Continuous and bimonthly publication
ISSN (on-line): 1806-3756

Licença Creative Commons
38977
Views
Back to summary
Open Access Peer-Reviewed
Case Report

Doença de Kikuchi-Fujimoto

Kikuchi-Fujimoto disease

Rogério Gastal Xavier, Denise Rossato Silva, Mauro Waldemar Keiserman, Maria Francisca Torres Lopes

ABSTRACT

Kikuchi-Fujimoto disease is characterized by fever and lymphadenopathy, usually localized in the cervical region. This disease principally affects young females. It can be confused with lymphoma, adenocarcinoma metastasis and tuberculosis. We report two cases of Kikuchi‑Fujimoto disease. In the first case, a 28-year-old female had been treated for tuberculosis one year prior and presented with a clinical and histological profile consistent with Kikuchi-Fujimoto disease. The second patient, a 58-year-old female, initially received treatment for Wegener's granulomatosis and, subsequently, for tuberculosis. Histopathological examination followed by immunohistochemical analysis confirmed the diagnosis of Kikuchi-Fujimoto disease in both cases. After the definitive diagnosis had been made, both patients were treated symptomatically, and both presented clinical improvement within one month. Subsequently, the latter patient developed systemic lupus erythematosus.

Keywords: Fever; Lymph nodes; Rare diseases; Tuberculosis, lymph node; Histiocytic necrotizing lymphadenitis; Lupus erythematosus, systemic.

RESUMO

A doença de Kikuchi-Fujimoto é caracterizada por febre e linfadenopatia, geralmente cervical. Esta doença acomete principalmente mulheres jovens. Pode ser confundida com linfoma, metástase de adenocarcinoma e tuberculose. Relatamos dois casos da doença de Kikuchi-­Fujimoto. No primeiro caso, uma paciente de 28 anos havia tratado tuberculose há um ano e apresentava quadro clínico e histológico compatível com a doença de Kikuchi-Fujimoto. A segunda paciente, de 58 anos, recebeu tratamento inicialmente para granulomatose de Wegener e, posteriormente, para tuberculose. O exame histopatológico com estudo imunohistoquímico permitiu estabelecer o diagnóstico da doença de Kikuchi-Fujimoto nos dois casos. Após o diagnóstico definitivo, ambas foram tratadas sintomaticamente e melhoraram clinicamente dentro de um mês. Posteriormente, a segunda paciente desenvolveu lúpus eritematoso sistêmico.

Palavras-chave: Febre; Linfonodos; Doenças raras; Tuberculose dos linfonodos; Linfadenite histiocítica necrosante; Lúpus eritematoso sistêmico.

Introdução

A doença de Kikuchi-Fujimoto (DKF), também conhecida como doença de Kikuchi ou linfadenite histiocítica necrosante, é rara, usualmente de curso benigno e de causa desconhecida.(1) Foi inicialmente descrita em 1972 no Japão em mulheres jovens com febre e linfadenopatia cervical.(2) A patogênese é pouco entendida, mas pensa-se que seja uma reação hiperimune induzida por diferentes estímulos antigênicos ou um processo auto-imune no qual a apoptose exerce papel importante.(3) A maioria dos pacientes tem menos de 40 anos e são previamente hígidos, com uma razão homem:mulher que pode chegar até 1:4 em alguns estudos,(1) ou aproximar-se em ambos os sexos.(4)

O início da doença é agudo ou subagudo, evoluindo entre duas e três semanas.(5) A forma de apresentação mais freqüente é a linfadenopatia cervical (74% a 90% dos casos) ou supraclavicular. As adenopatias têm geralmente um tamanho inferior a 3 cm, de consistência firme e às vezes dolorosa à palpação. A linfadenopatia generalizada ocorre em uma minoria (5% dos casos). O envolvimento extranodal é raro, mas já descrito nos rins, fígado, trato gastrointestinal, tireóide, paratireóides, adrenais e medula óssea.(6) O diagnóstico da DKF é feito através da biópsia de linfonodo. Esta deve ser feita para excluir condições mais graves que podem causar confusão, como linfoma, tuberculose e doença de Kawasaki.(1)

Embora existam diversas publicações com relatos de casos na literatura internacional(7-12) e algumas apresentações referidas em congressos nacionais,(13,14) não há casos semelhantes publicados em nosso meio.

Relato dos casos

Caso 1

Paciente feminina, de 28 anos, não-tabagista, com história de tratamento para pneumonia há um ano, procurou atendimento médico devido a discretos sintomas constitucionais e dor pleurítica em hemitórax esquerdo. A radiografia e tomografia de tórax evidenciaram consolidações bilaterais, com posterior escavação da consolidação em segmento posterior do lobo superior esquerdo (LSE). A baciloscopia do escarro foi negativa. O exame broncoscópico demonstrou mucosa brônquica do LSE hiperemiada e edemaciada, compatível com processo inflamatório. No lavado brônquico, a pesquisa de bacilo álcool-ácido resistente (BAAR) foi negativa e a cultura para Mycobacterium tuberculosis foi positiva (observação de crescimento de apenas duas colônias). Recebeu o esquema contendo rifampicina, isoniazida e pirazinamida (RHZ) por 6 meses, com melhora clínica e radiológica. Um ano após, consultou novamente com febre há três semanas, artralgias e aumento de linfonodos submandibulares. Os exames laboratoriais mostraram: hematócrito, 38,7%; hemoglobina, 13,1 g/dL; leucócitos, 2.180/mm3, com 569 linfócitos; velocidade de hemossedimentação (VHS), 27 mm; fator antinuclear (FAN) reagente (1:320), com padrão nuclear homogêneo; anti-DNA não-reagente; e fator reumatóide não-reagente. À radiografia de tórax, alterações de aspecto residual no LSE. Devido à história de tuberculose, foi reiniciado o tratamento com o esquema RHZ, que foi suspenso após o surgimento de rash cutâneo, com a substituição da pirazinamida por etambutol. O tratamento foi interrompido após 1 mês devido ao resultado da biópsia dos linfonodos: havia processo inflamatório xantogranulomatoso e necrosante, sem formação de granulomas e com extensa população de histiócitos xantomatosos (CD68 positivos); e pesquisa de BAAR e de fungos negativas. Os achados não foram sugestivos de tuberculose, sendo portanto considerada a possibilidade de DKF. A paciente foi tratada sintomaticamente, com melhora das artralgias e resolução da febre em 1 mês. Em 18 meses, não mais apresentou alterações clínicas, apresentando FAN não-reagente.

Caso 2

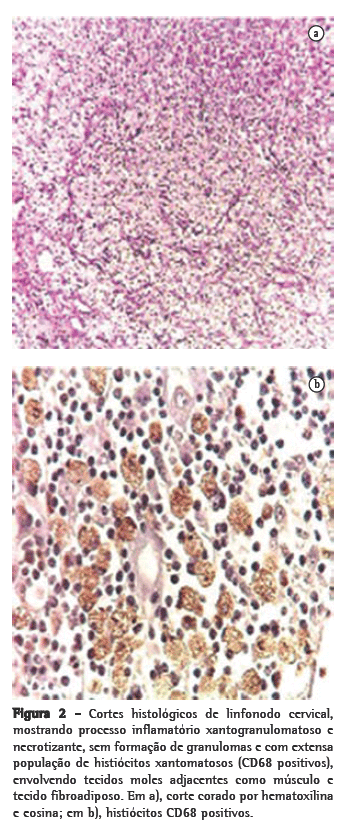
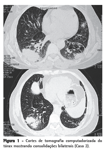
Paciente feminina, 58 anos, não-tabagista, iniciou com tosse, emagrecimento moderado, cansaço e dores articulares. Tinha antecedentes de asma na infância, com reinício após os 40 anos, que relacionava ao contato com tintas e solventes no trabalho. Uso inalatório diário de formoterol e budesonida 12/400 µg, com bom controle dos sintomas. A radiografia e tomografia de tórax mostravam consolidações bilaterais e algumas bronquiectasias em lobos inferiores (Figura 1). Os exames laboratoriais revelaram: hematócrito, 41,1%; hemoglobina, 13,7 g/dL; leucócitos, 8.970/mm3, com linfopenia (1.076 linfócitos); plaquetas, 285.000; FAN reagente (1:160), com padrão nuclear pontilhado; VHS, 56 mm; e proteína C reativa, 27,60 mg/L. Na época, suspeitou-se granulomatose de Wegener, pela presença no soro de antineutrophil cytoplasmic antibody (ANCA, anticorpo anticitoplasma de neutrófilos). Não foi notado comprometimento das vias aéreas superiores. Foi iniciada terapêutica com ciclofosfamida. Ainda no primeiro mês, foi notado um aumento do gânglio cervical anterior esquerdo. À biópsia do linfonodo, foi identificada linfadenite crônica granulomatosa com extensa necrose não-caseosa (Figura 2). A pesquisa de BAAR foi negativa. Pela suspeita de tuberculose, recebeu o esquema RHZ por 6 meses, apresentando melhora clínica. Entretanto, nos dois anos seguintes, persistiu com cansaço, dores articulares, episódios pneumônicos circunscritos e lesão oral na base da língua nos últimos 6 meses, fazendo uso temporário de corticosteróides sistêmicos e antibióticos (5 a 6 vezes, por 10 a 14 dias). Com o incremento desses sintomas, procurou novamente atendimento. Exames laboratoriais mostraram FAN 1:80, padrão nuclear homogêneo; anti-DNA não-reagente, linfopenia e VHS de 65 mm. A revisão do diagnóstico anatomopatológico confirmou linfadenite crônica granulomatosa com necrose e numerosos histiócitos vacuolados, presença de células gigantes tipo Langerhans e pesquisa de BAAR e de fungos negativas. Adicionalmente, foi realizado painel de imunohistoquímica: CD68 (KP-1) positivo (histiócitos xantomatosos) e mieloperoxidase negativa, sugestivo de DKF (Figura 2). Considerou-se então estar a paciente apresentando evolução combinada da doença (não diagnosticada há dois anos) com lúpus eritematoso sistêmico (LES), passando a ficar controlada pelo acréscimo de azatioprina oral (100 mg/dia) e prednisona (40 mg/dia) progressivamente descontinuada, com melhora clínica e dos exames laboratoriais e tomográficos, em 1 mês.
 



 




Discussão

Descrevemos dois casos de DKF. A incidência real desta doença é estimada entre 0,5% a 5% de todas as adenopatias analisadas histologicamente.(15) Em um estudo retrospectivo de 1.724 amostras de biópsias de linfonodos, a DKF foi encontrada em 36 casos.(16) Numerosos agentes infecciosos têm sido propostos como estímulos antigênicos, como vírus Epstein-Barr, herpervírus tipos 6 e 8, HIV, parvovírus B19, vírus parainfluenza, Yersinia spp. e toxoplasma.(1) Em nossa casuística, as duas pacientes ­apresentaram consolidações bilaterais, compatíveis com processo infeccioso ou inflamatório. Não foi identificado nenhum germe infeccioso, mas é possível que isso tenha sido o estímulo antigênico para o desenvolvimento da DKF.

Os casos típicos ocorrem geralmente em mulheres jovens, como no caso da primeira paciente (28 anos). Entretanto, a idade dos pacientes pode variar de 6 a 80 anos.(1)

A febre é o sintoma inicial entre 30% e 50% dos pacientes. Também são encontrados como sintomas a fadiga, dores articulares, rash cutâneo, artrite e hepatoesplenomegalia. Entre os achados laboratoriais, são citados leucopenia, elevação da VHS e anemia. Sintomas sistêmicos são mais proeminentes com o envolvimento extranodal.(1) A primeira paciente desenvolveu rash cutâneo, atribuído inicialmente a um efeito adverso dos tuberculostáticos, não se podendo descartar que seja secundário à DKF.

A DKF tem algumas características em comum com o LES, como o sexo e a idade das pacientes, assim como as alterações histológicas, sendo considerada por alguns uma síndrome lupus-like.(1) Foi proposto que esta doença poderia ser uma manifestação do LES(6) ou evoluir para LES, justificando-se a vigilância destes pacientes através de testes imunológicos como o FAN. Os pacientes podem apresentar FAN, anti-RNP, anti-DNA e anticoagulante lúpico positivos.(17) Nossas duas pacientes apresentaram FAN reagente. A segunda paciente apresentou ANCA positivo no início do quadro. Não encontramos descrição de caso de DKF com ANCA positivo; entretanto, sabe-se que estes anticorpos podem estar presentes em diversas doenças auto-imunes como o LES, e a paciente que descrevemos evoluiu posteriormente para LES. Outras condições auto-imunes como a síndrome do anticorpo antifosfolipídeo, polimiosite, doença de Still, uveíte, esclerodermia, tireoidite, hemorragia pulmonar e doença pulmonar intersticial podem estar associadas com a DKF.(5,17)

Pode haver confusão diagnóstica com linfoma e metástase de adenocarcinoma.(18) O diagnóstico diferencial da DKF deve ser feito com LES, linfomas, adenocarcinoma, infecção por Yersinia spp., toxoplasmose, mononucleose, AIDS, vasculites e doença de Kawasaki.(19) Devido ao envolvimento multissistêmico e à resolução espontânea das linfadenopatias, a sarcoidose também pode entrar no diagnóstico diferencial.(19)

Alguns autores descreveram um caso de um paciente com DKF e tuberculose pulmonar concomitantes.(20) Na Índia, também há casos relatados. Porém, em países de alta prevalência para tuberculose, o diagnóstico concomitante deve ficar bem esclarecido.(1,16)

A DKF caracteriza-se histologicamente por gânglios com focos de necrose paracortical cercados de agregados de histiócitos.(6) São descritos três quadros histológicos: proliferativo, necrosante e xantomatoso, que corresponderiam a fases evolutivas ou seqüenciais, a diferentes agentes etiológicos ou mesmo a diferenças nas respostas inflamatórias dos pacientes.(18)

Alguns autores descreveram 25 casos de DKF. Desta série, dois pacientes haviam recebido quimioterapia para tratamento de linfoma, e dois pacientes foram tratados com tuberculostáticos antes do resultado da biópsia.(3) No segundo caso que relatamos, a paciente recebeu tratamento para granulomatose de Wegener e para tuberculose pulmonar antes do diagnóstico final. Como a terapêutica empírica pode ser potencialmente tóxica, é importante considerar a DKF no diagnóstico diferencial de linfadenopatias cervicais em mulheres jovens.

Não há tratamento efetivo. Os sinais e sintomas resolvem geralmente dentro de 4 meses.(5) Pacientes com sintomas mais graves ou persistentes têm sido tratados com corticosteróides. Deve-se fazer acompanhamento em longo prazo devido às recorrências da doença (em até 3% dos casos) e pela possibilidade de desenvolvimento de LES.(1,18) Nossa segunda paciente apresentou tal evolução em dois anos de acompanhamento.

A presença de febre e linfadenopatia cervical, especialmente em mulheres jovens, devem lembrar a possibilidade de DKF.

Referências


1. Richards MJ. Kikuchi's disease. UpToDate [cited 2007 Aug, version 15.3]. Available from: http://www.uptodate.com/patients/content/topic.do;jsessionid=C5D9967BC119B2367198967022B688F4.1102?topicKey=~S7j/7LBd.4veB5o&selectedTitle=4~6&source=search_result

2. Cho KJ, Lee SS, Khang SK. Histiocytic necrotizing lymphadenitis. A clinico-pathologic study of 45 cases with in situ hybridization for Epstein-Barr virus and hepatitis B virus. J Korean Med Sci. 1996;11(5):409-14.

3. Menasce LP, Banerjee SS, Edmondson D, Harris M. Histiocytic necrotizing lymphadenitis (Kikuchi-Fujimoto disease): continuing diagnostic difficulties. Histopathology. 1998;33(3):248-54.

4. Bosch X, Guilabert A. Kikuchi-Fujimoto disease. Orphanet J Rare Dis. 2006;1:18.

5. Bosch X, Guilabert A, Miquel R, Campo E. Enigmatic Kikuchi-Fujimoto disease: a comprehensive review. Am J Clin Pathol. 2004;122(1):141-52.

6. Calvo Romero JM. Enfermedad de Kikuchi-Fujimoto (linfadenitis necrotizante histiocitaria). Rev Clin Esp. 2002;202(2):94-95.

7. Famularo G, Giustiniani MC, Marasco A, Minisola G, Nicotra GC, De Simone C. Kikuchi Fujimoto lymphadenitis: case report and literature review. Am J Hematol. 2003;74(1):60-3.

8. Bennie MJ, Bowles KM, Rankin SC. Necrotizing cervical lymphadenopathy caused by Kikuchi-Fujimoto disease. Br J Radiol. 2003;76(909):656-8.

9. Mahajan T, Merriman RC, Stone MJ. Kikuchi-Fujimoto disease (histiocytic necrotizing lymphadenitis): report of a case with other autoimmune manifestations. Proc (Bayl Univ Med Cent). 2007;20(2):149-51.

10. Rodríguez Martorell J, Martín MV, Báez JM, Gil JL. Kikuchi-Fujimoto necrotizing lymphadenitis associated with brucellosis [Article in Spanish]. Sangre (Barc). 1992;37(3):201-4.

11. Kucukardali Y, Solmazgul E, Kunter E, Oncul O, Yildirim S, Kaplan M. Kikuchi-Fujimoto Disease: analysis of 244 cases. Clin Rheumatol. 2007;26(1):50-4.

12. Godoi D, Moraes DA, Fonte CAM, Silva LM, Petean FC, Oliveira FR, et al. Doença de Kikuchi-Fujimoto: relato de um caso. In: XXIV Congresso Brasileiro de Reumatologia; 2002 Sep 15-20; Goiânia, Brazil: Academia Brasileira de Reumatologia; p. S68.

13. Oliveira RCV, Muglia VF, Bellucci AD, Louzada P, Santos AC, Elias Jr J, et al. Doença de Kikuchi-Fujimoto: uma causa rara de síndrome do lobo médio. In: 33rd Jornada Paulista de Radiologia; 2003 May 1-4, São Paulo, Brazil: Sociedade Paulista de Radiologia e Diagnóstico por Imagem; 2003.

14. Parappil A, Rifaath AA, Doi SA, Pathan E, Surrun SK. Pyrexia of unknown origin: Kikuchi-Fujimoto disease. Clin Infect Dis. 2004;39(1):138-43.

15. Infante MJ, Lovillo C, Santaella IO, Checa RM, González MR. Enfermedad de Kikuchi-Fujimoto como causa de linfadenopatías. An Pediatr (Barc). 2007;67(1):83-5.

16. Mohan A, Reddy MK, Phaneendra BV, Chandra A. Aetiology of peripheral lymphadenopathy in adults: analysis of 1724 cases seen at a tertiary care teaching hospital in southern India. Natl Med J India. 2007;20(2):78-80.

17. Reichert A, Correia T, Freitas O, Almeida T, Rosado L. Doença de Kikuchi - Fujimoto. Acta Med Port. 2005;18(3):231-4.

18. Veja GE, Martín CV, Ruiz-Capillas JJ, Rojas MG, Calvet CL, Lázaro FB, et al. Linfadenitis histiocítica necrotizante de Kikuchi. Rev Clin Esp. 2003;203(7):343-5.

19. Sharma OP. Unusual systemic disorders associated with interstitial lung disease. Curr Opin Pulm Med. 2001;7(5):291-4.

20. Malagón MJ, García JL, Cansino MD, Jiménez FR. Enfermedad de Kikuchi-Fujimoto y tuberculosis pulmonar, una asociación poco frecuente. Rev Clin Esp. 2003;203(10):507-11.





Trabalho realizado no Departamento de Medicina Interna, Faculdade de Medicina, Universidade Federal do Rio Grande do Sul - UFRGS - Porto Alegre (RS) Brasil.
1. Professor Associado. Departamento de Medicina Interna, Faculdade de Medicina, Universidade Federal do Rio Grande do Sul - UFRGS - Porto Alegre (RS) Brasil.
2. Médica Pneumologista. Universidade Federal do Rio Grande do Sul - UFRGS - Porto Alegre (RS) Brasil.
3. Professor. Serviço de Reumatologia, Hospital São Lucas, Pontifícia Universidade Católica do Rio Grande do Sul - PUC-RS - Porto Alegre (RS) Brasil.
4. Médica Patologista. Anatpat Laboratório Patologia, Hospital Moinhos de Vento, Porto Alegre (RS) Brasil.
Endereço para correspondência: Rogério Gastal Xavier. Av. Soledade, 478, CEP 90470-340, Porto Alegre, RS, Brasil.
Tel 55 51 3331-8664. E-mail: rxavier@terra.com.br
Apoio financeiro: Nenhum.
Recebido para publicação em 25/3/2008. Aprovado, após revisão, em 15/4/2008.

Indexes

Development by:

© All rights reserved 2025 - Jornal Brasileiro de Pneumologia