Continuous and bimonthly publication
ISSN (on-line): 1806-3756

Licença Creative Commons
20199
Views
Back to summary
Open Access Peer-Reviewed
Case Report

Aspergilose broncopulmonar alérgica com imagem radiológica em "dedo de luva"

Allergic bronchopulmonary aspergillosis presenting a glove-finger shadow in radiographic images

Marta Elizabeth Kalil, Ana Luiza Godoy Fernandes, Aline Cristinane da Silva Curzel, Márcio Zamuner Cortez, Gláucia Cristina Godinho Alves Lima

ABSTRACT

Allergic bronchopulmonary aspergillosis is a lung disease occurring in patients with asthma or cystic fibrosis, triggered by a hypersensitivity reaction to the presence of Aspergillus fumigatus in the airways. We report herein the case of a patient presenting a clinical profile suggestive of asthma and meeting the clinical, laboratory testing and radiological criteria for a diagnosis of allergic bronchopulmonary aspergillosis. The importance of such findings is that early diagnosis can reduce the risk of respiratory exacerbations and fibrosis.

Keywords: Asthma; Bronchiectasis; Aspergillus fumigatus; Aspergillosis, allergic bronchopulmonary

RESUMO

A aspergilose broncopulmonar alérgica é uma doença pulmonar que ocorre em pacientes com asma ou fibrose cística, desencadeada pela reação de hipersensibilidade à presença do fungo Aspergilus fumigatus nas vias aéreas. Relatamos aqui um caso em que uma paciente com quadro clínico sugestivo de asma apresentou critérios clínicos, laboratoriais e radiológicos compatíveis com o diagnóstico de aspergilose broncopulmonar alérgica. A importância de tais achados deve-se ao fato de que quanto mais precocemente for feito o diagnóstico, menores serão os riscos de agravamento do quadro respiratório e de aparecimento de fibrose.

Palavras-chave: Asma; Bronquiectasia, Aspergillus fumigatus; Aspergilose broncopulmonar alérgica

INTRODUÇÃO

A aspergilose broncopulmonar alérgica (ABPA) é uma doença pulmonar de pacientes asmáticos e indivíduos com fibrose cística, mediada por uma resposta alérgica a múltiplos antígenos expressados pelo
Aspergilus fumigatus que coloniza o muco brônquico.(1)

Alguns autores preferem denominar a condição micose broncopulmonar alérgica, considerando que além do A. fumigatus outros fungos como o Aspergilus flavus, Candida, Penicillium, Curvularia e Dreschleria também podem colonizar os brônquios e induzir resposta imune semelhante.(1)

A ABPA caracteriza-se por episódios repetidos de obstrução brônquica, inflamação e impactação mucóide, podendo levar a bronquiectasias, fibrose e comprometimento respiratório irreversíveis, caso não seja precocemente diagnosticada e corretamente tratada.(2)

A ABPA é mais diagnosticada hoje do que no passado. Estima-se que a ABPA está presente em 2% a 28% dos pacientes asmáticos e em 2% a 15% dos portadores de fibrose cística. As freqüências de 28% e de 15% são encontradas pelos pneumologistas e alergologistas, enquanto que a de 2% o é pelos clínicos gerais. Essa variabilidade na freqüência de diagnóstico sugere que os pneumologistas e alergologistas, por conhecerem mais a ABPA, investigam e a diagnosticam com maior freqüência, em comparação com os clínicos gerais.(1)

Relatamos aqui um caso que evidencia achados interessantes na história clínica, na radiologia simples do tórax e nos exames laboratoriais, tendo por objetivo destacar a importância da suspeita de ABPA em asmáticos. Em caso de confirmação de ABPA, o tratamento será distinto daquele preconizado ao indivíduo exclusivamente asmático, portanto a precocidade do diagnóstico acarretará melhor prognóstico.

RELATO DO CASO

Uma mulher, de 42 anos de idade, arquiteta, referia tosse havia dez anos, com início na época em que passava as férias numa casa de praia, onde notou cheiro intenso de mofo. Desde então vinha apresentando períodos de crise de tosse, ora seca, ora com expectoração esverdeada e espessa. Além do mofo, outros fatores mencionados como desencadeantes da tosse foram poeira, tempo frio e o ato de dar risada.
Referia que durante todo o período não ocorreu febre, dor torácica ou dispnéia, mas que esporadicamente apresentava chiado no peito e que, certa vez, teve episódio de expectoração com sangue.

A paciente possui antecedentes familiares de asma, rinite alérgica e enfisema, e pessoais de rinite alérgica na adolescência.

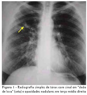
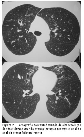
A avaliação clínica revelou roncos e sibilos difusos bilaterais. Os exames subsidiários mostraram: espirometria normal, teste alérgico cutâneo imediato (Prick teste) positivo para A. fumigatus, hemograma com eosinofilia (13%), IgE sérica total maior que 1.000 ng/ml, teste sérico para determinação de IgE específica (RAST) para A. fumigatus classe 3. Na radiografia simples de tórax observaram-se imagens de opacidade em "dedo de luva" no terço superior direito (Figura 1) e na tomografia computadorizada de alta resolução, bronquiectasias centrais (Figura 2).









Os achados de asma, eosinofilia, imagem de opacidade pulmonar e bronquiectasias centrais associados ao IgE > 1.000 ng/ml, Prick teste e RAST classe 3 positivos para A. fumigatus preenchem os critérios para o diagnóstico de ABPA.

Na vigência desses dados, a paciente foi tratada com prednisona em dose de 50 mg por dia durante quatro semanas e salbutamol spray 100 mcg em duas inalações, de seis em seis horas. A dose de prednisona foi diminuída progressivamente a cada semana nas oito semanas subseqüentes.

A paciente evoluiu com melhora da tosse, da expectoração e do chiado, ausência de eliminação de moldes brônquicos, ausculta pulmonar normal, RAST para A. fumigatus classe 2, diminuição da eosinofilia (4%) e da IgE sérica total 608 ng/ml.

DISCUSSÃO

O diagnóstico de ABPA é baseado em critérios clínicos, radiológicos e imunológicos: história de asma (84% a 96%),(3-4) Prick teste positivo para antígenos de A. fumigatus, presença de precipitinas contra o A. fumigatus (RAST para A. fumigatus), IgE sérica > 1.000 ng/ml, eosinofilia em sangue periférico > 500 mm3(8% a 40%),(3) infiltrado pulmonar, bronquiectasia central e elevação da IgE e IgG plasmáticas específicas para A. fumigatus.(5) Se os três primeiros critérios acima estiverem presentes, mas não houver bronquiectasia, classifica-se a ABPA em sorológica. Caso a ABPA seja acompanhada por bronquiectasias centrais e de pelo menos outros três critérios, a saber, história de asma, Prick teste positivo para antígenos de A. fumigatus e elevação da IgE sérica, a ABPA é classificada em ABPA bronquiectasias centrais.(5)

No caso relatado, a paciente apresentou todos os critérios de ABPA bronquiectasias centrais e mais um estabelecido: RAST positivo para A. fumigatus. Apesar da a espirometria demonstrar um padrão normal, a asma pôde ser diagnosticada pelo quadro clínico de tosse desencadeada por poeira, cheiro de mofo, tempo frio e esforço, além de sibilância e de antecedentes pessoais de rinite alérgica e familiares de rinite e asma.

Além disso, os achados clínicos de tosse com expectoração esverdeada, espessa, com presença de moldes brônquicos e hemoptise corroboraram a sobreposição dos sintomas da asma complicada na ABPA.(6)

Em consideração ao achado laboratorial de Prick teste positivo para A. fumigatus, este deve ser o primeiro passo na avaliação do indivíduo asmático para o diagnóstico de ABPA, já que a negatividade do teste seguida pela negatividade da reação intradérmica para A. fumigatus virtualmente excluem a hipótese de ABPA.(1) Como neste caso o Prick teste foi positivo, partiu-se para a análise da IgE sérica total, que teve valor maior que 1.000 ng/ml, e das precipitinas específicas (RAST) para A. fumigatus, cujo resultado foi positivo. Com base nesses dados confirmou-se o diagnóstico de ABPA.

De acordo com os achados de inúmeros trabalhos, as alterações observadas na radiografia de tórax de pacientes com ABPA têm sido descritas como imagens de consolidações extensas e de infiltrado alveolar, que ocorrem predominantemente nos lobos superiores, e imagens que espelham impactação mucóide num brônquio central. A imagem em "dedo de luva" e a imagem em "pasta de dente" são imagens transitórias de impactação de muco que podem desaparecer com a tosse ou com o uso de corticóide.(7-9) A paciente apresentou, na radiografia simples de tórax, sinais de opacidade em "dedo de luva" no terço superior do hemitórax direito (Figura 1) e, na tomografia computadorizada de alta resolução, sinais de bronquiectasias centrais (Figura 2). Segundo a literatura, sinais de opacidade em "dedo de luva" são sugestivos de ABPA,(10) refletindo a inflamação, espessamento e dilatação da árvore brônquica, devidos à impactação de muco nas vias aéreas.(11) Para a detecção de bronquiectasias centrais, a tomografia computadorizada de alta resolução é sugerida como o melhor método diagnóstico, tendo em vista que, para essa finalidade, a radiografia de tórax não é sensível e nem específica.(4)

O tratamento baseou-se no controle dos episódios de inflamação aguda, a fim de limitar a progressão dos danos pulmonares.(6) Para tal, é preconizado o uso de prednisona oral a 0,5 mg/kg/dia por catorze dias, seguido por sua administração em dias alternados e diminuição lenta e gradativa por um período de três a seis meses.(12) Os esteróides inalatórios podem ajudar no controle dos sintomas da asma mas não há comprovação de eficácia em prevenir episódios de agudização da ABPA.(6)

Para os pacientes que não evoluem com melhora clínica após o uso de corticóide oral na dose de 0,5 mg/kg por um período de pelo menos 30 dias, ou que necessitem de doses altas de corticóide oral para melhora dos sintomas, podemos associar o itraconazol a 100 mg/dia com o objetivo de tentar diminuir a dose de corticóide oral, visto que este medicamento apresenta efeito poupador de corticóide, levando ao controle da doença quando a ele associado. Um grande estudo aleatorizado, duplo cego, comparou itraconazol com placebo em 55 pacientes já em tratamento com corticóide. A adição de itraconazol por dezesseis semanas associou-se a significativo aumento na resposta clínica desses pacientes. Porém necessitamos mais estudos para confirmar estes achados, pois o nível de evidência indica categoria B. É prudente afirmarmos que o itraconazol não deve ser administrado no lugar do corticóide para o tratamento da ABPA; todavia, ele pode ser considerado para pacientes que necessitem terapêutica prolongada e com altas doses de corticóide.(13)

Considerando-se os critérios clínicos e radiológicos, a ABPA pode ser classificada em: estágio I (agudização); estágio II (remissão: desaparecimento das alterações radiográficas pulmonares e dos sintomas respiratórios, sem recorrência por pelo menos seis meses, e diminuição de 50% a 75%(14) da IgE sérica total); estágio III (exacerbações recorrentes); estágio IV (corticóide-dependente); e estágio V (doença pulmonar fibrótica).(3) Após o tratamento com corticosteróide a paciente entrou em remissão (estágio II), com redução dos sintomas respiratórios e diminuição da IgE sérica total para 608 ng/ml.

A importância de a paciente entrar em remissão é a de que não evolua para estágios mais graves, já que, de acordo com um estudo,(14) a mortalidade no estágio V pode chegar a 100%.

Conforme alguns autores, a ABPA sorológica pode representar um
estágio inicial da doença(15) e, quanto mais precoce o seu diagnóstico e tratamento, antes mesmo de evoluir para ABPA bronquiectasias centrais, maior a chance de evitar-se a progressão do dano anatomofuncional pulmonar.(16) Assim, a presença de ABPA deve ser pesquisada no diagnóstico de todos os pacientes com asma, cujo tratamento habitual não promova melhora clínica e funcional, ou que associado ao quadro clínico de sibilância apresente alterações radiológicas não compatíveis com asma.(14)

REFERÊNCIAS

1. Vlahakis NE, Aksamit TR. Diagnosis and treatment of allergic bronchopulmonary aspergillosis. Mayo Clin Proc. 2001;76(9):930-8.
2. Lee TM, Greenberger PA, Patterson R, Roberts M, Liotta JL. Stage V (fibrotic) allergic bronchopulmonary aspergillosis. A review of 17 cases followed from diagnosis. Arch Intern Med. 1987;147(2):319-23.
3. Khan AN, Jones C, Macdonald S. Bronchopulmonary aspergillosis: a review. Curr Probl Diagn Radiol. 2003; 32(4):156-68.
4. Eaton T, Garret J, Milne D, Frankel A, Wells AU. Allergic bronchopulmonary aspergillosis in the asthma clinic. A prospective evaluation of CT in the diagnostic algorithm. Chest. 2000;118(1):66-72. Comment in: Chest. 2000;118(1):7-8.
5. Patterson R, Greenberger PA, Halwig JM, Liotta JL, Roberts M. Allergic bronchopulmonary aspergillosis. Natural history and classification of early disease by serologic and roentgenographic studies. Arch Intern Med. 1986;146(5):916-18.
6. Lim KG, Weller PF. Allergic bronchopulmonary aspergillosis. UpToDate [serial on the Internet]; 2003;12.1 [cited 2003 Aug 6]. Available from : http://www.uptodate.com.
7. Hinson KF, Moon AJ, Plummer NS. Bronchopulmonary aspergillosis: a review and a report of eight new cases. Thorax. 1952;7(4):317-33.
8. Henderson AH. Allergic aspergillosis: review of 32 cases. Thorax. 1968;23(5):501-12.
9. Warren WP, Rose B. Hipersensivity bronchopulmonary aspergillosis. Dis Chest. 1969;55(5):415-21.
10. Shteinshnaider M, Shpirer I, Sandbank J, Vasserman M, Cohen N. Who is the owner of this glove? Isr Med Assoc J. 2004;6(7): 440-1.
11. Sharma OP, Chwogule R. Many faces of pulmonary aspergillosis. Eur Respir J. 1998;12(3):705-15.
12. Greenberger PA. Allergic bronchopulmonary aspergillosis. J Allergy Clin Immunol. 2002;110(5):685-92.
13. Wark PA, Hensley MJ, Saltos N, Boyle MJ, Toneguzzi RC, Epid GD, et al. Anti-inflammatory effect of itraconazole in stable allergic bronchopulmonary aspergillosis: a randomized controlled trial. J Allergy Clin Immunol. 2003;111(5):952-7.
14. Patterson R, Greenberger PA, Harris KE. Allergic bronchopulmonary aspergillosis. Chest. 2000;118(1):7-8. Comment on: Chest. 2000;118(1):66-72.
15. Greenberger PA, Miller TP, Roberts M, Smith LL. Allergic bronchopulmonary aspergillosis in patients with and without evidence of bronchiectasis. Ann Allergy. 1993;70(4):333-8.
16. Serpa FS, Reza D, França AT. Aspergilose broncopulmonar alérgica. F Méd. 1993;106(6):233-9.

________________________________________________________________________________
* Trabalho realizado Ambulatório da Disciplina de Pneumologia da Pontifícia Universidade Católica de São Paulo - PUCSP e Grupo de Asma da Escola Paulista de Medicina da Universidade Federal de São Paulo - EPM-UNIFESP - São Paulo (SP) Brasil.
1. Professora Assistente Mestre da Disciplina de Pneumologia do Centro de Ciências Médicas e Biológicas (CCMB) da Pontifícia Universidade Católica de São Paulo - PUCSP - Sorocaba (SP) Brasil.
2. Professora Adjunta da Disciplina de Pneumologia da Escola Paulista de Medicina da Universidade Federal de São Paulo - EPM-UNIFESP - São Paulo (SP) Brasil.
3. Acadêmico da Faculdade de Medicina da Pontifícia Universidade Católica de São Paulo - PUCSP - Sorocaba (SP) Brasil.
4. Médica Pneumologista do Conjunto Hospitalar de Sorocaba - Sorocaba (SP) Brasil.
Endereço para correspondência: Marta Elizabeth Kalil. Rua Cláudio Manoel da Costa, 426, Jardim Vergueiro -
CEP: 18030-210, Sorocaba, SP, Brasil. Email: me.kalil@uol.com.br
Recebido para publicação em 9/10/05. Aprovado, após revisão, em 29/11/05.

Indexes

Development by:

© All rights reserved 2025 - Jornal Brasileiro de Pneumologia