Continuous and bimonthly publication
ISSN (on-line): 1806-3756

Licença Creative Commons
14469
Views
Back to summary
Open Access Peer-Reviewed
Original Article

Lesão pulmonar aguda induzida pela administração endovenosa de extrato da fumaça do cigarro

Acute lung injury induced by the intravenous administration of cigarette smoke extract

Luciana Gomes Menezes, Juliana Alves Uzuelli, Cristiane Tefé-Silva, Simone Gusmão Ramos, José Eduardo Tanus dos Santos, José Antônio Baddini Martinez

RESUMO

Objetivo: Investigar os efeitos agudos da administração endovenosa de extrato da fumaça do cigarro (EFC) em parâmetros funcionais respiratórios, inflamatórios e histológicos em ratos e comparar esse potencial modelo de lesão pulmonar aguda (LPA) com aquele com o uso de ácido oleico (AO). Métodos: Foram estudados 72 ratos Wistar machos divididos em quatro grupos: tratados somente com soro fisiológico (SF; grupo controle); tratados com EFC e SF (grupo EFC); tratados com SF e AO (grupo AO); e tratados com EFC e AO (grupo EFC/AO). Resultados: As médias de complacência foram significantemente menores nos grupos AO e EFC/AO (2,12 ± 1,13 mL/cmH2O e 1,82 ± 0,77 mL/cmH2O, respectivamente) do que no controle (3,67 ± 1,38 mL/cmH2O). A proporção de neutrófilos e a atividade das metaloproteinases 2 e 9 em lavado broncoalveolar foram significantemente maiores nos grupos AO e EFC/AO que no controle. O acometimento pulmonar avaliado por morfometria foi significantemente maior nos grupos AO e EFC/AO (72,9 ± 13,8% e 77,6 ± 18,0%, respectivamente) do que nos grupos controle e EFC (8,7 ± 4,1% e 32,7 ± 13,1%, respectivamente), e esse acometimento foi significantemente maior no grupo EFC que no grupo controle. Conclusões: A administração endovenosa de EFC, nas doses e tempos deste estudo, associou-se à LPA mínima. O EFC não potencializou a LPA induzida por AO. Estudos adicionais são necessários para esclarecer o papel potencial desse modelo como método de estudo dos mecanismos de agressão pulmonar pelo tabaco.

Palavras-chave: Tabagismo; Lesão pulmonar aguda; Modelos animais.

Introdução

Em anos recentes, tem-se observado o emprego crescente de um novo modelo para o estabelecimento de lesão pulmonar em roedores, envolvendo a administração de um produto tabágico por via intraperitoneal, intratraqueal ou intranasal.(1-4) Tal produto, conhecido como extrato da fumaça do cigarro (EFC), é obtido ao se borbulhar fumaça produzida pela queima de cigarros em um veículo líquido como, por exemplo, solução salina. Esse elemento é descrito como sendo capaz de promover lesões enfisematosas após períodos razoavelmente curtos de uso repetido, geralmente por volta de 3-4 semanas. Além disso, o processo patológico se estabelece sem a necessidade de exposições diárias prolongadas dos animais a equipamentos geradores de fumaça. Desse modo, os mecanismos associados ao estabelecimento dos processos inflamatórios desencadeados pelo tabagismo poderiam ser estudados de um modo mais rápido e simplificado.

Um estudo que investigou os efeitos do EFC administrado por três horas sobre culturas de fibroblastos humanos fetais mostrou indução de estresse oxidativo dose-dependente. Além disso, o produto também induziu apoptose e fragmentação do DNA celular, sugerindo que esses mecanismos têm um papel na gênese de doenças induzidas pelo tabaco.(5) Portanto, a administração de EFC, em altas doses e por via sistêmica, guarda o potencial de produzir lesões pulmonares substanciais de estabelecimento rápido e agudo. Contudo, até o momento, não existem estudos in vivo avaliando as consequências imediatas do uso de EFC i.v. sobre parâmetros de função pulmonar e alterações histológicas pulmonares. A caracterização desses efeitos pode levar ao estabelecimento de um novo modelo animal de utilidade na investigação dos mecanismos patogenéticos relacionados à agressão do tabaco. Tal modelo teria a grande vantagem de caracterizar os mecanismos patogenéticos de agressão do tabaco de maneira mais rápida e prática. Além disso, na dependência do grau de inflamação pulmonar estabelecida, também poderíamos estar diante de um novo modelo para a investigação de mecanismos relacionados ao estabelecimento de lesão pulmonar aguda (LPA).

Por outro lado, acumulam-se evidências que as metaloproteinases de matriz (MMPs), uma família de endopeptidases relacionadas geneticamente e cuja atividade é dependente de zinco, são mediadoras de inúmeros processos fisiológicos e patológicos.(6-9) As gelatinases constituem um subgrupo de MMPs amplamente distribuído, capazes de clivar elastina e diversos tipos de colágeno.(10) Elevações da expressão tecidual da MMP-2 (gelatinase A) e da MMP-9 (gelatinase B) já foram associadas à destruição pulmonar e até mesmo ao desenvolvimento da DPOC.(11)

O presente estudo teve como objetivos investigar, em ratos, os efeitos agudos da administração i.v. de EFC sobre parâmetros funcionais respiratórios, perfil celular e nível de atividade de MMP-2 e MMP-9 no lavado broncoalveolar (LBA), assim como a presença de alterações do padrão histológico pulmonar. Além disso, também foi comparada a intensidade das respostas induzidas pelo EFC com um modelo bem estabelecido de LPA, a injeção sistêmica de ácido oleico (AO).(12) Finalmente, também foram avaliados os efeitos potencializadores da administração prévia de EFC sobre o modelo de LPA induzida por AO.

A hipótese original do trabalho era de que a administração i.v. de EFC levaria a alterações histológicas e funcionais respiratórias relevantes e de que, na sua gênese, haveria a participação de MMPs. A intensidade dessas alterações poderia ser comparável àquelas induzidas pelo AO. Além disso, também supusemos que a pré-administração de EFC levaria ao agravamento da LPA induzida por AO.

Métodos

Foram empregados 72 ratos Wistar machos, com peso aproximado de 240 g, criados no Biotério da Faculdade de Ciências Farmacêuticas de Ribeirão Preto em condições higiênicas especiais, classificados como specific pathogen free. Os animais foram divididos em quatro grupos com 18 animais cada:

 Grupo controle: administração de soro fisiológico (SF) i.v. em 0 (T0) e 30 min (T30)
 Grupo EFC: administração de EFC i.v em T0 e de SF i.v. em T30
 Grupo AO: administração de SF i.v. em T0 e de AO i.v. em T30
 Grupo EFC/AO: administração de EFC i.v. em T0 e de AO i.v. em T30

O EFC foi obtido empregando-se uma "máquina de fumar", desenvolvida por uma empresa especializada sob orientação dos pesquisadores envolvidos. Seu modo de funcionamento requeria a adaptação de um cigarro aceso na extremidade de uma bomba aspirativa, enquanto, à outra extremidade, era conectado um circuito tubular, cuja ponta era colocada dentro de um tubo plástico, estéril e descartável, contendo 2 mL de SF. Desse modo, a fumaça produzida no circuito borbulhava dentro do SF antes de ser liberada para a atmosfera. Um dispositivo eletrônico permitia regular a duração dos ciclos de sucção e não sucção promovidos pela bomba. Ao longo do estudo, sempre foram consumidos dois cigarros comerciais da mesma marca (Marlboro; Altria, Brasil), ao longo de 6-8 min, para cada 2 mL de SF. O EFC obtido exibia cor amarelo acastanhada e odor característico. Os animais recebiam então, por meio de punção da veia caudal, EFC ou SF na dose de 1 mL/kg de peso.

A solução de AO foi produzida pela diluição de 1 mL do produto (Sigma-Aldrich, St. Louis, MO, EUA) em 4 mL de etanol a 70% e 5 mL de SF. Essa solução, ou SF em volumes correspondentes, era administrada i.v. lentamente pela veia caudal, 30 min após a injeção inicial de EFC ou SF, em volume de 2 mL/kg, correspondendo a 178,2 mg de AO por kg de peso.

Quatro horas após a injeção de SF ou AO, os animais eram anestesiados com tribromoetanol a 2,5% i.p. (Sigma Aldrich), e era realizada uma traqueostomia para a colocação de uma cânula plástica intratraqueal. Em seguida, a cânula era acoplada a um sistema de monitoramento (Quadra-t; SCIREQ, Montreal, QC, Canadá) que permitia a obtenção de dados de função respiratória de forma espontânea e minimamente invasiva. Uma vez terminada a monitorização respiratória, era realizada uma incisão abdominal, sendo os grandes vasos expostos e seccionados sob visão direta, promovendo a morte do animal por exsanguinação. Em seguida, era realizada uma toracotomia ampla e, com o bloco coração-pulmão ainda no tórax, era efetuada uma infusão de SF pela cânula intratraqueal em volume de 25 mL/kg. O referido líquido era injetado e aspirado com uma seringa plástica por três vezes. O material coletado era colocado em um tubo plástico e mantido em gelo até o transporte para a análise no laboratório de pesquisa.

Os animais utilizados no estudo anatomopatológico (6 animais em cada grupo) foram manuseados e tratados do mesmo modo; porém, não foram submetidos à avaliação da função pulmonar, nem à coleta de LBA. Neles, uma vez aberto o tórax, era infundida uma solução de formalina tamponada a 10%, via cateter intratraqueal, a uma pressão de 20 cmH2O. Em seguida, a extremidade distal da traqueia, livre do cateter plástico, era ligada com um fio de algodão, e os dois pulmões, após dissecção, eram mergulhados em um recipiente contendo formalina a 10%.

O LBA foi processado de maneira convencional, como previamente descrito.(13,14) O material sobrenadante obtido por ultracentrifugação era congelado a −70°C para estudos posteriores da atividade de MMP-2 e MMP-9. As atividades das MMPs no LBA foram determinadas pelo método de zimografia, que consiste na eletroforese das amostras em um sistema sodium dodecyl sulfate polyacrylamide gel electrophoresis, incluindo o substrato da enzima (gelatina) no gel de separação. A semiquantificação da atividade das gelatinases foi realizada através de um scanner comum e a mensuração das imagens obtidas foi feita com o programa ImageJ (NIH, Bethesda, NC, EUA), conforme previamente publicado.(15,16)


As amostras de tecido pulmonar foram processadas de forma padrão e coradas com HE. A extensão do comprometimento do parênquima pulmonar foi calculado por morfometria, a partir da análise das lâminas de microscopia ótica convencional, com emprego do software Leica Qwin (Leica Microsystems, Cambridge, Reino Unido), instalado em um microcomputador acoplado a uma câmara digital, como previamente descrito.(17)

Os resultados estão apresentados na forma de médias, medianas e desvios-padrão. As comparações entre os quatro grupos foram efetuadas empregando-se ANOVA na presença de distribuição normal e, quando necessário, o pós-teste de Student-Newman-Keuls. Quando os resultados não mostraram distribuição normal, empregou-se o teste de Friedman, complementado pelo pós-teste de Dunn se indicado. O nível de significância adotado foi de 5% (p < 0,05) para todas as comparações efetuadas. O presente estudo foi aprovado pelo Comitê de Ética em Experimentação Animal da Faculdade de Medicina de Ribeirão Preto da Universidade de São Paulo.

Resultados

A média de peso dos animais não diferiu entre os grupos (controle: 233,0 ± 7,3 g; EFC: 242,7 ± 6,9 g; AO: 244,0 ± 6,8 g; e EFC/AO: 242,6 ± 8,2 g). No tocante à função respiratória, os valores médios da FR e do volume minuto (VM) dos grupos EFC, AO e EFC/AO foram significativamente maiores do que as do grupo controle (Figura 1). Já o VM do grupo AO também foi significantemente superior aos dos grupos EFC e EFC/AO. Os grupos EFC e EFC/AO também exibiram valores significantemente menores da complacência total em relação ao grupo controle.



Os volumes de LBA recuperados dos grupos EFC e EFC/AO foram significantemente inferiores aos do grupo controle (Tabela 1). No tocante ao diferencial de células, o grupo AO mostrou uma proporção significantemente menor de macrófagos em comparação aos grupos controle e EFC. Os grupos AO e EFC/AO mostraram proporções mais elevadas de neutrófilos do que o grupo controle, enquanto o grupo AO também exibiu elevação significante de neutrófilos em relação ao grupo EFC. A atividade gelatinolítica da MMP-2 mostrou-se significantemente mais elevada nos grupos AO e EFC/AO em comparação aos grupos controle e EFC. Já no tocante à atividade da MMP-9, o grupo AO exibiu um valor superior aos dos grupos controle e EFC.



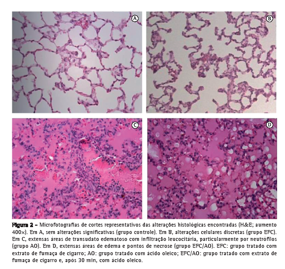
A análise histológica dos pulmões tratados mostrou pequenas alterações inflamatórias nos pulmões do grupo EFC, com algum grau de espessamento septal e infiltração leucocitária (Figura 2). Já os pulmões dos animais dos grupos AO e EFC/AO mostraram-se intensamente edemaciados e congestos, com algumas áreas necróticas de distribuição periférica. A proporção de acometimento tecidual foi significantemente maior nos grupos EFC, AO e EFC/AO em relação ao grupo controle e significantemente mais intensa nos grupos AO e EFC/AO em comparação ao grupo EFC (Figura 3).





Discussão

No presente estudo, foram investigados os efeitos agudos da administração i.v. de EFC como agente agressor pulmonar sobre parâmetros fisiológicos, morfológicos e relacionados à inflamação. Uma vez que a queima dos cigarros libera mais de 4.000 agentes químicos(18) e o EFC é rico em produtos oxidantes, um modelo animal dessa natureza poderia vir a se tornar um novo, rápido e prático instrumento de investigação original dos mecanismos de agressão pulmonar relacionados ao uso do tabaco. Com a finalidade de obter-se uma ideia da intensidade das alterações agudas desencadeadas pelo uso de EFC i.v., o novo modelo foi comparado com o tradicional método de estudo de LPA provocada por AO. Além disso, também foi investigado o possível efeito potencializador do uso prévio de EFC no modelo de LPA por AO.

Como a administração de EFC por via intraperitoneal ao longo de semanas leva ao estabelecimento de enfisema, seria natural admitir que um grande volume do produto administrado diretamente no sistema venoso levasse ao estabelecimento de expressiva resposta inflamatória pulmonar aguda.

Uma vez que não existem estudos prévios na literatura empregando um desenho semelhante, o intervalo de tempo entre a administração dos dois agentes agressores foi estabelecida de modo empírico. Por outro lado, o intervalo de tempo entre a administração final dos produtos e a coleta dos dados baseou-se no previamente estabelecido a partir de estudos que empregaram o modelo de LPA induzida por AO.(19) Quatro horas entre a infusão de AO e a coleta de material para a análise é reconhecidamente suficiente para o estabelecimento pleno de LPA e, por isso, esse intervalo de tempo foi empregado para a coleta de dados e de material após a segunda administração das substâncias no presente estudo.

Os resultados relativos à função pulmonar indicam que os grupos EFC, AO e EFC/AO tenderam a adquirir um padrão respiratório restritivo após a administração dos diferentes tratamentos. Isso se torna mais evidente quando analisamos os valores da complacência total, embora diferenças significativas em relação ao grupo controle só tenham sido observadas para os grupos que receberam AO. Certamente que esse é o tipo de padrão funcional esperado para quadros que cursam com edema e infiltração inflamatória difusa dos pulmões. Contudo, a repercussão funcional respiratória da LPA induzida por EFC i.v. foi bastante modesta. Além disso, o uso prévio desse agente não parece potencializar, de maneira substancial, os efeitos nocivos do uso de AO sob a função respiratória, ainda que o VM do grupo EFC/AO tenha se mostrado significantemente inferior ao do grupo AO.

No presente estudo, o achado mais consistente relacionado com a celularidade do LBA foram as elevações significantes das proporções de neutrófilos nos grupos AO e EFC/AO em comparação ao grupo controle. Foi observada ainda uma diferença significativa entre os níveis de neutrófilos no grupo AO em relação aos no grupo EFC. Tais resultados indicam uma importante participação desse tipo celular na gênese da LPA induzida por AO. Por outro lado, a elevação de neutrófilos no grupo EFC foi discreta, a ponto de não diferir de maneira significante com os controles. Ainda que os grupos AO e EFC/AO não tenham diferido entre si de maneira significante no tocante à proporção de neutrófilos a partir de LBA, a administração prévia de EFC i.v. cursou com uma tendência de redução desse tipo celular após o uso de AO. Podemos então sugerir que o uso prévio de EFC poderia ter levado à redução do extravasamento de neutrófilos induzido pelo AO.

A maioria dos dados disponíveis de modelos de inflamação em animais que empregaram duas agressões consecutivas indica que as respostas e o risco de infecção são maiores após a segunda injúria.(20,21) Entretanto, um estudo feito em camundongos já mostrara que a indução prévia de uma resposta inflamatória sistêmica de pequena intensidade protegeu os animais do desenvolvimento de sepse induzida por Enterococcus faecalis ou Staphylococcus aureus resistente à meticilina.(22) Quando inicialmente foi induzida uma resposta inflamatória sistêmica intensa, quadros graves de sepse se instalaram após a infecção com microrganismos. Os mecanismos responsáveis por tais fenômenos parecem envolver fenótipos distintos de ativação macrofágica. Baseando-se nesses achados, podemos especular que, no presente estudo, fatos semelhantes possam ter acontecido em resposta ao uso inicial de EFC. Investigações adicionais são necessárias para a elucidação do referido achado.


As elevações significantes da atividade da MMP-2 no LBA dos grupos AO e EFC/AO em relação aos demais grupos sugere um importante papel desse mediador no estabelecimento da LPA induzida por AO. Já o uso isolado do EFC não cursou com uma elevação da atividade dessa gelatinase. De forma igualmente interessante, o uso prévio de EFC tendeu a causar uma redução na atividade da MMP-2 em relação ao uso isolado de AO mas, mais uma vez, essa comparação não atingiu uma diferença significativa. Entre diversos elementos celulares, a MMP-2 é produzida pelas células endoteliais, as quais são o alvo primário da agressão por AO, que acontece por via sanguínea.(23) Portanto, as elevações aqui observadas podem refletir principalmente esse tipo de resposta. Vale notar que, apesar de o EFC ter sido administrado pela mesma via, ele não foi capaz de induzir elevações importantes dos níveis locais do mediador.

A detecção da atividade da MMP-9 aconteceu apenas em uma amostra do grupo controle e em nenhuma após o uso isolado de EFC. Por outro lado, foi detectada atividade da MMP-9 no LBA de todos os animais após o emprego de AO e em 7 após o uso combinado de EFC e AO. Os resultados relativos à atividade da MMP-9 mostraram um comportamento muito semelhante ao observado com a contagem percentual de neutrófilos, sugerindo que essas células tenham sido a principal fonte da enzima nos animais tratados com AO.(24) A atenuação dos níveis da enzima após o uso de AO com o emprego prévio de EFC apoia a última possibilidade.

Os dados aqui obtidos indicam que o uso isolado do EFC i.v. nas condições do presente estudo não levou a alterações significativas do perfil celular, nem da atividade das enzimas MMP-2 e MMP-9, em relação aos animais tratados com SF apenas. Do mesmo modo, a administração prévia do EFC não potencializou as alterações citológicas e de atividade gelatinolítica no LBA, associadas ao uso de AO. De fato, os dados disponíveis sugerem a possibilidade da existência de algum grau de atenuação do sequestro neutrofílico e da expressão das gelatinases nos espaços aéreos distais após a introdução do tratamento inicial, como já discutido acima.

A análise histológica subjetiva, realizada por um especialista em patologia pulmonar cegado para os tipos de tratamento empregados, revelou alterações inflamatórias intensas nos pulmões dos animais tratados com AO. As lesões encontradas foram edema pulmonar acentuado, áreas de necrose e infiltração leucocitária dos septos, em especial de células polimorfonucleares. As alterações histológicas secundárias ao uso de EFC foram apenas tênues, com discreto espessamento septal e infiltração linfocitária. A análise morfométrica confirmou que a proporção de acometimento patológico foi máxima e de grau comparável entre os grupos tratados com AO. Por outro lado, a extensão das lesões provocadas pelo uso de EFC isoladamente foi intermediária entre esses grupos e o controle. Em conjunto, os resultados confirmam que o AO constitui um agente extremamente tóxico para os pulmões,(19,25) e o pré-tratamento com EFC i.v. em dose única não parece influenciar substancialmente o estabelecimento desse processo. Tais resultados apontam na mesma direção da interpretação obtida pela observação dos dados de complacência.

O presente estudo exibe uma série de limitações, em especial, a utilização de uma única mesma dose de EFC em todas as análises. Os resultados poderiam ter sido diferentes com o emprego de dosagens maiores da substância. Na verdade, os dados seriam mais completos se tivessem sido construídas curvas dose-resposta ou tempo-resposta.

A partir dos resultados obtidos, podemos concluir que a administração i.v. de EFC, no tempo e doses aqui empregados, está associada à LPA de pequena monta e a repercussões funcionais respiratórias discretas. A intensidade da LPA produzida pelo EFC é muito menos intensa do que aquela provocada pelo AO. Além disso, no presente modelo, o uso prévio de EFC também não potencializou o dano pulmonar induzido pelo AO. Embora esse método, ao que tudo indica, não seja um bom modelo para estudos de aspectos fisiopatológicos ligados ao estabelecimento da LPA, sua utilidade para a investigação dos mecanismos de agressão pulmonar pelo fumo ainda não pode ser completamente descartada.

Referências

1. Qamar W, Sultana S. Farnesol ameliorates massive inflammation, oxidative stress and lung injury induced by intratracheal instillation of cigarette smoke extract in rats: an initial step in lung chemoprevention. Chem Biol Interact. 2008;176(2-3):79-87. Erratum in: Chem Biol Interact. 2009;177(3):259. http://dx.doi.org/10.1016/j.cbi.2008.11.017

2. Chen Y, Hanaoka M, Chen P, Droma Y, Voelkel NF, Kubo K. Protective effect of beraprost sodium, a stable prostacyclin analog, in the development of cigarette smoke extract-induced emphysema. Am J Physiol Lung Cell Mol Physiol. 2009;296(4):L648-56. PMid:19201816. http://dx.doi.org/10.1152/ajplung.90270.2008

3. Chen Y, Hanaoka M, Droma Y, Chen P, Voelkel NF, Kubo K. Endothelin-1 receptor antagonists prevent the development of pulmonary emphysema in rats. Eur Respir J. 2010;35(4):904-12. PMid:19897563. http://dx.doi.org/10.1183/09031936.00003909

4. Hanaoka M, Droma Y, Chen Y, Agatsuma T, Kitaguchi Y, Voelkel NF, et al. Carbocisteine protects against emphysema induced by cigarette smoke extract in rats. Chest. 2011;139(5):1101-8. PMid:20847042. http://dx.doi.org/10.1378/chest.10-0920

5. Carnevali S, Petruzzelli S, Longoni B, Vanacore R, Barale R, Cipollini M, et al. Cigarette smoke extract induces oxidative stress and apoptosis in human lung fibroblasts. Am J Physiol Lung Cell Mol Physiol. 2003;284(6):L955 63. PMid:12547733.

6. Page-McCaw A, Ewald AJ, Werb Z. Matrix metalloproteinases and the regulation of tissue remodelling. Nat Rev Mol Cell Biol. 2007;8(3):221-33. PMid:17318226 PMCid:2760082. http://dx.doi.org/10.1038/nrm2125

7. Vu TH, Werb Z. Matrix metalloproteinases: effectors of development and normal physiology. Genes Dev. 200;14(17):2123-33.
8. Pytliak M, Vargová V, Mechírová V. Matrix metalloproteinases and their role in oncogenesis: a review. Onkologie. 2012;35(1-2):49-53. PMid:22310347. http://dx.doi.org/10.1159/000336304

9. Sbardella D, Fasciglione GF, Gioia M, Ciaccio C, Tundo GR, Marini S, et al. Human matrix metalloproteinases: an ubiquitarian class of enzymes involved in several pathological processes. Mol Aspects Med. 2012;33(2):119 208. PMid:22100792. http://dx.doi.org/10.1016/j.mam.2011.10.015

10. Malemud CJ. Matrix metalloproteinases (MMPs) in health and disease: an overview. Front Biosci. 2006;11:1696 701. PMid:16368548. http://dx.doi.org/10.2741/1915

11. Rufino R, Lapa e Silva JR. Cellular and biochemical bases of chronic obstructive pulmonary disease. J Bras Pneumol. 2006;32(3):241-8. PMid:17273614. http://dx.doi.org/10.1590/S1806-37132006000300011

12. Gaio E, Melo e Silva CA, Brito F, Firmino MA, Storck R, Freitas E. Stability of the animal model of oleic acid-induced acute lung injury. J Bras Pneumol. 2009;35(8):759-66. PMid:19750328.

13. Martinez JA, King TE Jr, Brown K, Jennings CA, Borish L, Mortenson RL, et al. Increased expression of the interleukin-10 gene by alveolar macrophages in interstitial lung disease. Am J Physiol. 1997;273(3 Pt 1):L676-83. PMid:9316504.

14. Martinez JA, Nishimura C, Guatura SB, Sato E, King TE Jr. Elevation of soluble interleukin-2 receptor levels in the bronchoalveolar lavage from patients with systemic sclerosis. Rheumatol Int. 2001;21(3):122-6. PMid:11765225. http://dx.doi.org/10.1007/s00296-001-0147-x

15. Souza-Tarla CD, Uzuelli JA, Machado AA, Gerlach RF, Tanus-Santos JE. Methodological issues affecting the determination of plasma matrix metalloproteinase (MMP)-2 and MMP-9 activities. Clin Biochem. 2005;38(5):410-4. PMid:15820769. http://dx.doi.org/10.1016/j.clinbiochem.2005.02.010

16. Mühl D, Ghosh S, Uzuelli JA, Lantos J, Tanus-Santos JE. Increases in circulating matrix metalloproteinase-9 levels following fibrinolysis for acute pulmonary embolism. Thromb Res. 2010;125(6):549-53. PMid:20307903. http://dx.doi.org/10.1016/j.thromres.2010.02.015

17. Martinez JA, Ramos SG, Meirelles MS, Verceze AV, Arantes MR, Vannucchi H. Effects of quercetin on bleomycin-induced lung injury: a preliminary stud. J Bras Pneumol. 2008;34(7):445-52. PMid:18695788. http://dx.doi.org/10.1590/S1806-37132008000700003

18. National Toxicology Program. Report on Carcinogens. Washington: U.S. Department of Health and Human Services, Public Health Service, National Toxicology Program; 2005.

19. Derks CM, Jacobovitz-Derks D. Embolic pneumopathy induced by oleic acid. A systematic morphologic study. Am J Pathol. 197;87(1):143-58.

20. Kumpf O, Schumann RR. Genetic variation in innate immunity pathways and their potential contribution to the SIRS/CARS debate: evidence from human studies and animal models. J Innate Immun. 2010;2(5):381-94. PMid:20431282. http://dx.doi.org/10.1159/000314269

21. Adib-Conquy M, Cavaillon JM. Compensatory anti-inflammatory response syndrome. Thromb Haemost. 2009;101(1):36-47. PMid:19132187.

22. Takahashi H, Tsuda Y, Takeuchi D, Kobayashi M, Herndon DN, Suzuki F. Influence of systemic inflammatory response syndrome on host resistance against bacterial infections. Crit Care Med. 2004;32(9):1879-85. PMid:15343016. http://dx.doi.org/10.1097/01.CCM.0000139606.34631.61

23. Yeh DY, Lin HI, Feng NH, Chen CF, Wang D, Wang NT. Matrix metalloprotease expressions in both reperfusion lung injury and oleic acid lung injury models and the protective effects of ilomastat. Transplant Proc. 2009;41(5):1508 11. PMid:19545667. http://dx.doi.org/10.1016/j.transproceed.2009.02.076

24. Corbel M, Boichot E, Lagente V. Role of gelatinases MMP-2 and MMP-9 in tissue remodeling following acute lung injury. Braz J Med Biol Res. 2000;33(7):749 54. PMid:10881049. http://dx.doi.org/10.1590/S0100-879X2000000700004

25. Dickey BF, Thrall RS, McCormick JR, Ward PA. Oleic-acid-induced lung injury in the rat. Failure of indomethacin treatment or complement depletion to ablate lung injury. Am J Pathol. 1981;103(3):376-83. PMid:7234970 PMCid:1903842.



* Trabalho realizado na Faculdade de Medicina de Ribeirão Preto da Universidade de São Paulo, Ribeirão Preto (SP) Brasil.
Endereço para correspondência: José Antônio Baddini Martinez. Avenida Bandeirantes, 3900, Campus Universitário, CEP 14048‑900, Ribeirão Preto, SP, Brasil.
Tel. 55 16 3602-2531. E-mail: baddini@fmrp.usp.br
Apoio financeiro: Este estudo recebeu apoio financeiro da Fundação de Apoio a Assistência, Ensino e Pesquisa do Hospital das Clínicas da Faculdade de Medicina de Ribeirão Preto da Universidade de São Paulo.
Recebido para publicação em 20/7/2012. Aprovado, após revisão, em 17/12/2012.




Sobre os autores

Luciana Gomes Menezes
Fisioterapeuta. Faculdade de Medicina de Ribeirão Preto da Universidade de São Paulo, Ribeirão Preto (SP) Brasil.

Juliana Alves Uzuelli
Doutoranda. Departamento de Farmacologia, Faculdade de Medicina de Ribeirão Preto da Universidade de São Paulo, Ribeirão Preto (SP) Brasil.

Cristiane Tefé-Silva
Doutoranda em Patologia. Departamento de Patologia, Faculdade de Medicina de Ribeirão Preto da Universidade de São Paulo, Ribeirão Preto (SP) Brasil.

Simone Gusmão Ramos
Professora Associada. Departamento de Patologia, Faculdade de Medicina de Ribeirão Preto da Universidade de São Paulo, Ribeirão Preto (SP) Brasil.

José Eduardo Tanus dos Santos
Professor Titular. Departamento de Farmacologia, Faculdade de Medicina de Ribeirão Preto da Universidade de São Paulo, Ribeirão Preto (SP) Brasil.

José Antônio Baddini Martinez
Professor Associado. Departamento de Clínica Médica, Faculdade de Medicina de Ribeirão Preto da Universidade de São Paulo, Ribeirão Preto (SP) Brasil.

Indexes

Development by:

© All rights reserved 2025 - Jornal Brasileiro de Pneumologia