comparados com o cultivo.(11,12) Ambos os grupos de autores consideram que a qualidade da amostra e a padronização da técnica de extração do DNA são fatores críticos na aplicabilidade da PCR no diagnóstico de TB em nosso país.

No caso relatado, a provável causa da negatividade do exame microbiológico direto e da cultura para BAAR tenha sido a ação bactericida da ciprofloxacina, recebida pelo paciente, sobre o M. tuberculosis.(13)

As principais patologias para o diagnóstico diferencial são malignidade, sarcoidose, actinomicose e infecções fúngicas.(6,7) Na literatura, não há consenso com relação à modalidade, à duração ou ao melhor esquema terapêutico. Apesar de a drenagem precoce e o completo desbridamento melhorarem a cicatrização e prevenirem recidivas, alguns autores orientam a realização de tratamento conservador com drogas tuberculostáticas, deixando o desbridamento cirúrgico para os casos crônicos com complicações ­estruturais ou para os casos de falha terapêutica.(2,5,7) Não há indicação de profilaxia para cirurgias cardíacas abertas em pacientes com história ou contato com a TB devido à raridade da infecção.(9) O paciente foi submetido a tratamento com o esquema I, com melhora clínica e cicatricial da lesão esternal, estando ainda em tratamento ao envio deste trabalho. O desbridamento cirúrgico não foi aventado devido às múltiplas comorbidades apresentadas pelo paciente.



Referências



1. Ford SJ, Rathinam S, King JE, Vaughan R. Tuberculous osteomyelitis of the sternum: successful management with debridement and vacuum assisted closure. Eur J Cardiothorac Surg. 2005;28(4):645-7.

2. McLellan DG, Philips KB, Corbett CE, Bronze MS. Sternal osteomyelitis caused by mycobacterium tuberculosis: case report and review of the literature. Am J Med Sci. 2000;319(4):250-4.

3. Sociedade Brasileira de Pneumologia e Tisiologia. II Consenso Brasileiro de Tuberculose - Diretrizes Brasileiras para Tuberculose 2004. J Pneumol. 2004;30(Suppl 1): S1-S85.

4. Shah J, Patkar D, Parikh B, Parmar H, Varma R, Patankar T, et al. Tuberculosis of the sternum and clavicle: imaging findings in 15 patients. Skeletal Radiol. 2000;29(8):447-53.

5. Khan SA, Varshney MK, Hasan AS, Kumar A, Trikha V. Tuberculosis of the sternum: a clinical study. J Bone Joint Surg Br. 2007;89(6):817-20.

6. Atasoy C, Oztekin PS, Ozdemir N, Sak SD, Erden I, Akyar S. CT and MRI in tuberculous sternal osteomyelitis: a case report. Clin Imaging. 2002;26(2):112-5.

7. Bohl JM, Janner D. Mycobacterium tuberculosis sternal osteomyelitis presenting as anterior chest wall mass. Pediatr Infect Dis J. 1999;18(11):1028-9.

8. Khalil A, Le Breton C, Tassart M, Korzec J, Bigot J, Carette M. Utility of CT scan for the diagnosis of chest wall tuberculosis. Eur Radiol. 1999;9(8):1638-42.

9. Wang TK, Wong CF, Au WK, Cheng VC, Wong SS. Mycobacterium tuberculosis sternal wound infection after open heart surgery: a case report and review of the literature. Diagn Microbiol Infect Dis. 2007;58(2):245-9.

10. Clarridge JE 3rd, Shawar RM, Shinnick TM, Plikaytis BB. Large-scale use of polymerase chain reaction for detection of Mycobacterium tuberculosis in a routine mycobacteriology laboratory. J Clin Microbiol. 1993;31(8):2049-56.

11. Bollela VR, Sato DN, Fonseca BA. Problemas na padronização da reação em cadeia da polimerase para diagnóstico da tuberculose pulmonar. Rev Saude Publica. 1999;33(3):281-6.

12. Santos RM, Ogusku MM, Miranda JM, Dos-Santos MC, Salem JI. Evaluation of polymerase chain reaction in the diagnosis of pulmonary tuberculosis in indigenous and non-indigenous patients. J Bras Pneumol. 2006;32(3):234-40.

13. Gibbons FK, Branda JA, Shepard JA. Case records of the Massachusetts General Hospital. Case 12-2006. A 37-year-old man with hemoptysis and a pulmonary infiltrate. N Engl J Med. 2006;354(16):1729-37.



Sobre os autores

Diego Michelon De Carli
Médico Residente em Gastroenterologia. Hospital São Vicente de Paulo, Passo Fundo (RS) Brasil.

Mateus Dornelles Severo
Médico Residente em Clínica Médica. Hospital Universitário de Santa Maria, Universidade Federal de Santa Maria, Santa Maria (RS) Brasil.

Carlos Jesus Pereira Haygert
Professor Assistente de Radiologia. Hospital Universitário de Santa Maria, Universidade Federal de Santa Maria, Santa Maria (RS) Brasil.

Marcelo Guollo
Médico Residente em Cirurgia Geral. Hospital Universitário de Santa Maria, Universidade Federal de Santa Maria, Santa Maria (RS) Brasil.

Alex Omairi
Médico Residente em Cardiologia. Instituto de Cardiologia, Fundação Universitária de Cardiologia, Porto Alegre (RS) Brasil.

Vinícius Dallagasperina Pedro
Acadêmico de Medicina. Faculdade de Medicina da Universidade Federal de Santa Maria, Santa Maria (RS) Brasil.

Eduardo Pedrolo Silva
Acadêmico de Medicina. Faculdade de Medicina da Universidade Federal de Santa Maria, Santa Maria (RS) Brasil.

Arnaldo Teixeira Rodrigues
Professor Assistente de Clinica Medica. Hospital Universitário de Santa Maria, Universidade Federal de Santa Maria, Santa Maria (RS) Brasil.




Trabalho realizado no Hospital Universitário de Santa Maria, Universidade Federal de Santa Maria, Santa Maria (RS) Brasil.
Endereço para correspondência: Arnaldo Teixeira Rodrigues. Universidade Federal de Santa Maria, Avenida Roraima, s/n, Camobi, CEP 98100-000, Santa Maria, RS, Brasil.
Tel 55 55 3025-7661. E-mail: incubop@hotmail.com
Apoio financeiro: Nenhum.
Recebido para publicação em 3/6/2008. Aprovado, após revisão, em 12/1/2009.

Indexes

Development by:

© All rights reserved 2025 - Jornal Brasileiro de Pneumologia