Continuous and bimonthly publication
ISSN (on-line): 1806-3756

Licença Creative Commons
15487
Views
Back to summary
Open Access Peer-Reviewed
Case Report

Adenoma alveolar

Alveolar adenoma

Eduardo Haruo Saito, Luciana Ribeiro de Araújo, Leonardo Hoehl Carneiro, Antonio Ambrosio de Oliveira Neto, João Carlos Corrêa, Luiz Sérgio Carvalho Teixeira

ABSTRACT

Alveolar adenoma is a rare benign neoplasm of the lungs, and very few cases have been described in the literature. Patients with alveolar adenoma are frequently asymptomatic and are diagnosed through the accidental discovery of a singular, well-delineated nodule on a routine chest X-ray. The definitive diagnosis is made histologically, and the treatment consists of surgical resection of the nodule..

Keywords: Adenoma; Lung neoplasms; Pulmonary alveoli/pathology; Coin lesion, pulmonary;

RESUMO

O adenoma alveolar é uma neoplasia benigna rara dos pulmões, com poucos casos descritos na literatura. Freqüentemente, o paciente é assintomático e apresenta-se com um achado acidental em telerradiografias de tórax de um nódulo solitário e bem circunscrito. O diagnóstico definitivo é histológico e o tratamento consiste na ressecção cirúrgica do nódulo.

Palavras-chave: Adenoma; Neoplasias pulmonares; Alvéolos pulmonares/patologia; Lesão numular pulmonar;

INTRODUÇÃO

O adenoma alveolar é uma neoplasia rara dos pulmões. Os primeiros seis casos foram descritos no ano de 1986. Desde então, poucos casos têm sido relatados na literatura médica.(1-6) Freqüentemente, o adenoma alveolar é assintomático e descoberto como um achado ocasional em uma telerradiografia de tórax. O diagnóstico definitivo é histológico e a ressecção cirúrgica é curativa. Relatamos o caso de uma mulher negra, de 35 anos de idade, que se apresentou com essa rara neoplasia.

RELATO DO CASO

A paciente, uma mulher negra, com 35 anos de idade, apresentou-se com queixa de tosse seca e dispnéia de fraca intensidade. Apresentou por mais duas vezes quadro semelhante, sendo o último mais intenso, inclusive com sibilos. Iniciou tratamento sob orientação médica com dipropionato de beclometasona, tendo obtido melhora da dispnéia.
Nessa época, a paciente foi submetida a uma telerradiografia de tórax, com achado de nódulo pulmonar solitário em lobo superior direito. Negava tabagismo.

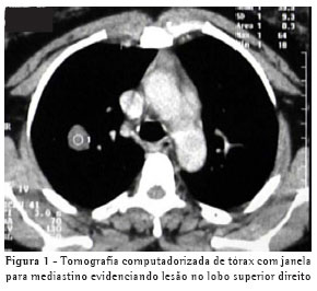
O exame físico apresentou-se normal e os seguintes exames complementares foram realizados: telerradiografia de tórax, tomografia computadorizada de tórax, espirometria, intradermorreação para tuberculose (PPD), sorologia para Aspergillus, broncofibroscopia com lavado broncoalveolar e escovado brônquico do segmento direito. A telerradiografia de tórax evidenciou imagem nodular de contornos regulares em topografia do terço superior do hemitórax direito. A tomografia computadorizada de tórax (Figura 1) evidenciou nódulo de contornos regulares, medindo 2 cm, localizado no segmento apical do lobo superior direito. O referido nódulo tinha impregnação pelo contraste, com aumento de 26,7 unidades Hounsfield após três minutos da injeção do contraste venoso, e área central de aparente cavitação. As análises do lavado broncoalveolar e escovado brônquico foram negativas para neoplasia, pesquisa de bacilo álcool-acidorresistente e cultura para tuberculose, fungos e bactérias.





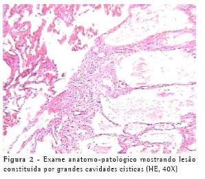
A paciente foi então submetida a uma toracotomia mioconservadora vertical direita com ressecção em cunha do nódulo, com uso de sutura mecânica. A análise peroperatória do nódulo pelo patologista não evidenciou células malignas. A paciente apresentou boa evolução no pós-operatório. O laudo histopatológico definitivo foi de adenoma alveolar (Figuras 2 e 3).









DISCUSSÃO

O adenoma alveolar é uma neoplasia pulmonar rara, de histogênese incerta, considerada como uma forma de linfangioma pulmonar no passado. O termo foi criado em 1986, com a descrição de seis casos dessa incomum neoplasia pulmonar.(1) O tumor acomete principalmente mulheres adultas entre 39 e 74 anos (média de idade situada na faixa dos 53 anos), apresentando-se geralmente assintomático e sendo freqüente o achado acidental em radiografias de tórax.(2) Poucos casos foram descritos, havendo, até o momento, 26 na literatura, em língua inglesa.(3)

Freqüentemente, o achado na radiografia de tórax mostra-se como um nódulo solitário e bem delimitado.(2) A tomografia computadorizada da paciente mostrou um nódulo bem definido com aumento de 26,7 unidades Hounsfield após impregnação pelo contraste (Figura 1). Um estudo definiu que 98% dos nódulos benignos apresentavam realce pelo contraste de 15 unidades Hounsfield ou menos.(7) No presente caso, a utilização de contraste na tomografia não seguiu as recomendações desse estudo e a impregnação do contraste não pode, portanto, ser considerada desta forma. Outros autores, em relato de caso sobre o adenoma alveolar, não encontraram impregnação do nódulo pelo contraste, confirmando a natureza benigna do mesmo.(4)

Quando se faz a ressonância magnética, as lesões demonstram centralmente sinal de baixa intensidade em T1 e de alta intensidade em T2. A borda da lesão apresenta realce após a injeção de contraste de gadolíneo. Esses achados na ressonância magnética são compatíveis com as características císticas do adenoma alveolar.(4)

O diagnóstico definitivo do adenoma alveolar é histológico. Macroscopicamente, as lesões são bem circunscritas e hemorrágicas, de coloração pardacenta e brancacenta, medindo menos de 3 cm em seu maior diâmetro, e ocorrem isoladamente em qualquer lobo ou pulmão, porém com predominância no lobo inferior esquerdo.(2) Ao exame microscópico, o adenoma alveolar caracteriza-se pela presença de múltiplas cavidades císticas de tamanhos variados, contendo material proteináceo e eosinofílico nos cortes corados com hematoxilina e eosina.

As estruturas císticas são revestidas por epitélio pavimentoso a cúbico, constituído predominantemente por células com características estruturais típicas de pneumócitos tipo II. Delimitando as cavidades císticas, há septos de espessura variável contendo células mesenquimais fibroblásticas e leucócitos, como os achados deste estudo (Figuras 2 e 3).(2-3)

O diagnóstico diferencial inclui o linfangioma, adenoma papilar e hemangioma esclerosante.(2,8) O linfangioma, assim como o adenoma alveolar, também tem uma aparência multicística, porém, enquanto a natureza do adenoma alveolar é epitelial, a do linfangioma é vascular. Isto pode ser confirmado por análises imunohistoquímicas positivas para queratina e negativas para fator VIII.(2) O adenoma papilar é uma lesão que, assim como o adenoma alveolar, é revestida predominantemente de pneumócitos tipo II, mas a ausência de um aspecto multicístico distingue-o do adenoma alveolar.(8) Além disso, alguns casos de adenoma papilar apresentam potencial invasivo, diferentemente do adenoma alveolar, que é totalmente benigno.(8) O hemangioma esclerosante apresenta uma mistura de aspectos sólido, vascular, esclerosante e papilar, no que difere, assim, do adenoma alveolar.(2)

O tratamento do adenoma alveolar é a ressecção cirúrgica, que é sempre curativa.

AGRADECIMENTOS

Agradecemos ao Prof. Dr. Kiminori Fujimoto, ao Prof. Gilberto Torres Neto e ao Dr. Ivan Mathias Filho pelo auxílio prestado na realização deste trabalho.

REFERÊNCIAS

1. Yousem SA, Hochholzer L. Alveolar adenoma. Hum Pathol. 1986; 17(10):1066-71.

2. Burke LM, Rush WI, Khoor A, Mackay B, Oliveira P, Whitsett JA, et al. Alveolar adenoma: a histochemical, immunohistochemical and ultrastructural analysis of 17 cases. Hum Pathol. 1999;30(2):158-67.

3. Hartman MS, Epstein DM, Geyer SJ, Keenan RJ. Alveolar adenoma. Ann Thorac Surg. 2004;78(5):1842-3.

4. Fujimoto K, Müller NL, Sadohara J, Harada H, Hayashi A, Hayabuchi N, et al. Alveolar adenoma of the lung: computed tomography and magnetic resonance imaging findings. J Thorac Imaging. 2002;17(2):163-6.

5. Souza V, Pinto E, Franca T, Carvalho L. Broncho-pulmonary adenomas. Rev Port Pneumol. 2004;10(3)235-42.

6. Papla B, Malinowski E. Alveolar adenoma of the lung - a report of two cases. Pol J Pathol. 2003;53(2)147-52.

7. Swensen SJ, Viggiano RW, Midthun DE, Müller NL, Sherrich A, Yamashita K, et al. Lung nodule enhancement at CT: multicenter study. Radiology. 2000;214(1):73-80.

8. Dessy E, Braidotti P, Del Curto B, Falleni M, Coggi G, Santa Cruz G, et al. Peripheral papillary tumor of type II pneumocytes: a rare neoplasm of undetermined malignat potential. Virchows Arch. 2000;436(3):289-95.
_________________________________________________________________________________________
* Trabalho realizado na Faculdade de Ciências Médicas, Hospital Universitário Pedro Ernesto da Universidade Estadual do Rio de Janeiro - UERJ; e no Hospital da Ordem Terceira da Penitência - Rio de Janeiro (RJ) Brasil.
1. Professor Adjunto da Faculdade de Ciências Médicas da Universidade do Estado do Rio de Janeiro - UERJ - Rio de Janeiro (RJ) Brasil.
2. Acadêmica de Medicina. Estagiária da Disciplina de Cirurgia Torácica da Faculdade de Ciências Médicas da Universidade do Estado do Rio de Janeiro - UERJ - Rio de Janeiro (RJ) Brasil.
3. Médico Patologista do Hospital da Polícia Militar do Rio de Janeiro e do Hospital Universitário Clementino Fraga Filho da Universidade Federal do Rio de Janeiro - UFRJ - Rio de Janeiro (RJ) Brasil.
4. Professor Assistente da Disciplina de Anatomia Patológica da Faculdade de Medicina da Universidade Federal do Rio de Janeiro - UFRJ - Rio de Janeiro (RJ) Brasil.
5. Livre-Docente. Professor Titular de Pneumologia da Faculdade de Medicina de Nova Iguaçu e Pneumologista do Hospital da Ordem Terceira da Penitência - Rio de Janeiro (RJ) Brasil.
6. Médico Cirurgião Torácico do Hospital da Ordem Terceira da Penitência - Rio de Janeiro (RJ) Brasil.
Endereço para correspondência: Eduardo Haruo Saito. Av. 28 de Setembro, 77, 4o andar, Vila Isabel - CEP 20551-030, Rio de Janeiro, RJ, Brasil; Tel 55 21 2587-6193. E-mail: eduardosaito@uol.com.br
Recebido para publicação em 3/6/05. Aprovado, após revisão, em 3/8/05.

Indexes

Development by:

© All rights reserved 2025 - Jornal Brasileiro de Pneumologia