Continuous and bimonthly publication
ISSN (on-line): 1806-3756

Licença Creative Commons
15640
Views
Back to summary
Open Access Peer-Reviewed
Case Report

Insuficiência respiratória aguda após exposição a conservantes de alimentos

Acute respiratory failure after occupational exposure to food preservatives

Maria Auxiliadora Carmo Moreira, Luiz Carlos da Cunha, Tereza Yoshie Ikegami, José Laerte Rodrigues da Silva Junior

ABSTRACT

Herein, we report an instance of occupational exposure to food preservatives and resultant acute respiratory failure in three workers. The toxicological analysis revealed that mixing the particular food preservatives involved, a procedure that was performed by the three workers involved, produced NO2, the inhalation of which caused the pulmonary edema and respiratory failure. With time, the pulmonary damage was completely reversed in all three individuals. Accompanying this case report is a brief review of the literature regarding acute pulmonary injury resulting from occupational exposure to chemicals. We emphasize the importance of training, as well as of the use of protective gear, for workers who handle chemical substances.

Keywords: Respiratory insufficiency; Occupational exposure; Occupational diseases; Case report

RESUMO

Este é um relato de caso de exposição ocupacional a conservantes de alimentos que resultou em insuficiência respiratória aguda em três trabalhadores. A análise toxicológica demonstrou que a mistura dos conservantes, por eles realizada, produziu NO2 que inalado causou quadro compatível com edema pulmonar e insuficiência respiratória aguda. Na evolução, o dano pulmonar regrediu de forma completa nos três indivíduos. Faz-se uma breve revisão sobre dano pulmonar agudo relacionado a exposição ocupacional. Enfatiza-se a importância do treinamento dos trabalhadores que manipulam substâncias químicas bem com da utilização de equipamentos de proteção adequados.

Palavras-chave: Descritores: Insuficiência respiratória; Exposição ocupacional; Doenças ocupacionais; Relatos de casos

INTRODUÇÃO

Nas atividades laborativas industriais a inalação é o modo mais comum de exposição ocupacional a substâncias nocivas ao aparelho respiratório. Entre 1992 e 1998, nos EUA, foi relatada pelo Departamento de Trabalho uma média anual de 11.000 casos de exposição respiratória ocupacional a substâncias nocivas. Nesse mesmo período, a mortalidade do grupo foi em média de 68 trabalhadores expostos a cada ano.(1)

Nas atividades industriais e agrícolas a manipulação de substâncias químicas nem sempre obedece às normas básicas de segurança. Há, freqüentemente, falta de conhecimento do trabalhador a respeito dos possíveis riscos da exposição, bem como dos cuidados necessários na manipulação dos produtos. Não é incomum acontecer, inadvertidamente, mistura ou dissolução em água de duas ou mais substâncias químicas durante o preparo para o uso, o que pode gerar novas substâncias voláteis tão ou mais nocivas que os produtos originais.(2)

O caso que relatamos a seguir ilustra as considerações acima. O objetivo principal deste relato é chamar a atenção para a existência de exposições ocupacionais que podem levar a quadros agudos, às vezes graves, os quais precisam ser diagnosticados prontamente, notificados e, sobretudo, prevenidos.

RELATO DO CASO

Após a mistura de substâncias utilizadas como conservantes de alimentos, três trabalhadores de uma indústria de lingüiças foram expostos a um gás de coloração amarelada, por um período de 40 a 60 minutos. Conforme a descrição contida no rótulo das embalagens, foram utilizados os antioxidantes 300 e 316, o acidulante 330, o sal conservante 250, dissolvidos em 45 litros de água. A numeração citada corresponde, na lista de produtos químicos disponibilizada pela Agência Nacional de Vigilância Sanitária,(3) respectivamente, a ácido ascórbico, eritorbato de sódio, ácido cítrico e nitrito de sódio. Os trabalhadores estavam com mais outros três colegas em uma sala fechada, com ar condicionado ligado e o ambiente ficou totalmente impregnado com gás amarelado. Segundo um dos trabalhadores, todos que estavam na sala onde foi realizada a mistura apresentaram sintomas respiratórios de tosse seca e dispnéia leve. Os sintomas foram mais intensos nele e em um colega de mesma função, os quais se encontravam próximos ao local da mistura, e no subgerente, que a realizou.

O Laboratório de Análises Toxicológicas da Universidade Federal de Goiás realizou análise do vapor produzido após misturar os ingredientes utilizados pelos pacientes, ou seja, ácido ascórbico, eritorbato de sódio, ácido cítrico e nitrito de sódio, em meio aquoso, numa proveta de um litro, em capela, em quantidades proporcionais àquelas recomendadas para o preparo da solução de cura da carne. Houve produção de elevada quantidade de vapor de cor marrom-amarelada, irritante para os olhos (mesmo em capela e com uso de equipamento de proteção individual), compatível com o padrão de coloração do dióxido de nitrogênio (NO2) - "vapor nitroso". O óxido nítrico é incolor. Uma amostra do vapor foi colocada em contato com papéis embebidos com reagentes apropriados para identificação de óxidos de nitrogênio, quais sejam: papel úmido de tornassol azul que, quando em contato com os óxidos de nitrogênio, fica vermelho, e papel de iodeto de potássio amidado (iodeto de potássio a 2% contendo 1% de amido solúvel), que fica corado de azul, quando em contato com o óxido nítrico e o NO2.(4) O teste com os dois reagentes foi positivo para óxidos de nitrogênio e, considerando-se a coloração do gás observada após a mistura das substâncias, concluiu-se que se tratava de NO2.

Não foi relatada presença de qualquer outro aerodispersóide no ambiente.
A seguir são apresentados os dados clínicos dos três trabalhadores.
Um dos pacientes era um homem pardo, de 28 anos, residente em Goiânia (GO), auxiliar de produção de uma fábrica de lingüiças, que procurou atendimento de emergência no Hospital das Clínicas da Universidade Federal de Goiás. Após a exposição, iniciou quadro de dor torácica difusa, irritação nos olhos, náuseas e vômitos. Relatou que saiu do local, mas, mesmo assim, os sintomas intensificaram-se, surgindo tosse seca e dispnéia que rapidamente progrediu, passando o paciente a apresentá-la, inclusive, em repouso. O paciente era previamente hígido, não tabagista, negava enfermidades anteriores e não fazia uso de qualquer medicação rotineiramente. Negava antecedentes familiares dignos de nota. Ao exame físico apresentava-se em bom estado geral, taquipneico, cianótico +/4, com murmúrio vesicular fisiológico com estertores finos difusos bilateralmente, freqüência respiratória de 25 irm, freqüência cardíaca de 90 bpm, pressão arterial de 120 x 80 mmHg, saturação periférica de oxigênio de 85% em ar ambiente, sem mais alterações em outros órgãos ou sistemas.

A radiografia simples do tórax, na admissão, mostrava infiltrado interstício-alveolar difuso (Figura 1). A gasometria com oxigênio por máscara facial a 8 l/min apresentou pH de 7,40, pressão arterial de oxigênio de 65 mmHg, pressão arterial de gás carbônico de 40 mmHg e saturação arterial de oxigênio de 92%. O teste rápido para o vírus da imunodeficiência humana foi negativo.






O paciente foi admitido na unidade de terapia intensiva, onde recebeu suplementação de oxigênio por máscara facial e hidrocortisona a 5mg/kg de seis em seis horas por três dias. Apresentou piora transitória do quadro clínico com aumento da dispnéia, persistência da tosse seca, retenção de gás carbônico (pressão arterial de gás carbônico de 54 mmHg), sem febre ou alteração da imagem radiológica. Foi mantido sem cobertura antibiótica e iniciou-se a administração de metilprednisolona a 1 g/dia por três dias, com melhora clínica progressiva e resolução completa da imagem radiológica no terceiro dia após o uso da metilprednisolona. O paciente recebeu prednisona a 1 mg/kg por três dias, completando dez dias de uso de corticosteróide e tornou-se assintomático. Na alta hospitalar realizou gasometria arterial, espirometria e teste de difusão do monóxido de carbono, que mostraram resultados normais.

Um segundo paciente era um homem branco, de 33 anos, também residente em Goiânia, subgerente de produção da mesma fábrica de lingüiças. Este paciente informou que realizou a mistura dos produtos citados no caso anterior, sofrendo exposição de aproximadamente 40 minutos. Relatou dispnéia e tosse seca no início da exposição, seguidas por vômitos e dor torácica difusa. Apresentou piora progressiva dos sintomas associada a febre não medida. Relatou que era a primeira vez que manuseava aquela marca de produtos e que os usados anteriormente não liberavam gás quando misturados. Não apresentava antecedentes dignos de nota, exceto tabagismo havia aproximadamente dez anos (dois a três cigarros por dia). Na admissão estava em bom estado geral, eupnéico, afebril, com murmúrio vesicular fisiológico com estertores finos em bases e terço médio dos campos pulmonares. A saturação periférica de oxigênio era de 96% em ar ambiente. Os demais órgãos e sistemas apresentavam-se sem alterações. A radiografia simples do tórax na admissão mostrava infiltrado interstício-alveolar difuso (Figura 2). Ele recebeu alta do setor de emergência com prescrição de prednisona a 40 mg/dia por cinco dias, e depois a 20 mg/dia até o décimo dia, associada a amoxicilina a 1.500 mg/dia por dez dias.





Apresentou melhora progressiva, estando assintomático já no terceiro dia da medicação. Retornou para acompanhamento ambulatorial no oitavo dia após a exposição, quando realizou radiografia de tórax, espirometria, gasometria arterial e teste de difusão do monóxido de carbono, que apresentaram resultados normais.

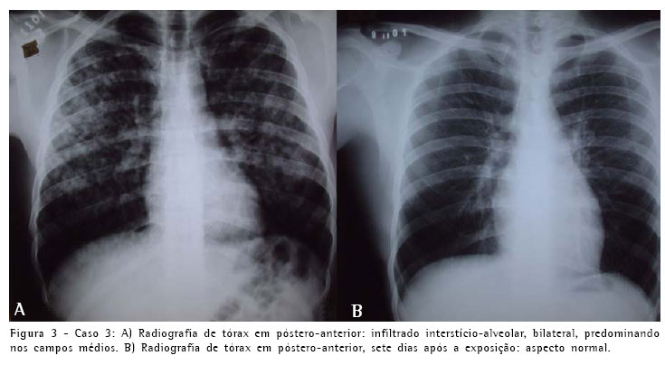
O outro paciente era um homem branco, de 19 anos, também residente em Goiânia, auxiliar de produção, que estava trabalhando junto com os outros pacientes, e que foi submetido à exposição ambiental concomitante pelo período de uma hora. Procurou atendimento de emergência no mesmo hospital, acompanhado pelo paciente primeiramente relatado. Queixava-se de dispnéia que se iniciou durante a exposição, com piora progressiva, associada a tosse seca intensa. Este paciente não referia sintomas relacionados ao sistema digestivo ou irritação de mucosa ocular ou nasal. Previamente hígido, negava tabagismo ou qualquer enfermidade importante e não fazia uso de medicação de rotina. Não tinha antecedentes de doenças familiares dignos de nota. Na admissão estava em bom estado geral, taquipnéico, cianótico +/4, com murmúrio vesicular fisiológico com estertores finos difusos. Os demais órgãos ou sistemas apresentavam-se sem alterações. A saturação periférica de oxigênio em ar ambiente era de 84%. A radiografia simples de tórax, de modo semelhante ao dos pacientes anteriores, mostrava infiltradoalveolar difuso e com áreas de confluência (Figura 3). O paciente foi hospitalizado em outro hospital da rede do Sistema Único de Saúde, por cinco dias, onde recebeu gatifloxacina na dose de 500 mg/dia, não tendo sido tratado com corticosteróides. Apresentou melhora clínica, e recebeu alta assintomático. Retornou ao Hospital das Clínicas da Universidade Federal de Goiás para acompanhamento ambulatorial oito dias após a exposição, quando realizou radiografia de tórax, espirometria, gasometria arterial e teste de difusão do monóxido de carbono, que apresentaram resultados normais.





O quadro clínico e radiológico dos três pacientes foi compatível com edema pulmonar e insuficiência respiratória aguda. A evolução revelou-se favorável e no seguimento clínico, radiológico (Figuras 1, 2 e 3) e de função pulmonar por dezoito meses não apresentaram nenhuma repercussão respiratória.

DISCUSSÃO

O dano causado no aparelho respiratório, após exposição a substâncias químicas, depende de vários fatores como duração da exposição, proximidade da fonte da substância, toxicidade da substância, solubilidade em água, padrão respiratório do indivíduo (volume minuto), e respiração nasal ou bucal.(2,5)

A solubilidade da substância em meio aquoso favorece a difusão através da mucosa, após a sua dissolução no muco brônquico, que contém alto teor de água (95%). Substâncias muito solúveis tendem a ser absorvidas nas vias aéreas maiores. Aquelas de menor solubilidade chegam às vias aéreas inferiores e são absorvidas onde há maior superfície, como nos alvéolos e vias aéreas terminais.

As substâncias nocivas ao aparelho respiratório podem causar asfixia, como o nitrogênio, o metano e o monóxido de carbono, ou ter ação irritativa, como o dióxido de enxofre, a amônia, e o fosfogênio. O óxido de nitrogênio tem ação irritativa, baixa solubilidade em água e ação asfixiante através da diminuição da capacidade de transporte de oxigênio.

São inúmeras as substâncias capazes de provocar edema pulmonar e pneumonite química, entre elas o acetaldeído, cloro, oxido de nitrogênio, ozônio, e a fumaça de incêndio.(5)

Os pacientes cujos quadros clínicos relatamos foram expostos a substâncias utilizadas como conservantes de alimentos e antioxidantes, o ácido ascórbico e o eritorbato de sódio, sendo que o primeiro é irritante para os olhos, pele e aparelho respiratório. Houve também exposição a ácido cítrico, que apresenta o mesmo efeito irritativo do ácido ascórbico.
Os pacientes referiram manuseio habitual destas substâncias anteriormente, sem grandes repercussões. No dia em que apresentaram os sintomas, utilizaram também nitrito de sódio, o qual não usavam habitualmente.

De acordo com dados do International Chemical Safety Cards do National Institute for Occupational Safety and Health,(6) o nitrito de sódio decompõe-se na presença de ácidos, produzindo óxidos de nitrogênio.
Havia na solução preparada pelos trabalhadores ácido cítrico e ácido ascórbico. O ácido cítrico reage com oxidantes e o nitrito de sódio é um forte oxidante.

Com relação aos óxidos de nitrogênio, o NO2 é irritante local mais potente do que o óxido nítrico, sob as mesmas condições de exposição, sendo que este último é oxidado a NO2, na presença de oxigênio.(6) Além de irritante local, o NO2, depois de inalado, pode levar a edema pulmonar no trato respiratório inferior, com quadro inflamatório. Ele é convertido em nitrato que, por sua vez, possui propriedades metahemoglobinizantes, acentuando a anóxia tecidual e contribuindo para uma cianose mais profunda.(6-8)

Concentrações de óxido nítrico de 25 ppm e de NO2 de 5 ppm já podem provocar intoxicações agudas. Sob níveis de NO2 de 100 a 150 ppm, a toxicidade ocorre dentro de 30 a 60 minutos e, sob níveis de 200 a 270 ppm, a letalidade pode ocorrer após curto tempo de exposição,(9) sendo que a apresentação clínica da injúria depende da duração e da intensidade da exposição.

O óxido nítrico pode produzir lesão aguda e tardia do aparelho respiratório. Pode haver, nos expostos, irritação leve do trato respiratório superior, e eles podem permanecer algumas horas assintomáticos e, depois de um período de três a 24 horas de latência, podem ter sintomas típicos de edema agudo de pulmão, não cardiogênico, que leva à falência respiratória. Entretanto, nos casos de exposição acentuada, o edema agudo pode se instalar instantaneamente, com êxito letal em 24 horas.(8)

Após a inalação podem ocorrer tosse, chiado no peito, dispnéia, febre e adinamia. No exame físico dos pacientes expostos, observam-se sibilos e estertores pulmonares.(9) A radiografia de tórax pode ser normal ou mostrar imagens de edema pulmonar. As alterações radiológicas normalmente se restringem a consolidações nodulares difusamente distribuídas. Os pacientes usualmente respondem a corticosteróides, especialmente quando administrados precocemente, mas a exposição pode ser fatal. Antibióticos profiláticos têm sido sugeridos, devido à possibilidade de infecção bacteriana após lesão extensa da mucosa respiratória ocasionada pela inalação tóxica. Todavia, é conveniente utilizar antibioticoterapia apenas se surgirem sinais de infecção respiratória.(10) Após a resolução do edema, o paciente pode ficar assintomático por duas a oito semanas e depois deste período pode, raramente, desenvolver bronquiolite obliterante, que se manifesta por reaparecimento da tosse, dispnéia, sibilos, estertores e constitui complicação grave. A maioria dos casos de inalação ocupacional de óxidos de nitrogênio provém do trabalho em silos de armazenagem de cereais.(11) Os silos podem conter NO2, óxido nítrico e dióxido de carbono, como resultado da decomposição vegetal na presença de altos níveis de nitrato.(8)

O quadro clínico e radiológico dos três pacientes foi compatível com edema pulmonar e insuficiência respiratória aguda. A evolução revelou-se favorável e no seguimento clínico, radiológico e de função pulmonar por dezoito meses, não apresentaram nenhuma repercussão respiratória.

É pertinente enfatizar a necessidade de hospitalização do paciente e observação rigorosa nas primeiras 24 horas após a exposição a óxidos de nitrogênio, já que pode haver, após um período sem sintomas, o aparecimento de edema pulmonar mais tardiamente.

Deve-se estar atento para as inúmeras possibilidades de exposição ocupacional a substâncias químicas nocivas ao aparelho respiratório, com repercussões às vezes graves, como insuficiência respiratória por edema pulmonar agudo. Estes eventos podem ser prevenidos pelo uso de equipamentos de proteção coletiva e individual adequados e através de treinamento dos trabalhadores quanto ao manuseio correto destas substâncias. As normas de segurança preconizadas devem ser rigorosamente seguidas evitando-se, por exemplo, quando se usa mais de uma destas substâncias, a mistura inadvertida e não recomendada, ou o uso de concentrações acima das consideradas seguras. É preciso que se realize treinamento quando da utilização de novos produtos que, embora possam ter a mesma finalidade que os anteriores, exigem o uso de técnicas de manuseio diferentes, muitas vezes desconhecidas pelos trabalhadores.

REFERÊNCIAS

1. Valent F, McGwin G Jr, Bovenzi M, Barbone F. Fatal work-related inhalation of harmful substances in the United States. Chest. 2002;121(3):969-75.
2. Shusterman D. Sequelae of respiratory tract exposures to irritant chemicals. American College of Chest Physicians. PCCU Online [serial on the Internet]. 2004 [cited 2004 Nov 20]; 15:[about 4p.]. Available from: http://www.chestnet.org/education/online/pccu/vol15/index.php
3. Brasil. Ministério da Saúde. Agência Nacional de Vigilância Sanitária. Sistema Internacional de Numeração de Aditivos Alimentares [texto na Internet]. [citado 2004 Nov 20]. Disponível em: http://www.anvisa.gov.br/alimentos/aditivo.htm#2
4. Brito Filho DB. Toxicologia humana e geral. 2a ed. Rio de Janeiro: Atheneu, 1988. p. 66-8.
5. Shusteman D. Upper and lower airway sequelae of irritant inhalations. Clin Pulm Med. 1999;6(1):18-31.
6. EUA. International Labour Organization. International Chemical Safety Cards (ICSCs) [homepage on the Internet]. [cited 2004 nov 20]. Available from:http://www.ilo.org/public/english/protection/safework/cis/care/ Medproducts/icsc
7. Klaassen CD, Watkins III JB. Toxicologia: a ciência básica dos tóxicos de Casarett & Doull. Lisboa: McGraw-Hill de Portugal; 2001;292-3;348-72.
8. Bur A, Wagner A, Röggla M, Berzlanovic A, Herkner H, Sterz F, Laggner AN. Fatal pulmonary edema after nitric acid inhalation. Resuscitation. 1997; 35(1): 33-6.
9. Ellenhorn MJ, Barceloux DG. Nitrogen Oxides. In: Ellenhorn MJ, Schonwald S, Ordog G. Medical toxicology : diagnosis and treatment of human poisoning. 2a ed. Baltimore: Williams & Wilkins; 1997. p.1519-21.
10. Smith DD. Acute inhalation injury. Clin Pulm Med. 1999; 6(4):224-35.
11. Schenker MB, Christiani D, Cormier Y, et al. Respiratory health hazards in agriculture. Am J Respir Crit Care Med. 1998;158(5 Pt 2):S25-S28.
________________________________________________________

* Trabalho realizado na Faculdade de Medicina da Universidade Federal de Goiás - UFG - Goiânia (GO) Brasil.
1. Professora Adjunta Chefe do Serviço de Pneumologia da Faculdade de Medicina da Universidade Federal de Goiás
- UFG - Goiânia (GO) Brasil.
2. Professor Adjunto da Faculdade de Farmácia da Universidade Federal de Goiás - UFG - Goiânia (GO) Brasil.
3. Médica do Hospital das Clínicas da Universidade Federal de Goiás - UFG - Goiânia (GO) Brasil.
4. Médico Pneumologista do Hospital Santa Genoveva - Goiânia (GO) Brasil.
Endereço para correspondência: Maria Auxiliadora Carmo Moreira. Hospital das Clínicas da UFG. Primeira Avenida S/N - Setor Universitário - CEP: 74605-090, Goiânia (GO) Brasil .
Recebido para publicação, em 17/2/05. Aprovado, após revisão, em 31/3/05.

Indexes

Development by:

© All rights reserved 2025 - Jornal Brasileiro de Pneumologia