Continuous and bimonthly publication
ISSN (on-line): 1806-3756

Licença Creative Commons
50498
Views
Back to summary
Open Access Peer-Reviewed
Review Article

Papel da imuno-histoquímica no diagnóstico do câncer de pulmão

Role of immunohistochemistry in the diagnosis of lung cancer

Vera Luiza Capelozzi

ABSTRACT

The role of immunohistochemistry is to recognize antigens and, consequently, to identify and classify specific cells within a cell population whose morphology is heterogenous or apparently homogenous. The visualization of the antigen-antibody complex is made possible through the addition of either a fluorochrome conjugate or an enzyme to the antibody, which is then viewed under microscopy. Immunohistochemistry can be used in the routine diagnosis of lung cancer, in order to identify biological markers (diagnostic and prognostic). The essential immunohistochemistry panels will be discussed in this review.

Keywords: Immunohistochemistry; Tumor markers, biological; Lung neoplasms.

RESUMO

O propósito da imuno-histoquímica é reconhecer antígenos e assim identificar e classificar células específicas dentro de uma população celular morfologicamente heterogênea (ou aparentemente homogênea). A visualização do complexo antígeno-anticorpo é possível pela adição de um fluorocromo conjugado ao anticorpo, que pode então ser observado ao microscópio, ou alternativamente uma enzima, cujo produto de reação pode igualmente ser visualizado. A imuno-histoquímica pode ser aplicada na rotina diagnóstica complementar do câncer de pulmão para a identificação de marcadores biológicos diagnósticos e prognósticos. Os painéis imuno-histoquímicos mínimos necessários para a complementação diagnóstica serão discutidos nesta revisão.

Palavras-chave: Imunoistoquímica; Marcadores biológicos de tumor; Neoplasias pulmonares.

Classificação

O câncer de pulmão é representado em quase 95% dos casos por carcinomas, sendo os 5% restantes representados sobretudo por sarcomas e linfomas. Clinicamente, os carcinomas pulmonares são classificados em carcinomas não-pequenas células (CNPCs) e carcinomas de pequenas células. Segundo a classificação atual da Organização Mundial de Saúde,(1) os CNPCs incluem os tipos histológicos carcinoma de células escamosas, adenocarcinoma e carcinoma de grandes células. Na mesma classificação, os carcinomas de pequenas células são considerados como carcinomas neuroendócrinos, da mesma forma que os seguintes tipos histológicos: tumor carcinoide típico, tumor carcinoide atípico e carcinoma neuroendócrino de grandes células. Os CNPCs são os mais frequentes (75-80% de todos os casos),(2) e o estadiamento clínico e o tipo histológico são fundamentais para o estabelecimento da estratégia terapêutica para estes pacientes. Nos estádios mais precoces, a ressecção cirúrgica representa a chance real de cura.(3) Entretanto, mesmo no estádio clínico IA (T1N0M0), 30-40% dos pacientes morrerão em consequência da progressão da neoplasia,(4-6) principalmente às custas de recidiva sistêmica. Por esse motivo, a identificação dos diferentes tipos histológicos e de fatores prognósticos é importante e tem a finalidade de selecionar os pacientes para o tratamento adequado, além de identificar os tumores com maior risco de recidiva. Estes pacientes selecionados teriam um benefício potencial com terapêuticas direcionadas ao tipo histológico e com terapias adjuvantes, que visam evitar a recidiva da neoplasia e a sua evolução fatal. Portanto, a intenção de tais sistemas classificatórios é fornecer critérios à microscopia de luz que possam permitir estabelecer diagnósticos consistentes entre os patologistas. Com tal disciplina, comparativamente, os protocolos de tratamento podem então ser estabelecidos. Quando os critérios propostos por estes sistemas classificatórios são obedecidos, há 90% de concordância entre os diagnósticos emitidos por patologistas experientes.(1) A grande variabilidade interobservador é encontrada na identificação do carcinoma de grande células frente ao carcinoma de células escamosas e a adenocarcinomas pouco diferenciados. Neste contexto, a imuno-histoquímica representa uma ferramenta que pode prover uma separação nítida entre os vários tipos.

Imuno-histoquímica

O propósito da imuno-histoquímica é reconhecer constituintes celulares, ou seja, antígenos, e assim identificar e classificar células específicas dentro de uma população celular morfologicamente heterogênea (ou aparentemente homogênea). A visualização do complexo antígeno-anticorpo é possível pela adição de um fluorocromo (conjugado) ao anticorpo, que pode então ser observado ao microscópio, ou, alternativamente, de uma enzima, cujo produto de reação pode igualmente ser visualizado. Em alguns casos, os anticorpos não são inteiramente específicos e podem reagir de maneira cruzada com mais de um antígeno, ou pode haver resultados tanto falso-positivos quanto falso-negativos, ambos resultantes de altos níveis de coloração de fundo e adsorção. Mais ainda, algumas células podem expressar antígenos usualmente associados com tipos completamente diferentes, como por exemplo, antígeno prostático-específico no pâncreas e glândulas salivares ou antígenos linfoides em tumores pulmonares. Desta forma, cortes apropriados de tecidos controles (como de linfonodos ou amígdalas para antígenos linfoides) são sempre processados com os cortes de pulmão, e esses controles são sempre verificados antes da avaliação de um tumor pulmonar.

A imuno-histoquímica pode ser aplicada na rotina diagnóstica complementar do câncer de pulmão para a identificação de marcadores biológicos diagnósticos e prognósticos. Atualmente, a maioria dos laboratórios de anatomia patológica dispõe de painéis imuno-histoquímicos mínimos necessários para a complementação diagnóstica.

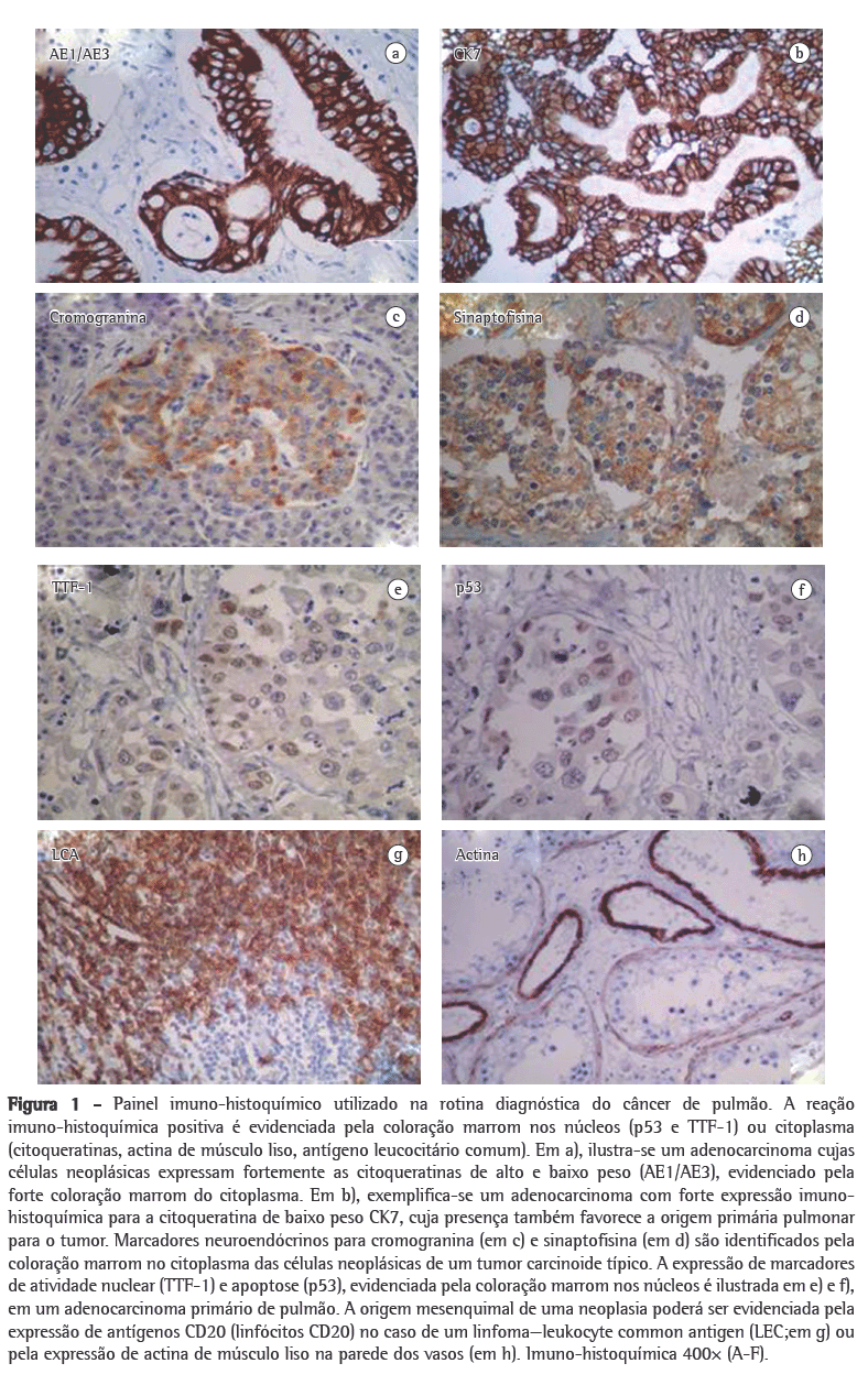
A Figura 1 ilustra um painel imuno-histoquímico para os marcadores epiteliais (citoqueratinas AE1/AE3 e citoqueratina CK7), neuroendócrinos (cromogranina, sinaptofisina, thyroid transcription factor-1 [TTF-1, fator de transcrição tireoidiano 1] e p53) e marcadores mesenquimais (antígeno leucocitário comum e actina de músculo liso).

Marcadores biológicos diagnósticos

A biópsia pulmonar representa uma das abordagens diagnósticas do câncer de pulmão, cuja intenção primordial é classificar os tumores em um dos quatro tipos histológicos maiores, ou seja, carcinoma de células escamosas, adenocarcinoma, carcinoma neuroendócrino e carcinoma de grandes células. Quando problemas técnicos de amostragem, assim como problemas arterfatuais ou de indiferenciação celular, não permitirem a classificação definitiva, todo o esforço deverá ser feito no sentido de ao menos identificar a histogênese (carcinoma vs. sarcoma vs. linfoma) e separar os tumores indiferenciados de grandes e de pequenas células. É fato que, em algumas situações, tal ampla separação pode ser impossível de ser realizada por falta de material avaliável. Nesse contexto, a imuno-histoquímica será a ferramenta complementar imprescindível, como passaremos a discutir.

Embora o índice de concordância para os carcinomas neur oendócrinos, sobretudo o carcinoma de pequenas células, seja em torno de 85%, em 15% dos casos há a necessidade de ser realizado um painel imuno-histoquímico, incluindo os seguintes marcadores(1,7): citoqueratinas de alto e baixo peso (AE1/AE3; Figura 1a), TTF-1 (Figura 1e); citoqueratinas específicas para origem primária pulmonar (CK7; Figura 1b); citoqueratinas para origem primária em trato gastrointestinal (CK20); marcadores de diferenciação neuroendócrina (cromogranina, sinaptofisina e CD56; Figura 1c e 1d); marcadores de origem mesenquimal (vimentina e actina de músculo liso; Figura 1h) e marcadores de origem linfoide (antígeno leucocitário comum; Figura 1g). A utilização das citoqueratinas CK7 e CK20 oferece ainda a oportunidade de estabelecer se a lesão é primária pulmonar (CK7+, CK20−) ou metastática do trato digestivo (CK7−, CK20+).





Diferenciação neuroendócrina

Uma vez estabelecido que o tumor é neuroendócrino, há necessidade de separá-lo em: neuroendócrino de alto grau (carcinoma de pequenas células e carcinoma neuroendócrino de grandes células) ou neuroendócrino de baixo grau (tumor carcinoide típico; tumor carcinoide atípico).(7)

Tumor carcinoide típico ou carcinoma neuroendócrino de baixo grau

É caracterizado por 0 ou 1 mitose por 2 mm2, ausência de necrose, estruturas neuroendócrinas (rosetas, trabéculas e ninhos sólidos) e imunoexpressão de cromogranina no citoplasma.

Tumor carcinoide atípico ou carcinoma neuroendócrino de
baixo grau


É definido por 2-10 mitoses por 2 mm2 ou presença de necrose, estruturas neuroendócrinas (rosetas, trabéculas e ninhos sólidos) e imunoexpressão de cromogranina no citoplasma.

Carcinoma neuroendócrino de grandes células

É definido por mitoses numerosas (normalmente mais de 30 por 2 mm2); núcleos grandes (25-35 mµ); estrutura organoide, similar ao carcinoide; necroses grandes; e positividade para os marcadores neuroendócrinos cromogranina, sinaptofisina e outros (mais de 25% células são positivas).

Carcinoma neuroendócrino de pequenas células

É definido por mitoses numerosas, estrutura organoide, núcleos entre 16-23 mµ, heterocromatina densa, nucléolos invisíveis, citoplasma invisível ou escasso e positividade para os marcadores neuroendócrinos cromogranina, sinaptofisina e TTF-1.

Diferenciação não-neuroendócrina


Carcinoma não-pequenas células

Se o tumor for não-neuroendócrino, em vista das opções terapêuticas vigentes, todo o esforço deverá ser feito na tentativa de separar ao menos, à microscopia de luz, tumores pulmonares de pequenas células dos de não-pequenas células. Deve ser lembrado que, sob a denominação CNPCs, incluem-se carcinomas de células escamosas, adenocarcinomas e carcinomas de grandes células sem evidências de diferenciação à coloração usual por H&E. Nesse contexto, colorações especiais por histoquímica (mucina) e imuno-histoquímica deverão ser consideradas. No caso de o CNPC ser um possível adenocarcinoma, o primeiro passo será identificar se este é primário ou metastático, através do seguinte painel: primário pulmonar (TTF-1+, CK7+), primário do trato digestivo (CK20+), primário da tireoide (tireoglobulina positivo), primário da próstata (prostate-specific antigen [PSA, antígeno específico da próstata] positivo), primário de mama (receptores de estrógeno, receptores de progesterona e Br-est positivos) e primário de ovário (CA125+). Carcinomas de células escamosas primários ou metastáticos nos pulmões são geralmente positivos para citoqueratina CK5/CK6 de alto peso molecular 34βE12, citoqueratina CK5/CK6 e citoqueratinas de baixo peso molecular 35βH11, sendo que poucos casos podem ser TTF-1 e citoqueratina 7 positivos.(1) Não há até o momento marcadores imuno-histoquímicos para a diferenciação entre carcinomas de células escamosas primários e metastáticos. Alguns autores demonstraram a importância da expressão da proteína p63, das citoqueratinas CK5/CK6 e CK7 e de surfactant protein A (SP-A; proteína surfactante A) na classificação de 42 CNPCs de pulmão em espécimes de autópsia e de ressecção cirúrgica, além de sua utilidade na diferenciação entre carcinomas de células escamosas e adenocarcinomas pelas implicações prognósticas e no tratamento.(8) Todos os adenocarcinomas foram negativos para a proteína p63; 9/16 (56,2%) foram CK5/CK6+, 16/17 (94,1%) foram CK7+, e 4/15 (26,6%) foram SP-A+. Nos carcinomas de células escamosas, 1 caso foi CK7+ e SP-A+ e 14/18 (77,8%) foram p63+. Os autores concluíram que a expressão da proteína p63 mostrou-se útil na diferenciação entre os dois tipos histológicos.

Carcinoma bronquíolo-alveolar

Entre os vários subtipos histológicos de adenocarcinomas, o mais importante de ser reconhecido é o carcinoma bronquíolo-alveolar, pelas implicações prognósticas que oferece. A característica histológica mais importante para seu reconhecimento é o crescimento ao longo das paredes alveolares, sem destruição da histoarquitetura pulmonar.
Embora o reconhecimento histológico do carcinoma bronquíolo-alveolar não necessite de técnicas complementares, a imuno-histoquímica usualmente reflete a expressão de TTF-1 e de SP-A.

Marcadores biológicos prognósticos

A imuno-histoquímica poderá ser aplicada na rotina diagnóstica do carcinoma broncogênico para a identificação de marcadores biológicos prognósticos. Embora ainda não se disponha de um painel unânime para o câncer de pulmão em nossa rotina diagnóstica, temos utilizado p53, c-ERB, vascular endothelial growth factor (VEGF), cyclooxygenase (COX) e matrix metalloproteinase 9 (MMP-9).


p53

Mutações no gene p53 podem não produzir proteína p53 como produzi-la disfuncionalmente. A proteína mutante tem uma vida média muito mais longa do que a de tipo selvagem, resultando em altos níveis nas células transformadas. O gene p53 está localizado no cromossomo p17.
Anormalidades no gene p53 são comuns em câncer de pulmão, usualmente como ponto de mutação. A proteína codificadora (p53) é provavelmente um fator de transcrição nuclear e também é um fator de supressão tumoral por mecanismos ainda não bem elucidados. O gene p53 regula o crescimento celular na interface G1-S do ciclo celular e tem um papel importante na indução da apoptose, ou da morte celular programada, em células com DNA lesado. Mutações no gene p53 parecem estar associadas com a exposição a substâncias ambientais, tais como o fumo do cigarro.(9) Anormalidades na expressão do gene p53 não parecem estar associadas com o prognóstico em tumores pulmonares mistos, mas conferem um prognóstico pior em pacientes com adenocarcinomas estádio I.(10) Tem sido demonstrado em modelos animais que o gene p53 do tipo selvagem pode sofrer transdução em esferoides tumorais de câncer de pulmão com um vetor retroviral. Se as células tumorais forem homozigotas para um mutante p53, não haverá significante inibição do crescimento após a transdução nem a expressão do p53 do tipo selvagem, com a apoptose induzida no esferoide celular.
Isto levanta a possibilidade de uma nova estratégia terapêutica em câncer de pulmão com a mutação no gene p53. Alguns autores(10) estudaram adenocarcinomas primários de pulmão ressecados cirurgicamente e demonstraram que o estadiamento pelo tamanho da neoplasia e pelo comprometimento neoplásico dos gânglios linfáticos, como também o sexo do paciente, o grau de proliferação do estroma e a detecção imuno-histoquímica da proteína p53 nas células neoplásicas são de grande valia para se estimar o comportamento biológico desta neoplasia. Tais fatores poderiam ser utilizados como indicadores prognósticos da evolução da doença. Em outro estudo,(11) foi demonstrado que estádios iniciais, baixas expressões combinadas de argyrophilic nucleolar organizer region (AgNOR) e p53, mas alta expressão de Bcl-2, apresentaram um impacto positivo na sobrevida dos pacientes operados; ademais, o comprometimento linfonodal foi fortemente associado à alta expressão de p53 e alto AgNOR; a expressão de p53 e AgNOR são parâmetros significativos na determinação do prognóstico destes pacientes. Mais recentemente,(12) foi demonstrado que a expressão imuno-histoquímica do p53 correlaciona-se com uma sobrevida menor mas não se correlaciona com mutações gênicas nos tumores ressecados.

c-erbB-1

Este proto-oncogene ligado à membrana codifica um receptor de crescimento (quinase tirosina 170.000-Da), que é o receptor para epidermal growth factor receptor (EGFR; fator de crescimento epidérmico).

O proto-oncogene, através de seu produto proteico, funciona no pulmão normal para estimular a proliferação celular epitelial e para promover a maturação das vias aéreas durante o desenvolvimento embrionário. A hiperexpressão do proto-oncogene tem sido encontrada em CNPCs, especialmente no carcinoma de células escamosas (65-90% dos casos reportados). O uso da hiperexpressão do gene c-erbB-1 como marcador de prognóstico clínico é controverso, com alguns estudos mostrando associação com baixa sobrevida e outros não.

c-erbB-2

Este proto-oncogene pertence à família c-erbB-1 de receptores ligados à membrana quinase tirosina; portanto, está relacionado estruturalmente ao c-erbB-1. A proteína codificadora, chamada p185c-erbB-2 ou HER2, também é expressa nas células epiteliais das vias aéreas do pulmão normal e tem um papel no crescimento e na diferenciação do epitélio pulmonar normal. Observa-se que HER2 é coproduzida com EGFR em muitos adenocarcinomas de pulmão. Recentemente, alguns autores(13) demonstraram a forte associação existente entre a sobrevida e a expressão de ciclina D1, c-erbB-2 e VEGF em adenocarcinomas primários ressecados e suas metástases.

MMP-9

Antes das metástases acontecerem, uma célula ou grupo de células devem desprender-se do tumor primário, penetrar no tecido adjacente, sobreviver e crescer no tecido do hospedeiro. O carcinoma de células escamosas é o único subtipo histológico conhecido a progredir através de estágio in situ para carcinoma invasivo. Este fato requer interação com a membrana basal subepitelial e envolve três passos: 1) aderência à membrana subepitelial; 2) criação de um defeito na membrana basal; e 3) translocação das células tumorais através da membrana basal. A aderência das células tumorais envolve a ligação entre as proteínas de superfície da célula tumoral e as glicoproteínas, tais como laminina, colágeno IV e fibronectina. Estas ligações sofrem influências de várias moléculas de adesão, incluindo as integrinas, que representam uma família de glicoproteínas transmembrana funcionantes como receptores de adesão. As células tumorais formam uma fenda na membrana basal pela produção de enzimas hidrolíticas ou estimulando as células do hospedeiro a produzir proteinases. Exemplos de enzimas proteolíticas incluem as metaloproteinases, colagenases IV, proteases séricas, como a uroquinase, e cisteína proteases, como as catepsinas B e L. A translocação através de fendas na membrana basal é direcionada por substâncias quimiostáticas contidas nas células do hospedeiro ou por fatores de motilidade produzidos pelas células tumorais. Alguns autores(14) demonstraram a importância das proteases no processo de invasão tumoral; a expressão de MMP-9 nos adenocarcinomas primários de pulmão, cirurgicamente ressecados, confirma o potencial da utilização de inibidores de metaloproteinases na terapêutica destas neoplasias. Em outro elegante trabalho,(15) os resultados obtidos sugeriram que a coloração combinando COX-2 e MMP-9 e a categorização dos tumores em papilíferos e não-papilíferos podem fornecer importantes informações prognósticas para pacientes com adenocarcinomas ressecados do pulmão; é possível que as três variáveis possam ajudar nas decisões quanto ao tratamento coadjuvante pós-operatório. Recentemente, outros autores(16) demonstraram que a expressão de TTF-1 e MMP-9 por imuno-histoquímica permite a identificação de diferentes grupos de prognósticos de pacientes com adenocarcinomas tratados com platina. Na mesma linha de investigação, alguns autores(17) já haviam demonstrado que a expressão de marcadores relacionados a apoptose e ao microambiente tumoral, tais como Bcl-2 > 3,1% e densidade de matriz extracelular < 9,8 mm2, compreende um subgrupo com alto risco para metástases linfonodais e podem ser um alvo apropriado para estudos prospectivos coadjuvantes após a ressecção cirúrgica. Mais recentemente,(18) foi realizado um estudo multicêntrico com 330 pacientes operados devido a tumor carcinoide brônquico e acompanhados por mais de 10 anos em dois hospitais universitários. Os autores utilizaram os seguintes dados para prever o risco individual para metástases nodais ou à distância: idade, sexo, estadiamento tumor-nódulo-metástase, diâmetro do tumor, localização (central ou periférico), índice imuno-histoquímico para p53 e Ki67 e Bcl-2 e densidade de microvasos neoformados e fibras do sistema colágeno-elástico. Metástases nodais e à distância incidiram em 11% e 5%, respectivamente. A análise univariada associou os marcadores biomoleculares às metástases nodais. A análise multivariada identificou a neoangiogênese como marcador preditivo de metástases nodais. Outras interações importantes foram demonstradas por alguns autores que,(19) ao estudar a relação entre as características da célula tumoral e estromas para fatores proliferativos, p53, microdensidade vascular e metaloproteinases, controlados para extensão da lesão primária (T1 a T4), em CNPCs limitados (não-metastáticos) e avançados (metastáticos), sugeriram que diferentes interações entre as células tumorais e estromais controlam as metástases e, desta forma, controlam o risco biológico dos CNPCs.

VEGF

A angiogênese representa um fator importante ao permitir o crescimento tumoral, sua invasão e metástases. Os genes ou moléculas que participam na invasão tumoral e nas metástases são fatores reguladores de caráter positivo ou negativo. O VEGF promove a formação de vasos sanguíneos no início do desenvolvimento (vasculogênese) e desempenha um papel central no crescimento de novos vasos sanguíneos (angiogênese). Seu papel no crescimento tumoral é fundamental, visto que sem vascularização os tumores não podem ultrapassar 1-2 mm de diâmetro ou de espessura. Além disso, a angiogênese é indispensável para a formação de metástases. O VEGF e o fator de crescimento de fibroblastos são dois dos maiores indutores de angiogênese produzidos em câncer de pulmão.(20) Há vários estudos ­realizados que mostram a relação entre um alto nível de VEGF e mau prognóstico nos casos de CNPC.(13,20) Recentemente, alguns autores(21) demonstraram a importância do VEGF como marcador de prognóstico em adenocarcinomas e em suas metástases hematogênicas.

Conclusão

A imuno-histoquímica representa uma ferramenta complementar importante na rotina diagnóstica do câncer de pulmão e para a identificação dos diferentes tipos histológicos e de fatores prognósticos, cuja finalidade é selecionar os pacientes para o tratamento adequado e direcionado, além de identificar os tumores com maior risco de recidiva e evolução fatal. O painel imuno-histoquímico mínimo recomendado para o diagnóstico e o prognóstico inclui a expressão dos seguintes marcadores: CK7, CK20, COX-2, TTF-1, cromogranina, sinaptofisina, CD56, PSA, CA125, p53, c-erbB-2, MMP-9 e VEGF.


Referências

1. Travis WD; World Health Organization; International Agency for Research on Cancer; International Association for the Study of Lung Cancer; International Academy of Pathology; et al. Pathology and genetics of tumours of the lung, pleura, thymus, and heart. Lyon: IARC Press, 2004.

2. Hinson KF, Miller AB, Tall R. An assessment of the World Health Organization classification of the histologic typing of lung tumors applied to biopsy and resected material. Cancer. 1975;35(2):399-405.

3. Anelli A. Quimioterapia em câncer de pulmão de pequenas células. In: Younes RN, editor. Tumores Torácicos. Rio de Janeiro: Medsi. 1997. p. 269-80.

4. Younes RN, Gross JL, Deheinzelin D. Follow-up in lung cancer: how often and for what purpose? Chest. 1999;115(6):1494-9.

5. Mountain CF. Revisions in the International System for Staging Lung Cancer. Chest. 1997;111(6):1710-7.

6. Naruke T, Tsuchiya R, Kondo H, Asamura H, Nakayama H. Implications of staging in lung cancer. Chest. 1997;112(4 Suppl):242S-248S.

7. Farhat CA, Parra ER, Rogers AV, Elian SN, Sheppard MN, Capelozzi VL. Using electron microscopy and multivariate cluster analysis to determine diagnosis and prognosis in cases of neuroendocrine lung carcinoma. J Bras Pneumol. 2008;34(10):804-11.

8. Camilo R, Capelozzi VL, Siqueira SA, Del Carlo Bernardi F. Expression of p63, keratin 5/6, keratin 7, and surfactant-A in non-small cell lung carcinomas. Hum Pathol. 2006;37(5):542-6.

9. Mao L, Hruban RH, Boyle JO, Tockman M, Sidransky D. Detection of oncogene mutations in sputum precedes diagnosis of lung cancer. Cancer Res. 1994;54(7):1634-7.

10. Demarchi LM, Reis MM, Palomino SA, Farhat C, Takagaki TY, Beyruti R, et al. Prognostic values of stromal proportion and PCNA, Ki-67, and p53 proteins in patients with resected adenocarcinoma of the lung. Mod Pathol. 2000;13(5):511-20.

11. Carvalho PE, Antonãngelo L, Bernardi FD, Leão LE, Rodrigues OR, Capelozzi VL. Useful prognostic panel markers to express the biological tumor status in resected lung adenocarcinomas. Jpn J Clin Oncol. 2000;30(11):478-86.

12. Massoni Neto LM, Bianchi CP, Ab'Saber AM, Parra ER, Takagaki T, Pereira JC, et al. p53 immunostaining is correlated with reduced survival and is not correlated with gene mutations in resected pulmonary large cell carcinomas. Braz J Med Biol Res. 2007;40(8):1045-53.

13. Saito DM, Franco MR, Parra ER, Ab'saber AM, Farhat C, Eher E, et al. Cell cycle regulator in primary lung adenocarcinoma and its haematogenous metastases. Histopathology. 2007;50(4):525-7.

14. Pinto CA, Carvalho PE, Antonângelo L, Garippo A, Da Silva AG, Soares F, et al. Morphometric evaluation of tumor matrix metalloproteinase 9 predicts survival after surgical resection of adenocarcinoma of the lung. Clin Cancer Res. 2003;9(8):3098-104.

15. Yamaguchi NH, Lichtenfels AJ, Demarchi LM, da Silva AP, Garippo AL, Alves VF, et al. COX-2, MMP-9, and Noguchi classification provide additional prognostic information about adenocarcinoma of the lung. A study of 117 patients from Brazil. Am J Clin Pathol. 2004;121(1):78-86.

16. Martins SJ, Takagaki TY, Silva AG, Gallo CP, Silva FB, Capelozzi VL. Prognostic relevance of TTF-1 and MMP-9 expression in advanced lung adenocarcinoma. Lung Cancer. 2009;64(1):105-9.

17. das Neves Pereira JC, da Silva AG, Soares F, Ab'Saber AM, Schmidt A, Rodrigues OR, et al. Nuclear and environment morphometric profile in tumor size and nodal metastasis of resected typical pulmonary carcinoid. Pathol Res Pract. 2004;200(6):459-67.

18. Das-Neves-Pereira JC, Bagan P, Milanez-de-Campos JR, Capelozzi VL, Danel C, Jatene FB, et al. Individual risk prediction of nodal and distant metastasis for patients with typical bronchial carcinoid tumors. Eur J Cardiothorac Surg. 2008;34(3):473-7; discussion 477-8.

19. Minamoto H, Antonângelo L, da Silva AG, Gallo CP, de Andrade e Silva FB, Fenezelian S, et al. Tumour cell and stromal features in metastatic and non-metastatic non-small cell lung carcinomas. Histopathol. 2003;43(5):427-43

20. Fontanini G, Vignati S, Boldrini L, Chinè S, Silvestri V, Lucchi M, et al. Vascular endothelial growth factor is associated with neovascularization and influences progression of non-small cell lung carcinoma. Clin Cancer Res. 1997;3(6):861-5.

21. Parra ER, Park JY, Saito DM, Takagaki TY, Rodrigues OR, Capelozzi VL. Prognostic index expression of cyclin-D1, cerbB-2 and VEGF: metastases vs corresponding primary cancers and metastatic vs non-metastatic adenocarcinomas. Histol Histopathol. 2008;23(8):987-93.



Sobre a autora

Vera Luiza Capelozzi
Professora Associada. Departamento de Patologia, Faculdade de Medicina, Universidade de São Paulo - FMUSP - São Paulo (SP) Brasil.



* Trabalho realizado no Departamento de Patologia, Faculdade de Medicina Universidade de São Paulo - FMUSP - São Paulo (SP) Brasil.
Endereço para correspondência: Vera Luiza Capelozzi. Av. Dr. Arnaldo, 455, Sala 1143, CEP 01246-903, São Paulo, SP, Brasil.
Tel 55 11 3061-7427. E-mail: vcapelozzi@lim05.fm.usp.br
Apoio financeiro: Este estudo recebeu apoio financeiro da Fundação de Amparo à Pesquisa do Estado de São Paulo (FAPESP) e do Conselho Nacional de Desenvolvimento Científico e Tecnológico (CNPq).
Recebido para publicação em 15/12/2008. Aprovado, após revisão, em 29/12/2008.

Indexes

Development by:

© All rights reserved 2025 - Jornal Brasileiro de Pneumologia