Continuous and bimonthly publication
ISSN (on-line): 1806-3756

Licença Creative Commons
13348
Views
Back to summary
Open Access Peer-Reviewed
Original Article

Estudo imunohistoquímico do remodelamento pulmonar em camundongos expostos à fumaça de cigarro

Immunohistochemical study of lung remodeling in mice exposed to cigarette smoke

Samuel Santos Valença, Luís Cristóvão Porto

ABSTRACT

Objective: Various studies of emphysema involve long-term exposure of animals to cigarette smoke, focusing on the cell type involved in the protease/antiprotease imbalance and on extracellular matrix degradation. In emphysema, increased expression of metalloproteinases is associated with cytokines, and evidence suggests that the matrix metalloproteinase-12 (MMP-12) plays an important role. Our objective was to investigate tissue inhibitor of metalloproteinase-2 (TIMP-2), tumor necrosis factor-alpha (TNF-α) and interleukin-6 (IL-6) detection by immunohistochemical methods in mouse lung. Methods: Male C57BL/6 mice were exposed 3 times a day to the smoke of 3 cigarettes over a period of 10, 20, 30 or 60 days in an inhalation chamber (groups CS10, CS20, CS30 and CS60, respectively). Controls were exposed to the same conditions in room air. Results: A progressive increase in the number of alveolar macrophages was observed in the bronchoalveolar lavage fluid of the exposed mice. The mean linear intercept, an indicator of alveolar destruction, was greater in all exposed groups when compared to control group. In the CS10, CS20 and CS30 mice, the immunohistochemical index (II) for MMP-12 increased in parallel with a decrease in II for TIMP-2 in the CS10, CS20 and CS30 mice. The II for the cytokines TNF-α and IL-6 was greater in all exposed groups than in the control group. Emphysema, with changes in volume density of collagen and elastic fibers, was observed in the CS60 group. Conclusions: These findings suggest that cigarette smoke induces emphysema with major participation of TNF-α and IL-6 without participation of neutrophils.

Keywords: Macrophages, alveolar; Emphysema; Tissue inhibitor of metalloproteinase-2; Interleukin-6.

RESUMO

Objetivo: Muitos estudos sobre enfisema são realizados com exposição de animais à fumaça de cigarro durante um longo tempo, focando o tipo de célula envolvida no desequilíbrio protease/antiprotease e a degradação da matriz extracelular. A expressão aumentada de metaloproteinases no enfisema está associado com citocinas e evidências sugerem um papel importante da metaloproteinase de matriz-12 (MMP-12). Nosso objetivo foi estudar a detecção de inibidor tissular de metaloproteinase-2 (TIMP-2), fator de necrose tumoral alfa (TNF-α) e interleucina-6 (IL-6) por métodos imunohistoquímicos no pulmão de camundongos. Métodos: Camundongos C57BL/6 machos foram expostos 3 vezes ao dia a fumaça de 3 cigarros por um período de 10, 20, 30 ou 60 dias através de uma câmara de inalação (grupos CS10, CS20, CS30 e CS60, respectivamente). O grupo controle foi exposto às mesmas condições ao ar ambiente. Resultados: Nós observamos um aumento progressivo de macrófagos alveolares no lavado broncoalveolar dos grupos expostos. O diâmetro alveolar médio, um indicador de destruição alveolar, aumentou em todos os grupos expostos quando comparado ao grupo controle. O índice imunohistoquímico (II) para MMP-12 aumentou nos grupos CS10, CS20 e CS30 em paralelo a uma redução do II para TIMP-2 nos grupos CS10, CS20 e CS30. O II para as citocinas TNF-α e IL-6 aumentou em todos os grupos expostos quando comparado ao grupo controle. Enfisema foi observado no grupo CS60, com alterações na densidade de volume de fibras colágenas e elásticas. Conclusões: Estes achados sugerem que a fumaça de cigarro induz enfisema com uma participação importante do TNF-α e da IL-6 sem a participação de neutrófilos.

Palavras-chave: Macrófagos alveolares; Enfisema; Inibidor tissular de metaloproteinase-2; Interleucina-6.

Introdução

A fumaça de cigarro é uma mistura complexa com mais de 4.000 constituintes químicos, sendo o maior fator de risco para doença pulmonar obstrutiva crônica (DPOC) e enfisema, que parece ser a lesão mais grave.(1) A teoria protease/antiprotease no enfisema induzido por fumaça de cigarro é baseada em uma resposta inflamatória crônica no trato respiratório inferior, onde as células inflamatórias liberam uma grande variedade de proteases que se sobrepõe às defesas antiproteolíticas, com subseqüente degradação de tecido conjuntivo.(2) A perda do recolhimento elástico e a evidência histológica de dano das fibras elásticas (Fe) implicam ­necessariamente em degradação de elastina como um fator chave na patogênese do enfisema.(3) Alguns pesquisadores consideram os neutrófilos como as principais células envolvidas na injúria elastolítica.(4,5) Entretanto, existem evidências que apontam os macrófagos alveolares como sendo as principais células responsáveis pela perda da histoarquitetura pulmonar.(6,7)

As matrix metalloproteinases (MMPs; metaloproteinases de matriz) participam no remodelamento e degradação da matriz extracelular.(8) Em condições fisiológicas, a atividade das MMPs são dependentes da ativação de precursores zimogênicos sobre pró-MMPs e regulada por inibidores endógenos de MMPs, denominados tissue inhibitors of matrix metalloproteinase (TIMP; inibidores tissulares de metaloproteinase).(9) São conhecidos quatro tipos: TIMP-1, TIMP-2, TIMP-3 e TIMP-4, que podem inibir MMPs com estequiometria de 1:1. Eles são freqüentemente co-expressados com as MMPs, controlando dessa forma a atividade proteolítica sobre o tecido.(10)

A interleucina-6 (IL-6) é uma citocina multifuncional produzida por uma variedade de células, geralmente em locais de inflamação.(11) Ela age em diferentes tipos de células e sistemas; entretanto, seu papel na fisiopatologia da inflamação é controverso. Estudos recentes têm indicado que a IL-6 possui uma potente ação antiinflamatória, incluindo a habilidade de inibir a expressão do tumor necrosis factor-alpha (TNF-α; fator de necrose tumoral alfa), interleucina-1, macrophage inflammatory protein 2 (MIP-2; proteína inflamatória de macrófago-2), diminuir o seqüestro de neutrófilos, aumentar o receptor antagonista da interleucina-1β, aumentar a produção de TIMPs, aumentar a produção intracelular de superóxido dismutase e inibir a apoptose celular.(12) Muitas células podem secretar TNF-α, mas os macrófagos parecem ser a mais importante fonte de produção. A liberação de TNF-α por monócitos ou macrófagos é aumentada de forma acentuada por outras citocinas como a interleucina-1, fator estimulador de colônias (granulócitos macrófagos e γ-interferon).(13) O TNF-α é normalmente sintetizado como um precursor de 26-kDa (pró-TNF-α) o qual é estocado na membrana de forma a ser prontamente liberado, caso haja necessidade. Quando ocorre um estímulo apropriado, por exemplo, a inalação de lipopolissacarídeo, o TNF-α é rapidamente convertido em uma forma biologicamente ativa de 17-kDa através da ação de uma metaloproteinase chamada de enzima conversora de TNF-α.(14) Entretanto, outras MMPs também têm atividade conversora de TNF-α em maior ou menor extensão. A MMP-12 é umas das MMPs que possui atividade conversora de TNF-α, pelo menos in vitro.(15)

Foi demonstrado em estudos anteriores o envolvimento do TNF-α e/ou da MMP-12 em camundongos expostos à fumaça de cigarro.(7,16-18) Neste estudo será investigado a expressão de MMP-12, TIMP-2, TNF-α e IL-6 através de métodos imunohistoquímicos em camundongos expostos à fumaça de cigarro em diferentes tempos.

Métodos

Camundongos C57BL/6 machos (6 a 8 semanas; 20 a 25 g) foram adquiridos do Núcleo de Animais de Laboratório da Universidade Federal Fluminense (Niterói, RJ). Os camundongos foram selecionados de forma aleatória; a saúde dos animais no Núcleo de Animais de Laboratório é monitorada através de exames laboratoriais para verificação de microorganismos. Após quarentena (sete dias) os animais foram mantidos em caixas de polipropileno e mantidos em um ciclo de 12 h claro/escuro com livre acesso a água e ração padrão. Os animais foram manipulados segundo padrões estabelecidos pelo Instituto de Biologia Roberto Alcântara Gomes após o projeto de pesquisa ser aprovado pela comissão de ética para trabalhos com animais de laboratório.

Grupos de camundongos C57BL/6 machos (n = 8) foram expostos à fumaça de 3 cigarros comerciais (10 mg alcatrão, 0,8 mg de nicotina e 10 mg de monóxido de carbono), 3 vezes/dia (no total de 9 cigarros/dia), 7 dias/semana por 10, 20, 30 e 60 dias (grupos CS10, CS20, CS30 e CS60, respectivamente) em uma câmara de inalação conforme descrito por nós em estudos anteriores.(7,16-18) Brevemente, cada grupo foi colocado na câmara de inalação (40 cm de comprimento, 30 cm de largura e 25 cm de altura) e a fumaça foi produzida de cada cigarro durante 6 minutos e direcionada para a câmara de exposição através de uma seringa (60 mL). Cada cigarro produz 300 mg/m2 de material particulado suspenso na câmara. Após a exposição de um cigarro, os camundongos eram expostos a 1 min de ar ambiente; então o procedimento com a fumaça de cigarro era repetido. Todo o procedimento foi realizado dentro de uma capela de exaustão. Um grupo controle exposto às mesmas condições ao ar ambiente foi utilizado. Um dia após a última exposição, as traquéias de 3 camundongos de cada grupo foram canuladas e os pulmões foram lavados com 0,6 mL de solução salina fosfato (PBS) gelada por 3 vezes.
O volume médio recuperado foi de 1,5 mL. O número total de células foi determinado através da câmara de Neubauer. O lavado broncoalveolar foi citocentrifugado, fixado e corado com Giemsa. Os diferentes tipos de células foram identificados através de contagem diferencial por microscopia de luz. Dois investigadores contaram lâminas não identificadas.

Um dia após a última exposição, 5 camundongos foram sacrificados e os pulmões foram perfundidos para retirada do sangue através de solução salina no ventrículo direito. Os pulmões foram fixados in situ por 2 min com formalina tamponada (4%) via instilação intratraqueal na pressão de 25 cmH2O. A traquéia foi bloqueada e os pulmões foram removidos e colocados em solução fixadora por 48 h. Após inclusão definitiva em parafina, cortes de 5 µm foram realizados e as lâminas foram coradas em hematoxilina e eosina, como rotina; picrosirius, para a observação de fibras colágenas (Fc); e resorcina-fucsina de Weigert, para a observação de Fe. A quantificação do enfisema pulmonar foi verificada pela presença de destruição alveolar determinada pela medida do diâmetro alveolar médio (Lm) em micrômetros, de acordo com um estudo publicado.(19) Resumidamente, essa técnica consiste na determinação do número de vezes que estruturas do parênquima de troca gasosa intercepta um conjunto de retas coerentes. Dessa forma, no caso de presença de enfisema, o número de interceptos das estruturas alveolares com o sistema de retas será menor, indicando destruição alveolar. O Lm é obtido pela equação Lm = Ltot/Li, em que Ltot é o comprimento total das retas do campo microscópico e Li é o número de interceptos de estruturas alveolares com as retas do retículo. Para tanto, 16 campos de cada lâmina foram contados e observados a uma magnificação total de 200× através de um retículo acoplado ao monitor. A estereologia foi realizada através de um sistema-teste composto por 21 pontos e numa área-teste conhecida onde a linha proibida foi considerada como delimitação, a fim de evitar uma superestimação no número de estruturas. O sistema-teste foi acoplado a um monitor ligado a um microscópio. O número de pontos (PP) que interceptaram as Fc e as Fe foi contado de acordo com o número total de pontos de um sistema-teste (PT). Então, temos que a densidade de volume (Vv) é igual à PP/PT.(17) Para o procedimento de imunohistoquímica, as lâminas (5 µm) foram incubadas com os anticorpos contra MMP-12, TIMP-2, TNF-α e IL-6 (Santa Cruz Biotechnology Inc., Santa Cruz, CA, EUA). Os anticorpos, sua origem e os protocolos usados são mostrados na Tabela 1. Lâminas com a mesma numeração foram submetidas ao mesmo procedimento sem os anticorpos primários (controle negativo). A análise imunohistoquímica foi realizada através do método avidina-biotina conjugada a peroxidase (Goat ABC staining system, Santa Cruz Biotechnology Inc., Santa Cruz, CA, EUA) como descrito previamente por nós em trabalho anterior.(16) Brevemente, as lâminas foram desparafinizadas e reidratadas em xilol e alcoóis. A recuperação antigênica foi realizada através de uma solução de 1 mM de EDTA em tampão citrato (pH 8,0) em alta temperatura em microondas por 5 min. A peroxidase endógena foi inibida através de uma solução de peróxido de hidrogênio (3%) em metanol. A reação antígeno-anticorpo inespecífica foi bloqueada através da incubação das lâminas em soro de eqüino-PBS e albumina sérica eqüina (HSA) 5-10%, por 60 min. Todos os anticorpos ou os controles negativos foram diluídos em PBS/HSA 1% por 60 min.
Subseqüentemente, todas as lâminas foram tratadas com o kit comercial do anticorpo secundário (Goat ABC staining system) por 30 min, seguido do complexo avidina-biotina peroxidase por mais 30 min. A reação antígeno-anticorpo foi observada através de um precipitado marrom após aplicação de 3,3 diaminobenzidina por 4 min e contracoloração com hematoxilina (30 s). As lâminas foram então reidratadas, diafanizadas e montadas para observação em microscopia de luz. A quantificação dos macrófagos alveolares foi realizada através do índice imunohistoquímico (II). Para tanto, o número de macrófagos alveolares positivos (MA+) para MMP-12, TIMP-2, TNF-α ou IL-6 foi dividido pelo número total de macrófagos (MAT) × 100, ou seja, II = MA+/MAT × 100. Assim, 50 campos de 26.000 µm2 (10 campos em 5 diferentes lâminas de cada grupo) foram contados por dois investigadores em tempos diferentes.
Os investigadores contaram lâminas não identificadas em um aumento final de 400× através de um microscópio Olympus (modelo BH2, Tóquio, Japão) A observação dos macrófagos alveolares em algumas lâminas imunocoradas foi confirmada por Giemsa.(17,18)



Os dados numéricos foram calculados como média ± erro padrão. As diferenças dos dados contínuos entre os grupos foram observadas através da análise de variância seguida do pós-teste de Tukey; as diferenças dos dados discretos entre os grupos foram observadas através do teste de ­Kruskal-Wallis seguido do pós-teste de Dunn; em ambos os casos um valor de p < 0,05 foi considerado como significativo.

Resultados

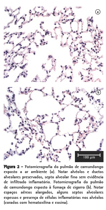
Foi observado um aumento significativo no número de macrófagos alveolares no grupo CS10 (p < 0,001), que foi contínuo de acordo com o tempo de exposição nos grupos CS20, CS30 e CS60 (p < 0,001) em relação ao grupo controle (Figura 1). Entretanto, não foi observado alterações no número de neutrófilos. Na análise histológica, o grupo controle exposto ao ar ambiente apresentou alvéolos preservados com o septo alveolar fino e ocasionais macrófagos alveolares (Figura 2a). Os grupos CS10 e CS20 apresentaram um padrão histológico com alterações progressivas de quebra do septo alveolar com um maior número de macrófagos alveolares. O grupo CS30 apresentou um padrão inicial de alterações da histoarquitetura pulmonar principalmente com alargamentos dos espaços aéreos correspondentes ao ducto alveolar e alvéolos. O grupo CS60 apresentou um padrão típico de enfisema em camundongos com áreas de alargamento de alvéolos e áreas de fibrose inicial (Figura 2b).





As alterações da histoarquitetura pulmonar foram quantificadas (Figura 1) por meio de Lm, Vv(Fc) e Vv(Fe). Foi observado um aumento progressivo de Lm que foi estatisticamente significativo já no grupo CS10 (p < 0,01) e continuado nos grupos CS20, CS30 e CS60 (p < 0,001) em relação ao grupo controle. Houve redução significativa da Vv(Fc) nos grupos CS20 (p < 0,001) e CS30 (p < 0,01) em relação ao grupo controle. A Vv(Fe) reduziu progressivamente, em relação ao grupo controle, nos grupos CS10, CS20 e CS30, mas sem diferença estatisticamente significante. O grupo CS60 apresentou uma redução significativa (p < 0,001) da Vv(Fe) em relação ao grupo controle e em relação ao grupo CS10 (p < 0,05).

A detecção de MMP-12, TIMP-2, TNF-α e IL-6 foi quantificada através do II. Todos os macrófagos alveolares, positivos ou não, foram contados. Para a MMP-12, foi observado um aumento do II nos grupos CS10, CS20 e CS30 (p < 0,001) em relação ao grupo controle (Figuras 3, 4a, 4b e 4c). Para a TIMP-2, foi observado uma redução do II nos grupos CS10, CS20 e CS30 (p < 0,001) em relação ao grupo controle (Figuras 3, 4d, 4e e 4f). Todos os grupos expostos à fumaça de cigarro apresentaram um aumento do II para o TNF-α (p < 0,001) em relação ao grupo controle (Figuras 3, 4g, 4h e 4i); entretanto, a quantificação foi menor no grupo CS60 que nos grupos CS10, CS20 e CS30. Para a IL-6, foi observado um aumento progressivo do II nos grupos CS10 (p < 0,01), CS20 e CS30 (p < 0,001 para ambos), que se manteve no grupo CS60 (p < 0,001) em relação ao grupo controle (Figuras 3, 4j, 4k e 4l).





Discussão

A DPOC é definida como uma doença caracterizada pela presença de obstrução ao fluxo aéreo devido à bronquite ou enfisema.(20) Uma variedade de MMPs pode participar da DPOC através da degradação de componentes da matriz extracelular, principalmente elastina.(7,17,21) Entretanto, MMPs também têm um papel na regulação da inflamação através da geração de quimiocinas e citocinas e abrindo rotas nas barreiras teciduais para a passagem de células inflamatórias.(22) O enfisema provavelmente resulta quando a fumaça de cigarro causa um extenso e continuado recrutamento de células inflamatórias que liberam enzimas proteolíticas sobre a matriz extracelular. A destruição do parênquima pulmonar é definitiva devido à falência do reparo sobre o alargamento dos espaços aéreos, característica do enfisema.(23)

Em estudo anterior, foi descrito espessamento de septo e espaços aéreos aumentados em camundongos C57BL/6 após 60 dias de exposição à fumaça de cigarro.(7) Essas alterações foram seguidas de redução de Fc e Fe em paralelo a um aumento de macrófagos alveolares. O presente estudo foi realizado para conhecer melhor a participação dos macrófagos alveolares nesse modelo de enfisema. Aqui o enfisema foi observado com aumento de Lm, um índice largamente usado para quantificação da destruição alveolar.(19) Apesar do aumento significativo de Lm observado já a partir do grupo CS10, o padrão histológico de enfisema só foi evidente no grupo CS60. O desequilíbrio entre protease e antiprotease evidenciado aqui, através da detecção por imunohistoquímica de MMP-12 e TIMP-2, foi marcado também pela presença de TNF-α e IL-6. Esses resultados indicaram um aumento de MMP-12 concomitante a uma diminuição de TIMP-2 nos grupos CS10, CS20 e CS30. Entretanto, no grupo que apresentou um padrão histológico de enfisema (CS60), parece que a MMP-12 não exerceu um papel tão importante; em parte, acredita-se que este fato seja devido ao aumento de TIMP-2.
Entretanto, a Vv(Fe) foi progressivamente reduzida de acordo com o tempo de exposição, sendo a redução máxima em CS60 significativa em relação ao grupo controle. Curiosamente, a redução significativa das Fe ocorreu justamente quando a expressão de MMP-12 diminuiu (CS60). Para a MMP-12, já foi descrita a sua participação no enfisema em camundongos(7,17,24) e em humanos,(6) porém poucos relatos existem quanto a TIMP-2. Nesse estudo, é sugerido que quando a doença está instalada, a necessidade de produção de MMP-12 não seja tão importante; talvez a produção aumentada de TIMP-2 no grupo CS60 possa ser responsável pelo aumento na Vv(Fc) verificado através da estereologia. Outras enzimas proteolíticas podem participar desse processo de injúria levando ao enfisema, como é o caso das gelatinases, colagenases e estromelisinas.(21) Não se pode afirmar-e não é objetivo do presente trabalho-ou atribuir somente à TIMP-2 a propriedade de ação como antiprotease, devido à existência de outras TIMPs, que já foram descritas como tendo alguma ação no enfisema em animais(9) e humanos.(21)

Nesse estudo, foi analisado também a detecção de TNF-α e IL-6 nos macrófagos alveolares. No grupo controle, a detecção de TNF-α e IL-6 através do II foi pequena. Nos grupos CS10, CS20, CS30 e CS60, o II para TNF-α aumentou significativamente em relação ao grupo controle. Este achado corrobora trabalhos anteriores,(12,16,17,25) que mostraram uma participação especial do TNF-α no enfisema induzido por fumaça de cigarro. Quanto ao II para IL-6, esse estudo observou um aumento progressivo nos grupos expostos em relação ao grupo controle. Para o resultado da IL-6, o presente estudo é o primeiro a mostrar uma participação importante dessa citocina na inflamação pulmonar (CS10 e CS20) e no enfisema (CS60). Os resultados indicam que a IL-6 tem um papel pró-inflamatório e pode estar de alguma forma envolvida na DPOC. A concentração de IL-6 no lavado broncoalveolar de pacientes com DPOC é significantemente maior que em sujeitos sem DPOC, sugerindo que o fumo tem algum papel no aumento da concentração de IL-6.(12) Além disso, camundongos deficientes para a produção de IL-6 têm uma redução na liberação de citocinas, quimiocinas e outros mediadores pró-inflamatórios.(26,27)

Os resultados sugerem que a secreção, liberação e atividade de MMP-12, como observadas aqui, permitiram a liberação de TNF-α. Essa relação já foi evidenciada em outro estudo.(25) Nós sugerimos também que a detecção de TNF-α não é exclusiva de uma fase aguda ou esteja ligada somente à presença de neutrófilos. Entretanto, é preciso lembrar que nesse estudo não foram analisadas as células inflamatórias do septo alveolar, que acreditamos serem tão importantes para o curso da DPOC quanto as células inflamatórias que estão presentes nos alvéolos. A teoria protease/antiprotease é largamente aceita, mas as células e os tipos de enzimas proteolíticas que certamente participam do processo patológico são uma questão controversa.
Não se ignora o fato também da teoria oxidantes/antioxidantes.(28) Nessa teoria, o estresse oxidativo é sugerido como forte contribuinte na patogênese e progressão da DPOC. Espécies reativas de oxigênio e nitrogênio da fumaça de cigarro e das células inflamatórias reagem com a matriz extracelular induzindo dano tecidual.(29) Os mediadores inflamatórios também aumentam a produção de oxidantes nas células inflamatórias,(28,29) mas não é claro se a exclusão dos mediadores inflamatórios poderia permitir o surgimento de lesões no pulmão induzidas por oxidantes exclusivamente.

Em conclusão, nós sugerimos que o macrófago é uma célula chave na destruição da matriz extracelular do pulmão, cuja progressão temporal leva ao enfisema em camundongos. Como evidenciado em outros estudos, a MMP-12 parece ter um papel importante no início da doença, cuja produção pode ser reduzida pelo aumento de TIMP-2, mas sem interferir no curso final do processo patológico. O TNF-α e a IL-6 são marcadores importantes do enfisema, e nosso estudo sugere uma ação pró-inflamatória para ambas as citocinas.

Referências

1. Borgerding M, Klus H. Analysis of complex mixtures--cigarette smoke. Exp Toxicol Pathol. 2005;57(Suppl 1):43-73.

2. Hoyt JC, Robbins RA, Habib M, Springall DR, Buttery LD, Polak JM, et al. Cigarette smoke decreases inducible nitric oxide synthase in lung epithelial cells. Exp Lung Res. 2003;29(1):17-28.

3. Barnes PJ. Mediators of chronic obstructive pulmonary disease. Pharmacol Rev. 2004;56(4):515-48.

4. Dhami R, Gilks B, Xie C, Zay K, Wright JL, Churg A. Acute cigarette smoke-induced connective tissue breakdown is mediated by neutrophils and prevented by alpha1-antitrypsin. Am J Respir Cell Mol Biol. 2000;22(2):244-52.

5. Shapiro SD, Goldstein NM, Houghton AM, Kobayashi DK, Kelley D, Belaaouaj A. Neutrophil elastase contributes to cigarette smoke-induced emphysema in mice. Am J Pathol. 2003;163(6):2329-35.

6. Molet S, Belleguic C, Lena H, Germain N, Bertrand CP, Shapiro SD, et al. Increase in macrophage elastase (MMP-12) in lungs from patients with chronic obstructive pulmonary disease. Inflamm Res. 2005;54(1):31-6.

7. Valença SS, da Hora K, Castro P, Moraes VG, Carvalho L, Porto LC. Emphysema and metalloelastase expression in mouse lung induced by cigarette smoke. Toxicol Pathol. 2004;32(3):351-6.

8. Malemud CJ. Matrix metalloproteinases (MMPs) in health and disease: an overview. Front Biosci. 2006;11:1696-701.

9. Bode W, Maskos K. Structural studies on MMPs and TIMPs. Methods Mol Biol. 2001;151:45-77.

10. Gueders MM, Foidart JM, Noel A, Cataldo DD. Matrix metalloproteinases (MMPs) and tissue inhibitors of MMPs in the respiratory tract: potential implications in asthma and other lung diseases. Eur J Pharmacol. 2006;533(1-3):133-44.

11. Chyczewska E, Mróz RM, Kowal E. TNF-alpha, IL-1 and IL-6 concentration in bronchoalveolar lavage fluid (BALF) of non-small cell lung cancer (NSCLC). Rocz Akad Med Bialymst. 1997;42(Suppl 1):123-35.

12. Seifart C, Dempfle A, Plagens A, Seifart U, Clostermann U, Müller B, et al. TNF-alpha-, TNF-beta-, IL-6-, and IL-10-promoter polymorphisms in patients with chronic obstructive pulmonary disease. Tissue Antigens. 2005;65(1):93-100.

13. Chung KF. Cytokines in chronic obstructive pulmonary disease. Eur Respir J Suppl. 2001;34:S50-S59.

14. Majka S, McGuire PG, Das A. Regulation of matrix metalloproteinase expression by tumor necrosis factor in a murine model of retinal neovascularization. Invest Ophthalmol Vis Sci. 2002;43(1):260-6.

15. Gilks CB, Price K, Wright JL, Churg A. Antioxidant gene expression in rat lung after exposure to cigarette smoke. Am J Pathol. 1998;152(1):269-78.

16. da Hora K, Valença SS, Porto LC. Immunohistochemical study of tumor necrosis factor-alpha, matrix metalloproteinase-12, and tissue inhibitor of metalloproteinase-2 on alveolar macrophages of BALB/c mice exposed to short-term cigarette smoke. Exp Lung Res. 2005;31(8):759-70.

17. Valenca SS, Castro P, Pimenta WA, Lanzetti M, Silva SV, Barja-Fidalgo C, et al. Light cigarette smoke-induced emphysema and NFkappaB activation in mouse lung. Int J Exp Pathol. 2006;87(5):373-81.

18. Silva Bezerra F, Valença SS, Lanzetti M, Pimenta WA, Castro P, Gonçalves Koatz VL, et al. Alpha-tocopherol and ascorbic acid supplementation reduced acute lung inflammatory response by cigarette smoke in mouse. Nutrition. 2006;22(11-12):1192-201.

19. Fusco LB, Pêgo-Fernandes PM, Xavier AM, Pazetti R, Rivero DH, Capelozzi VL, et al. Modelo experimental de enfisema pulmonar em ratos induzido por papaína. J Pneumol. 2002;28(1):1-7.

20. Barnes PJ. Chronic obstructive pulmonary disease. N Engl J Med. 2000;343(4):269-80.

21. Belvisi MG, Bottomley KM. The role of matrix metalloproteinases (MMPs) in the pathophysiology of chronic obstructive pulmonary disease (COPD): a therapeutic role for inhibitors of MMPs? Inflamm Res. 2003;52(3):95-100.

22. Shapiro SD. Proteinases in chronic obstructive pulmonary disease. Biochem Soc Trans. 2002;30(2):98-102.

23. Lagente V, Manoury B, Nénan S, Le Quément C, Martin-Chouly C, Boichot E. Role of matrix metalloproteinases in the development of airway inflammation and remodeling. Braz J Med Biol Res. 2005;38(10):1521-30.

24. Hautamaki RD, Kobayashi DK, Senior RM, Shapiro SD. Requirement for macrophage elastase for cigarette smoke-induced emphysema in mice. Science. 1997;277(5334):2002-4.

25. Churg A, Wang RD, Tai H, Wang X, Xie C, Wright JL. Tumor necrosis factor-alpha drives 70% of cigarette smoke-induced emphysema in the mouse. Am J Respir Crit Care Med. 2004;170(5):492-8.

26. Cataldo D, Munaut C, Noël A, Frankenne F, Bartsch P, Foidart JM, et al. MMP-2- and MMP-9-linked gelatinolytic activity in the sputum from patients with asthma and chronic obstructive pulmonary disease. Int Arch Allergy Immunol. 2000;123(3):259-67.

27. Kuhn C 3rd, Homer RJ, Zhu Z, Ward N, Flavell RA, Geba GP, et al. Airway hyperresponsiveness and airway obstruction in transgenic mice. Morphologic correlates in mice overexpressing interleukin (IL)-11 and IL-6 in the lung. Am J Respir Cell Mol Biol. 2000;22(3):289-95.

28. Rahman I, Biswas SK, Kode A. Oxidant and antioxidant balance in the airways and airway diseases. Eur J Pharmacol. 2006;533(1-3):222-39.

29. Domej W, Földes-Papp Z, Flögel E, Haditsch B. Chronic obstructive pulmonary disease and oxidative stress. Curr Pharm Biotechnol. 2006;7(2):117-23.





Trabalho realizado no Laboratório de Reparo Tecidual do Departamento de Histologia e Embriologia. Instituto de Biologia Roberto Alcântara Gomes.
Universidade do Estado do Rio de Janeiro - UERJ - Rio de Janeiro (RJ) Brasil.
1. Professor Visitante do Departamento de Histologia e Embriologia. Universidade do Estado do Rio de Janeiro - UERJ - Rio de Janeiro (RJ) Brasil.
2. Professor Titular do Departamento de Histologia e Embriologia. Universidade do Estado do Rio de Janeiro - UERJ - Rio de Janeiro (RJ) Brasil.
Endereço para correspondência: Samuel dos Santos Valença. DHE/IBRAG/UERJ, Av. Prof. Manoel de Abreu, 444, 3º andar, CEP 20550-170, Rio de Janeiro, RJ, Brasil.
Tel 55 21 2587-6509. E-mail: samuelv@hotmail.com
Apoio financeiro: Este trabalho foi financiado pela Fundação Carlos Chagas Filho de Amparo à Pesquisa do Estado do Rio de Janeiro (FAPERJ) e pela Universidade do Estado do Rio de Janeiro (UERJ).
Recebido para publicação em 6/8/2007. Aprovado, após revisão, em 15/2/2008

Indexes

Development by:

© All rights reserved 2025 - Jornal Brasileiro de Pneumologia